Phone:
+1 877 302 8632
Fax:
+1 888 205 9894 (Toll-free)
E-Mail:
orders@antibodies-online.com

COL6 antibody

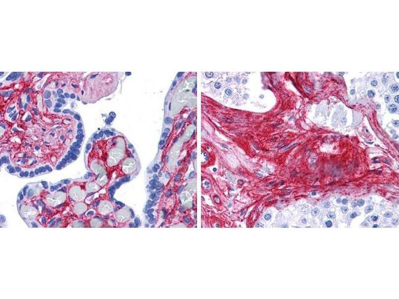
The Rabbit Polyclonal anti-COL6 antibody is suitable to detect COL6 in samples from Human and Cow. It has been validated for WB, IHC, ELISA, IP and DB.
Rockland
Catalog No. ABIN5596845
Supplier Product No.: 600-401-108-0.5
$1,011.00
Plus shipping costs $50.00
500 μg
Shipping to: United States
Delivery in 1 to 3 Business Days

Quick Overview for COL6 antibody (ABIN5596845)

Target

See all COL6 Antibodies
COL6 (Collagen, Type VI (COL6))

Reactivity

  • 41
  • 17
  • 17
  • 7
  • 3
  • 1
  • 1
  • 1
Human, Cow

Host

  • 32
  • 9
  • 1
Rabbit

Clonality

  • 25
  • 17
Polyclonal

Conjugate

  • 19
  • 7
  • 2
  • 2
  • 2
  • 2
  • 2
  • 2
  • 1
  • 1
  • 1
  • 1
This COL6 antibody is un-conjugated

Application

  • 30
  • 25
  • 19
  • 16
  • 14
  • 10
  • 6
  • 5
  • 4
  • 3
  • 3
  • 2
  • 1
Western Blotting (WB), Immunohistochemistry (IHC), ELISA, Immunoprecipitation (IP), Dot Blot (DB)
  • Supplier Product No.

    600-401-108-0.5

    Supplier

    Rockland

    Purpose

    Collagen Type VI Antibody

    Cross-Reactivity (Details)

    Some class-specific anti-collagens may be specific for three-dimensional epitopes which may result in diminished reactivity with denatured collagen or formalin-fixed, paraffin embedded tissues.

    Characteristics

    Synonyms: rabbit anti-Collagen Type VI antibody, Collagen alpha-1 (VI) chain, Collagen VI antibody, Human mRNA for collagen VI alpha 1 C terminal globular domain antibody

    Purification

    Anti-Collagen Type VI has been prepared by immunoaffinity chromatography using immobilized antigens followed by extensive cross-adsorption against other collagens, human serum proteins and non-collagen extracellular matrix proteins to remove any unwanted specificities.

    Sterility

    Sterile filtered

    Immunogen

    Immunogen: Collagen Type VI from human and bovine placenta

    Immunogen Type: Native Protein

    Isotype

    IgG
  • Application Notes

    Immunohistochemistry Dilution: 1:50 - 1:200

    Application Note: Anti-Collagen Type VI has been tested by dot blot and IHC and is suitable for indirect trapping ELISA for quantitation of antigen in serum using a standard curve, immunoprecipitation, native (non-denaturing, non-dissociating) PAGE, immunohistochemistry, and western blotting for highly sensitive qualitative analysis.

    Western Blot Dilution: 1:1,000 - 1:10,000

    Immunoprecipitation Dilution: 1:100

    ELISA Dilution: 1:5,000 - 1:50,000

    Other: User Optimized

    Restrictions

    For Research Use only
  • Format

    Liquid

    Concentration

    1.0 mg/mL

    Buffer

    Buffer: 0.02 M Potassium Phosphate, 0.15 M Sodium Chloride, pH 7.2

    Stabilizer: None

    Preservative: 0.01 % (w/v) Sodium Azide

    Preservative

    Sodium azide

    Precaution of Use

    This product contains Sodium azide: a POISONOUS AND HAZARDOUS SUBSTANCE which should be handled by trained staff only.

    Storage

    4 °C,-20 °C

    Storage Comment

    Store vial at 4° C prior to opening.  This product is stable at 4° C as an undiluted liquid.  Dilute only prior to immediate use.  For extended storage, mix with an equal volume of glycerol, aliquot contents and freeze at -20° C or below.  Avoid cycles of freezing and thawing. 

    Expiry Date

    12 months
  • Target

    COL6 (Collagen, Type VI (COL6))

    Alternative Name

    Collagen Type VI

    Background

    Background: Collagens are highly conserved throughout evolution and are characterized by an uninterrupted ''Glycine-X-Y'' triplet repeat that is a necessary part of the triple helical structure. For these reasons, it is often extremely difficult to generate antibodies with specificities to collagens. The development of 'type' specific antibodies is dependent on NON-DENATURED three-dimensional epitopes. Rockland extensively purifies collagens for immunization from human and bovine placenta and cartilage by limited pepsin digestion and selective salt precipitation. This preparation results in a native conformation of the protein. Antibodies are isolated from rabbit antiserum and are extensively cross-adsorbed by immunoaffinity purification to produce 'type' specific antibodies. Greatly diminished reactivity and selectivity of these antibodies will result if denaturing and reducing conditions are used for SDS-PAGE and immunoblotting.

    Gene ID

    1291

    UniProt

    P12109
You are here:
Chat with us!