Phone:
+1 877 302 8632
Fax:
+1 888 205 9894 (Toll-free)
E-Mail:
orders@antibodies-online.com

MDH2 antibody (Internal Region)

The Goat Polyclonal anti-MDH2 antibody (ABIN5539864) specifically detects MDH2 in WB, IHC and ELISA. The antibody is reactive with Human, Mouse, Rat and Pig samples.
Catalog No. ABIN5539864
$488.25
Plus shipping costs $50.00
100 μg
Shipping to: United States
Delivery in 1 to 3 Business Days

Quick Overview for MDH2 antibody (Internal Region) (ABIN5539864)

Target

See all MDH2 Antibodies
MDH2 (Malate Dehydrogenase 2, NAD (Mitochondrial) (MDH2))

Reactivity

  • 75
  • 47
  • 43
  • 2
  • 1
  • 1
  • 1
  • 1
  • 1
  • 1
  • 1
  • 1
  • 1
Human, Mouse, Rat, Pig

Host

  • 68
  • 7
  • 1
Goat

Clonality

  • 40
  • 36
Polyclonal

Conjugate

  • 37
  • 5
  • 4
  • 4
  • 4
  • 4
  • 4
  • 4
  • 3
  • 3
  • 1
  • 1
  • 1
  • 1
This MDH2 antibody is un-conjugated

Application

  • 66
  • 43
  • 18
  • 6
  • 4
  • 4
  • 3
  • 3
  • 2
  • 1
  • 1
Western Blotting (WB), Immunohistochemistry (IHC), ELISA

Grade

Verified
  • Binding Specificity

    • 8
    • 4
    • 4
    • 3
    • 2
    • 2
    • 1
    • 1
    • 1
    • 1
    • 1
    • 1
    • 1
    Internal Region

    Purpose

    MDH2

    Sequence

    TRDDLFNTNA T

    Cross-Reactivity

    Cow, Human, Mouse, Pig, Rat

    Purification

    Purified from goat serum by ammonium sulphate precipitation followed by antigen affinity chromatography using the immunizing peptide.

    Isotype

    IgG
  • Application Notes

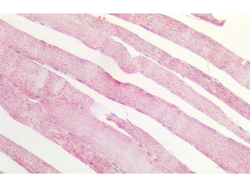
    Immunohistochemistry: Paraffin embedded Human Skeletal Muscle. Recommended concentration: 5 μg/mL.

    Western Blot: Approx 35 kDa band observed in lysates of cell lines HeLa, HepG2 and NIH3T3 (calculated MW of 35.5 kDa according to Human NP_005909.2 and 35.6 kDa according to Mouse NP_032643.2 ). Recommended concentration: 0.1-0.3 μg/mL. Primary incubation wa

    Peptide ELISA: antibody detection limit dilution 1:8000.

    Restrictions

    For Research Use only
  • Format

    Liquid

    Concentration

    0.5 mg/mL

    Buffer

    Supplied at 0.5 mg/mL in Tris saline, 0.02 % sodium azide, pH 7.3 with 0.5 % bovine serum albumin.

    Preservative

    Sodium azide

    Precaution of Use

    This product contains Sodium azide: a POISONOUS AND HAZARDOUS SUBSTANCE which should be handled by trained staff only.

    Handling Advice

    Minimize freezing and thawing.

    Storage

    -20 °C

    Storage Comment

    Aliquot and store at -20°C, with minimal freeze/thawing. A working aliquot may be refrigerated at 4°C for a few weeks and still remain viable.
  • Target

    MDH2 (Malate Dehydrogenase 2, NAD (Mitochondrial) (MDH2))

    Alternative Name

    MDH2

    Background

    MDH2, malate dehydrogenase 2, NAD (mitochondrial), M-MDH, MDH, MGC:3559, MOR1, malate dehydrogenase, mitochondrial

    Gene ID

    4191, 17448, 81829

    NCBI Accession

    NP_005909
You are here:
Chat with us!