Phone:
+1 877 302 8632
Fax:
+1 888 205 9894 (Toll-free)
E-Mail:
orders@antibodies-online.com

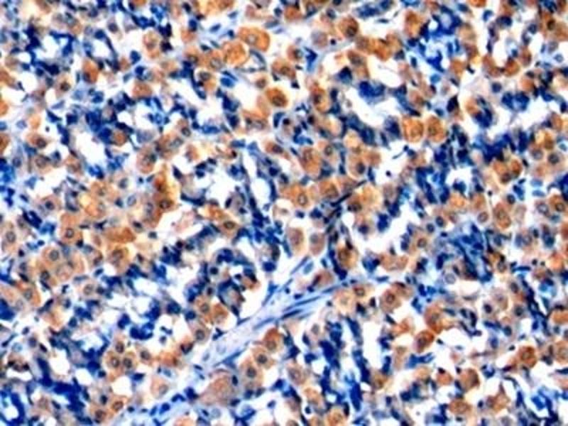
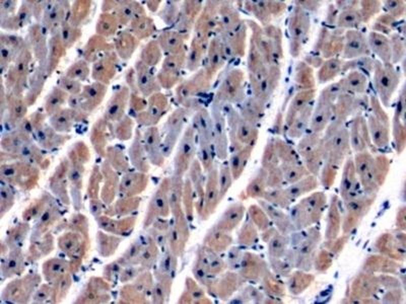
MDH2 antibody (AA 25-338)

The Rabbit Polyclonal anti-MDH2 antibody (ABIN7441490) specifically detects MDH2 in WB, IHC, IP and ICC. The antibody is reactive with Human samples.
Catalog No. ABIN7441490
$326.15
Plus shipping costs $50.00
Shipping to: United States
Delivery in 13 to 17 Business Days

Quick Overview for MDH2 antibody (AA 25-338) (ABIN7441490)

Target

See all MDH2 Antibodies
MDH2 (Malate Dehydrogenase 2, NAD (Mitochondrial) (MDH2))

Reactivity

  • 75
  • 48
  • 44
  • 2
  • 1
  • 1
  • 1
  • 1
  • 1
  • 1
  • 1
  • 1
  • 1
  • 1
Human

Host

  • 67
  • 7
  • 2
Rabbit

Clonality

  • 40
  • 36
Polyclonal

Conjugate

  • 37
  • 5
  • 4
  • 4
  • 4
  • 4
  • 4
  • 4
  • 3
  • 3
  • 1
  • 1
  • 1
  • 1
This MDH2 antibody is un-conjugated

Application

  • 66
  • 43
  • 19
  • 6
  • 4
  • 3
  • 3
  • 2
  • 2
  • 1
  • 1
Western Blotting (WB), Immunohistochemistry (IHC), Immunoprecipitation (IP), Immunocytochemistry (ICC)
  • Binding Specificity

    • 8
    • 4
    • 4
    • 3
    • 2
    • 2
    • 1
    • 1
    • 1
    • 1
    • 1
    • 1
    • 1
    AA 25-338

    Purpose

    Polyclonal Antibody to Malate Dehydrogenase 2 (MDH2)

    Specificity

    The antibody is a rabbit polyclonal antibody raised against MDH2. It has been selected for its ability to recognize MDH2 in immunohistochemical staining and western blotting.

    Cross-Reactivity

    Mouse, Rat

    Purification

    Antigen-specific affinity chromatography followed by Protein A affinity chromatography

    Immunogen

    Recombinant Malate Dehydrogenase 2 (MDH2) corresdonding to Ala25~Lys338

    Isotype

    IgG
  • Application Notes

    Western blotting: 0.5-2 μg/mL,Immunocytochemistry in formalin fixed cells: 5-20 μg/mL,Immunohistochemistry in formalin fixed frozen section: 5-20 μg/mL,Immunohistochemistry in paraffin section: 5-20 μg/mL,Enzyme-linked Immunosorbent Assay: 0.05-2 μg/mL,Optimal working dilutions must be determined by end user.

    Comment

    The thermal stability is described by the loss rate. The loss rate was determined by accelerated thermal degradation test, that is, incubate the protein at 37°C for 48h, and no obvious degradation and precipitation were observed. The loss rate is less than 5% within the expiration date under appropriate storage condition.

    Restrictions

    For Research Use only
  • Format

    Liquid

    Concentration

    0.5 mg/mL

    Buffer

    PBS, pH 7.4, containing 0.02 % Sodium azide, 50 % glycerol.

    Preservative

    ProClin, Sodium azide

    Precaution of Use

    This product contains ProClin and Sodium azide: POISONOUS AND HAZARDOUS SUBSTANCES which should be handled by trained staff only.

    Storage

    4 °C,-20 °C

    Storage Comment

    Store at 4°C for frequent use. Stored at -20°C in a manual defrost freezer for two year without detectable loss of activity. Avoid repeated freeze-thaw cycles.

    Expiry Date

    24 months
  • Target

    MDH2 (Malate Dehydrogenase 2, NAD (Mitochondrial) (MDH2))

    Alternative Name

    MDH2

    Background

    M-MDH, MDH, MOR1, Malate Dehydrogenase 2,NAD(Mitochondrial)

    UniProt

    P40926
You are here:
Chat with us!