Phone:
+1 877 302 8632
Fax:
+1 888 205 9894 (Toll-free)
E-Mail:
orders@antibodies-online.com

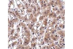
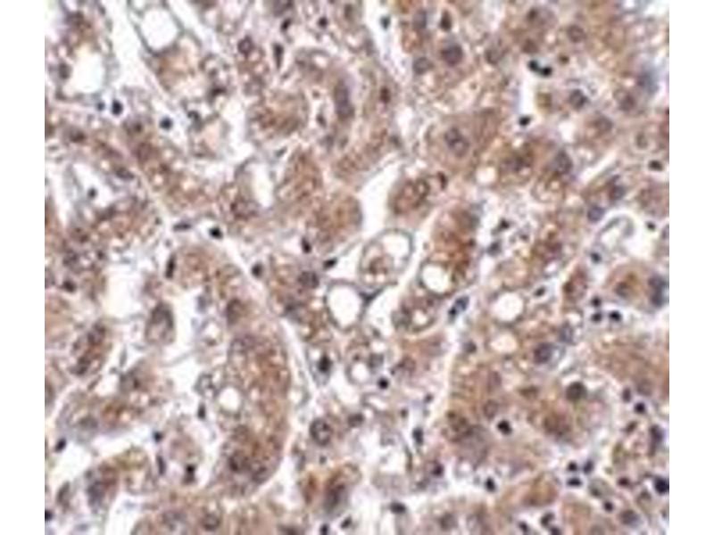
THEM4 antibody (Center)

This Rabbit Polyclonal antibody specifically detects THEM4 in WB, IHC (p) and EIA. It exhibits reactivity toward Human, Mouse and Rat.
Catalog No. ABIN500905
$840.00
Plus shipping costs $50.00
0.1 mg
Shipping to: United States
Delivery in 1 to 2 Business Days

Quick Overview for THEM4 antibody (Center) (ABIN500905)

Target

See all THEM4 Antibodies
THEM4 (Thioesterase Superfamily Member 4 (THEM4))

Reactivity

Human, Mouse, Rat

Host

  • 4
  • 2
Rabbit

Clonality

  • 6
Polyclonal

Conjugate

  • 6
This THEM4 antibody is un-conjugated

Application

  • 6
  • 3
  • 3
  • 1
  • 1
  • 1
Western Blotting (WB), Immunohistochemistry (Paraffin-embedded Sections) (IHC (p)), Enzyme Immunoassay (EIA)
  • Binding Specificity

    • 3
    • 1
    • 1
    Center

    Specificity

    This antibody detects THEM4 / CTMP.

    Cross-Reactivity (Details)

    Species reactivity (tested):Human, mouse, rat

    Purification

    Peptide affinity chropmatography

    Immunogen

    THEM4 antibody was raised against an 18 amino acid peptide near the center of human THEM4.

    Isotype

    IgG
  • Application Notes

    ELISA. Western blot: 1 - 2 μg/mL. Immunohistochemistry on paraffin sections.
    Other applications not tested.
    Optimal dilutions are dependent on conditions and should be determined by the user.

    Restrictions

    For Research Use only
  • Buffer

    PBS containing 0.02 % sodium azide

    Preservative

    Sodium azide

    Precaution of Use

    This product contains sodium azide: a POISONOUS AND HAZARDOUS SUBSTANCE which should be handled by trained staff only.

    Handling Advice

    Avoid repeated freezing and thawing.

    Storage

    4 °C/-20 °C

    Storage Comment

    Store at 2 - 8 °C for up to one month or (in aliquots) at -20 °C for longer.
  • Target

    THEM4 (Thioesterase Superfamily Member 4 (THEM4))

    Alternative Name

    THEM4 / CTMP

    Background

    THEM4, also known as CTMP, binds specifically to the carboxy-terminal regulatory domain of PKB/Akt at the plasma membrane and acts as a negative regulator, reversing the phenotype of v-Akt-transformed cells. Hypermethylation of the THEM4 promoter and transcriptional downregulation of the gene has been reported in multiple glioblastomas, suggesting that epigenetic regulation of THEM4 may play a role in the progression of this cancer. Bioinformatic analysis, confirmed by in vitro testing, indicates that THEM4 is a broad-range, high activity acyl-CoA thioesterase. Recent reports have also indicated that TMEM4 is a mitochondrial protein whose overexpression is associated with an increase in mitochondrial membrane depolarization and caspase-3 and PARP cleavage, suggesting that THEM4 is involved in the apoptotic program. The additional higher molecular weight bands seen in the immunoblot may represent post-translationally modified TMEM4.Synonyms: Carboxyl-terminal modulator protein, Thioesterase superfamily member 4

    Gene ID

    117145

    NCBI Accession

    NP_444283

    Pathways

    Fc-epsilon Receptor Signaling Pathway, EGFR Signaling Pathway, Neurotrophin Signaling Pathway
You are here:
Chat with us!