Phone:
+1 877 302 8632
Fax:
+1 888 205 9894 (Toll-free)
E-Mail:
orders@antibodies-online.com

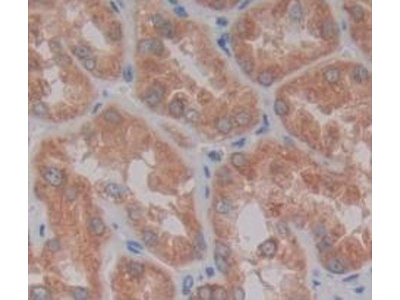
SPRED2 antibody (AA 1-418)

The Rabbit Polyclonal anti-SPRED2 antibody (ABIN5014345) specifically detects SPRED2 in WB, IHC, ICC and IP. The antibody is reactive with Human samples.
Catalog No. ABIN5014345
$269.00
Plus shipping costs $50.00
100 μL
Shipping to: United States
Delivery in 15 to 19 Business Days

Quick Overview for SPRED2 antibody (AA 1-418) (ABIN5014345)

Target

See all SPRED2 Antibodies
SPRED2 (Sprouty-Related, EVH1 Domain Containing 2 (SPRED2))

Reactivity

  • 21
  • 21
  • 17
  • 2
  • 2
  • 2
  • 2
  • 1
  • 1
  • 1
  • 1
  • 1
  • 1
Human

Host

  • 28
  • 4
Rabbit

Clonality

  • 29
  • 3
Polyclonal

Conjugate

  • 18
  • 1
  • 1
  • 1
  • 1
  • 1
  • 1
  • 1
  • 1
  • 1
  • 1
  • 1
  • 1
  • 1
  • 1
This SPRED2 antibody is un-conjugated

Application

  • 15
  • 14
  • 13
  • 13
  • 7
  • 4
  • 4
  • 3
  • 2
  • 1
  • 1
  • 1
Western Blotting (WB), Immunohistochemistry (IHC), Immunocytochemistry (ICC), Immunoprecipitation (IP)
  • Binding Specificity

    • 15
    • 3
    • 3
    • 2
    • 1
    • 1
    • 1
    • 1
    • 1
    • 1
    • 1
    AA 1-418

    Purpose

    Polyclonal Antibody to Sprouty Related, EVH1 Domain Containing Protein 2 (SPRED2)

    Specificity

    The antibody is a rabbit polyclonal antibody raised against SPRED2. It has been selected for its ability to recognize SPRED2 in immunohistochemical staining and western blotting.

    Cross-Reactivity

    Mouse, Rat

    Purification

    Antigen-specific affinity chromatography followed by Protein A affinity chromatography

    Immunogen

    RPL016Hu01Recombinant Sprouty Related, EVH1 Domain Containing Protein 2 (SPRED2)

    Isotype

    IgG
  • Application Notes

    Western blotting: 0.5-2 μg/mL,Immunohistochemistry: 5-20 μg/mL,Immunocytochemistry: 5-20 μg/mL,Optimal working dilutions must be determined by end user.

    Comment

    The thermal stability is described by the loss rate. The loss rate was determined by accelerated thermal degradation test, that is, incubate the protein at 37°C for 48h, and no obvious degradation and precipitation were observed. The loss rate is less than 5% within the expiration date under appropriate storage condition.

    Restrictions

    For Research Use only
  • Format

    Liquid

    Concentration

    500 μg/mL

    Buffer

    PBS, pH 7.4, containing 0.02 % Sodium azide, 50 % glycerol.

    Preservative

    Sodium azide

    Storage

    4 °C,-20 °C

    Storage Comment

    Store at 4°C for frequent use. Stored at -20°C in a manual defrost freezer for two year without detectable loss of activity. Avoid repeated freeze-thaw cycles.
  • Target

    SPRED2 (Sprouty-Related, EVH1 Domain Containing 2 (SPRED2))

    Alternative Name

    SPRED2
You are here:
Chat with us!