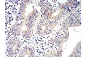
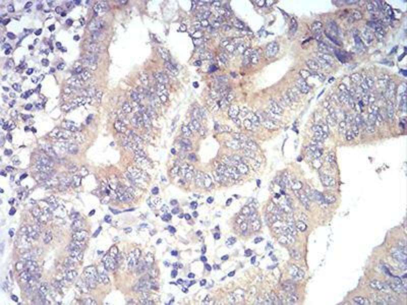
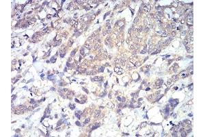
Phospholipase C gamma 1 antibody (AA 1192-1291)
Quick Overview for Phospholipase C gamma 1 antibody (AA 1192-1291) (ABIN5542681)
Target
See all Phospholipase C gamma 1 (PLCG1) AntibodiesReactivity
Host
Clonality
Conjugate
Application
Clone
-
-
Binding Specificity
- AA 1192-1291
-
Purpose
- PLCG1 Antibody
-
Purification
- Purified antibody
-
Immunogen
- Purified recombinant fragment of human PLCG1 (AA: 1192-1291) expressed in E. Coli.
-
Isotype
- IgG1
-
-
-
-
Application Notes
-
ELISA: 1/10000
FCM: 1/200 - 1/400
ICC: 1/200 - 1/1000
-
Restrictions
- For Research Use only
-
-
-
Format
- Liquid
-
Buffer
- Purified antibody in PBS with 0.05 % sodium azide.
-
Preservative
- Sodium azide
-
Precaution of Use
- This product contains Sodium azide: a POISONOUS AND HAZARDOUS SUBSTANCE which should be handled by trained staff only.
-
Storage
- 4 °C,-20 °C
-
Storage Comment
- Store at 4°C short term. Aliquot and store at -20°C long term. Avoid freeze/thaw cycles.
-
-
- Phospholipase C gamma 1 (PLCG1) (phospholipase C, gamma 1 (PLCG1))
-
Alternative Name
- PLCG1
-
Background
-
The protein encoded by this gene catalyzes the formation of inositol 1,4,5-trisphosphate and diacylglycerol from phosphatidylinositol 4,5-bisphosphate. This reaction uses calcium as a cofactor and plays an important role in the intracellular transduction of receptor-mediated tyrosine kinase activators. For example, when activated by SRC, the encoded protein causes the Ras guanine nucleotide exchange factor RasGRP1 to translocate to the Golgi, where it activates Ras. Also, this protein has been shown to be a major substrate for heparin-binding growth factor 1 (acidic fibroblast growth factor)-activated tyrosine kinase. Two transcript variants encoding different isoforms have been found for this gene.
-
Molecular Weight
- 148.5 kDa
-
Gene ID
- 5335
-
UniProt
- P19174
-
Pathways
- RTK Signaling, WNT Signaling, TCR Signaling, Fc-epsilon Receptor Signaling Pathway, EGFR Signaling Pathway, Neurotrophin Signaling Pathway, Thyroid Hormone Synthesis, Inositol Metabolic Process, Myometrial Relaxation and Contraction, Regulation of Muscle Cell Differentiation, Regulation of G-Protein Coupled Receptor Protein Signaling, Skeletal Muscle Fiber Development, G-protein mediated Events, Signaling Events mediated by VEGFR1 and VEGFR2, Interaction of EGFR with phospholipase C-gamma, VEGFR1 Specific Signals, VEGF Signaling
Target
-