Phone:
+1 877 302 8632
Fax:
+1 888 205 9894 (Toll-free)
E-Mail:
orders@antibodies-online.com

TSPAN12 antibody (AA 111-224)

This Rabbit Polyclonal antibody specifically detects TSPAN12 in WB, ELISA and IHC. It exhibits reactivity toward Human, Rat and Mouse.
Catalog No. ABIN5693040
$370.00
Plus shipping costs $50.00
100 μg
Shipping to: United States
Delivery in 4 to 7 Business Days

Quick Overview for TSPAN12 antibody (AA 111-224) (ABIN5693040)

Target

See all TSPAN12 Antibodies
TSPAN12 (Tetraspanin 12 (TSPAN12))

Reactivity

  • 40
  • 23
  • 8
  • 5
  • 3
  • 3
  • 3
  • 3
  • 2
  • 2
  • 2
  • 2
Human, Rat, Mouse

Host

  • 40
Rabbit

Clonality

  • 40
Polyclonal

Conjugate

  • 17
  • 3
  • 3
  • 3
  • 2
  • 1
  • 1
  • 1
  • 1
  • 1
  • 1
  • 1
  • 1
  • 1
  • 1
  • 1
  • 1
This TSPAN12 antibody is un-conjugated

Application

  • 20
  • 17
  • 13
  • 13
  • 6
  • 6
  • 5
  • 3
  • 1
  • 1
  • 1
Western Blotting (WB), ELISA, Immunohistochemistry (IHC)
  • Binding Specificity

    • 15
    • 8
    • 4
    • 4
    • 2
    • 1
    • 1
    AA 111-224

    Purpose

    Anti-TSPAN12 Antibody

    Cross-Reactivity (Details)

    No cross-reactivity with other proteins.

    Characteristics

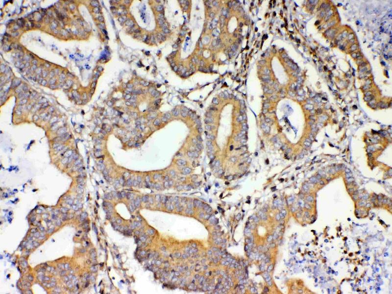
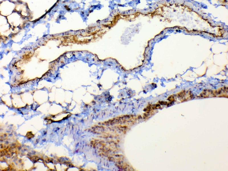
    Anti-TSPAN12 Antibody (ABIN5693040). Tested in ELISA, IHC, WB applications. This antibody reacts with Human, Mouse, Rat. This is a premium antibody that guarantees superior quality, high affinity, and strong signals with minimal background in Western blot applications.

    Purification

    Immunogen affinity purified.

    Immunogen

    E. coli-derived human TSPAN12 recombinant protein (Position: G111-R224).

    Isotype

    IgG
  • Application Notes

    Western blot, 0.1-0.5 μg/mL
    , Human, Mouse, Rat Immunohistochemistry (Paraffin-embedded Section), 2-5 μg/mL, Humanm, Rat
    ELISA, 0.1-0.5 μg/mL

    Restrictions

    For Research Use only
  • Format

    Lyophilized

    Reconstitution

    Add 0.2 mL of distilled water will yield a concentration of 500 μg/mL.

    Concentration

    500 μg/mL

    Buffer

    Each vial contains 4 mg Trehalose, 0.9 mg NaCl and 0.2 mg Na2HPO4.

    Storage

    4 °C,-20 °C

    Storage Comment

    Store at -20°C for one year from date of receipt. After reconstitution, at 4°C for one month.
    It can also be aliquotted and stored frozen at -20°C for six months. Avoid repeated freeze-thaw cycles.
  • Target

    TSPAN12 (Tetraspanin 12 (TSPAN12))

    Alternative Name

    TSPAN12

    Background

    Synonyms: Tetraspanin-12, Tspan-12, Tetraspan NET-2, Transmembrane 4 superfamily member 12, TSPAN12, NET2, TM4SF12, UNQ774/PRO1568

    Tissue Specificity: Expressed in testis, in Sertoli cells, ejaculated spermatozoa and in seminal fluid (at protein level).

    Background: Tetraspanin-12 (Tspan-12) also known as tetraspan NET-2 (NET2) or transmembrane 4 superfamily member 12 (TM4SF12) is a tetraspanin protein that in humans is encoded by the TSPAN12 gene. The protein encoded by this gene is a member of the transmembrane 4 superfamily, also known as the tetraspanin family. Most of these members are cell-surface proteins that are characterized by the presence of four hydrophobic domains. The proteins mediate signal transduction events that play a role in the regulation of cell development, activation, growth and motility.

    Molecular Weight

    40 kDa

    Gene ID

    23554

    UniProt

    O95859
You are here:
Chat with us!