×
For best experience we recommend to activate Javascript in your browser.
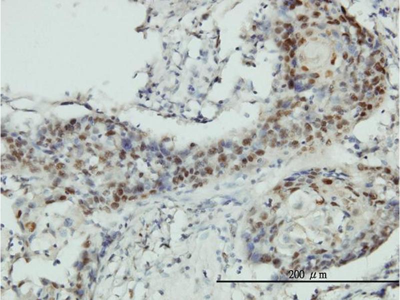
RNMT antibody (AA 1-476)
The Mouse Monoclonal anti-RNMT antibody (Clone 3H3-1D12) (ABIN563757) specifically detects RNMT in WB, IF, ELISA and IHC (p).
The antibody is reactive with Human samples.
Catalog No. ABIN563757
$520.15
Plus shipping costs $50.00
Delivery in 11 to 14 Business Days
Quick Overview for RNMT antibody (AA 1-476) (ABIN563757)
Target
See all RNMT Antibodies
RNMT
(RNA Guanine-7 Methyltransferase (RNMT))
Reactivity
All reactivities for RNMT antibodies
Human
Host
All hosts for RNMT antibodies
Mouse
Clonality
All clonalities for RNMT antibodies
Monoclonal
Conjugate
All conjugates for RNMT antibodies
This RNMT antibody is un-conjugated
Application
All applications for RNMT antibodies
Western Blotting (WB), Immunofluorescence (IF), ELISA, Immunohistochemistry (Paraffin-embedded Sections) (IHC (p))
Clone
3H3-1D12
Product Details anti-RNMT Antibody
(hide)
Binding Specificity
All epitopes for RNMT antibodies
AA 1-476
Purpose
Mouse monoclonal antibody raised against a full length recombinant RNMT.
Sequence
MANSAKAEEY EKMSLEQAKA SVNSETESSF NINENTTASG TGLSEKTSVC RQVDIARKRK EFEDDLVKES SSCGKDTPSK KRKLDPEIVP EEKDCGDAEG NSKKRKRETE DVPKDKSSTG DGTQNKRKIA LEDVPEKQKN LEEGHSSTVA AHYNELQEVG LEKRSQSRIF YLRNFNNWMK SVLIGEFLEK VRQKKKRDIT VLDLGCGKGG DLLKWKKGRI NKLVCTDIAD VSVKQCQQRY EDMKNRRDSE YIFSAEFITA DSSKELLIDK FRDPQMCFDI CSCQFVCHYS FESYEQADMM LRNACERLSP GGYFIGTTPN SFELIRRLEA SETESFGNEI YTVKFQKKGD YPLFGCKYDF NLEGVVDVPE FLVYFPLLNE MAKKYNMKLV YKKTFLEFYE EKIKNNENKM LLKRMQALEP YPANESSKLV SEKVDDYEHA AKYMKNSQVR LPLGTLSKSE WEATSIYLVF AFEKQQ
Cross-Reactivity
Human
Characteristics
Antibody Reactive Against Recombinant Protein.
Immunogen
RNMT (AAH36798, 1 a.a. ~ 476 a.a) full-length recombinant protein with GST tag. MW of the GST tag alone is 26 KDa.
Isotype
IgG1
Alternatives
(show)
Application Details
(hide)
Application Notes
Optimal working dilution should be determined by the investigator.
Restrictions
For Research Use only
Handling
(hide)
Buffer
In 1x PBS, pH 7.4
Handling Advice
Aliquot to avoid repeated freezing and thawing.
Storage
-20 °C
Storage Comment
Store at -20°C or lower. Aliquot to avoid repeated freezing and thawing.
Target Details for RNMT
(hide)
Target
RNMT
(RNA Guanine-7 Methyltransferase (RNMT))
Alternative Name
RNMT
Background
Full Gene Name: RNA (guanine-7-) methyltransferase Synonyms: DKFZp686H1252,KIAA0398,MET,RG7MT1,hCMT1c
Gene ID
8731
Recently viewed
(hide)
You are here:
Homepage
anti-RNMT antibody (AA 1-476) (ABIN563757)
Chat with us , powered by LiveChat