Phone:
+1 877 302 8632
Fax:
+1 888 205 9894 (Toll-free)
E-Mail:
orders@antibodies-online.com

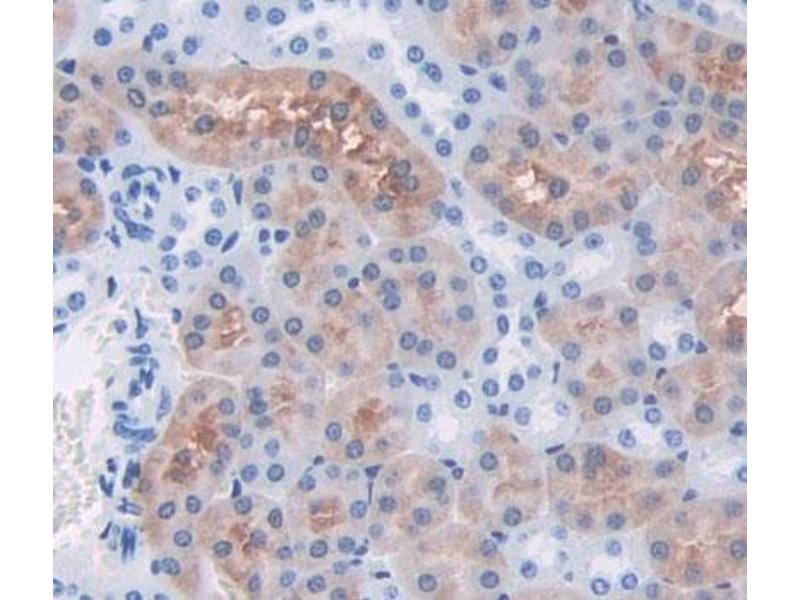
FARS2 antibody (AA 1-451)

This Rabbit Polyclonal antibody specifically detects FARS2 in WB, IHC, IP and ICC. It exhibits reactivity toward Mouse.
Catalog No. ABIN5014085
$252.00
Plus shipping costs $50.00
100 μL
Shipping to: United States
Delivery in 15 to 19 Business Days

Quick Overview for FARS2 antibody (AA 1-451) (ABIN5014085)

Target

See all FARS2 Antibodies
FARS2 (Phenylalanine-tRNA Synthetase 2 (Mitochondrial) (FARS2))

Reactivity

  • 17
  • 7
  • 6
  • 2
  • 2
  • 1
  • 1
  • 1
  • 1
Mouse

Host

  • 17
  • 3
Rabbit

Clonality

  • 18
  • 1
Polyclonal

Conjugate

  • 20
This FARS2 antibody is un-conjugated

Application

  • 19
  • 10
  • 7
  • 5
  • 3
  • 3
  • 1
Western Blotting (WB), Immunohistochemistry (IHC), Immunoprecipitation (IP), Immunocytochemistry (ICC)
  • Binding Specificity

    • 5
    • 2
    • 1
    • 1
    • 1
    • 1
    • 1
    • 1
    AA 1-451

    Purpose

    Polyclonal Antibody to Phenylalanyl tRNA Synthetase 2, Mitochondrial (FARS2)

    Specificity

    The antibody is a rabbit polyclonal antibody raised against FARS2. It has been selected for its ability to recognize FARS2 in immunohistochemical staining and western blotting.

    Cross-Reactivity

    Human, Rat

    Purification

    Antigen-specific affinity chromatography followed by Protein A affinity chromatography

    Immunogen

    FARS2 (Met1-Phe451)

    Isotype

    IgG
  • Application Notes

    Western blotting: 0.2-2 μg/mL,1:250-2500 Immunohistochemistry: 5-20 μg/mL,1:25-100 Immunocytochemistry: 5-20 μg/mL,1:25-100 Optimal working dilutions must be determined by end user.

    Comment

    The thermal stability is described by the loss rate. The loss rate was determined by accelerated thermal degradation test, that is, incubate the protein at 37°C for 48h, and no obvious degradation and precipitation were observed. The loss rate is less than 5% within the expiration date under appropriate storage condition.

    Restrictions

    For Research Use only
  • Format

    Liquid

    Concentration

    500 μg/mL

    Buffer

    PBS, pH 7.4, containing 0.01 % SKL, 1 mM DTT, 5 % Trehalose and Proclin300.

    Preservative

    Dithiothreitol (DTT), ProClin

    Storage

    4 °C,-20 °C

    Storage Comment

    Store at 4°C for frequent use. Stored at -20°C in a manual defrost freezer for two year without detectable loss of activity. Avoid repeated freeze-thaw cycles.
  • Target

    FARS2 (Phenylalanine-tRNA Synthetase 2 (Mitochondrial) (FARS2))

    Alternative Name

    FARS2

    Background

    FARSL, FRS, HSPC173, PheH, PheRS, FARS1, Phenylalanine-tRNA Synthetase 1, Phenylalanine tRNA Ligase 2
You are here:
Chat with us!