ARR3 antibody (C-Term)
Quick Overview for ARR3 antibody (C-Term) (ABIN570667)
Target
See all ARR3 AntibodiesReactivity
Host
Clonality
Conjugate
Application
Grade
-
-
Binding Specificity
- C-Term
-
Purpose
- X-arrestin / arrestin 3
-
Sequence
- RKGEEESQKA VE
-
Cross-Reactivity
- Human
-
Purification
- Purified from goat serum by ammonium sulphate precipitation followed by antigen affinity chromatography using the immunizing peptide.
-
Immunogen
- C-RKGEEESQKAVE
-
Isotype
- IgG
-
-
-
-
Application Notes
-
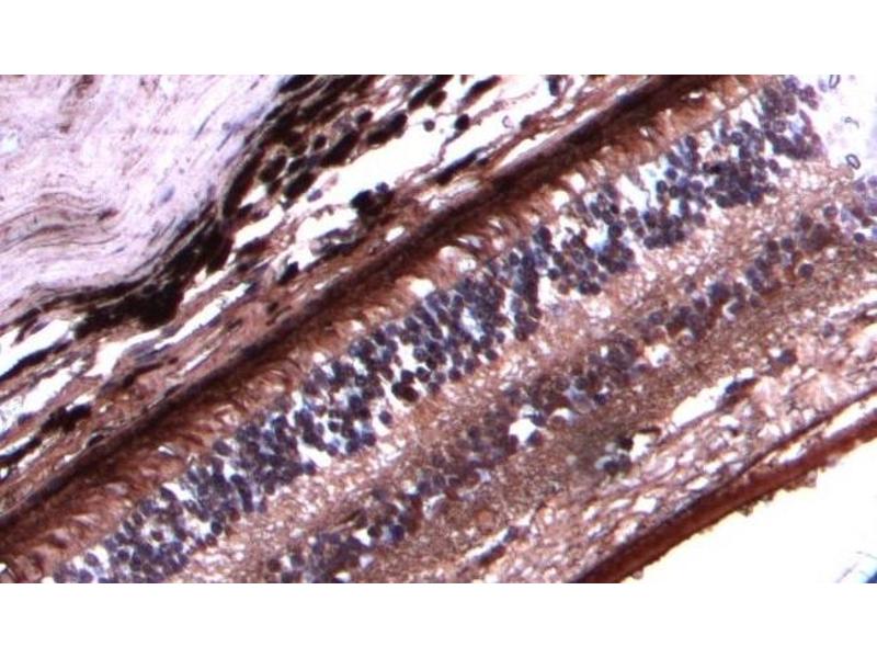
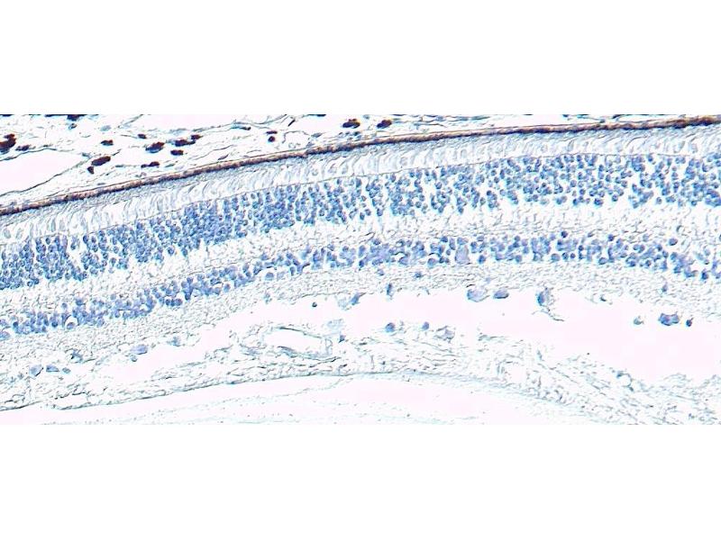
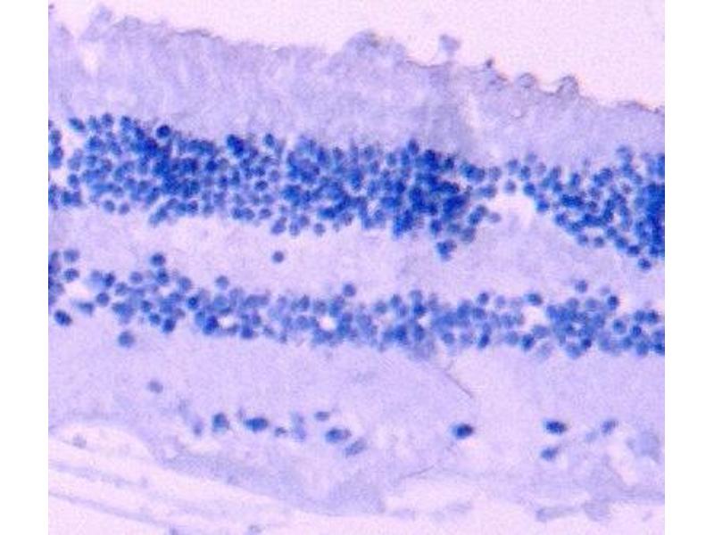
Immunohistochemistry: Paraffin embedded Human Retina. Recommended concentration: 4-5 μg/mL.
Western Blot: This antibody is not recommended for use in Western blotting.
Peptide ELISA: antibody detection limit dilution 1:32000.
-
Restrictions
- For Research Use only
-
-
-
Format
- Liquid
-
Concentration
- 0.5 mg/mL
-
Buffer
- Supplied at 0.5 mg/mL in Tris saline, 0.02 % sodium azide, pH 7.3 with 0.5 % bovine serum albumin.
-
Preservative
- Sodium azide
-
Precaution of Use
- This product contains Sodium azide: a POISONOUS AND HAZARDOUS SUBSTANCE which should be handled by trained staff only.
-
Handling Advice
- Minimize freezing and thawing.
-
Storage
- -20 °C
-
Storage Comment
- Aliquot and store at -20°C, with minimal freeze/thawing. A working aliquot may be refrigerated at 4°C for a few weeks and still remain viable.
-
-
- ARR3 (Arrestin 3, Retinal (X-Arrestin) (ARR3))
-
Alternative Name
- ARR3
-
Background
- ARR3, arrestin 3, retinal (X-arrestin), RP13-26D14.6, ARRX, Arrestin C
-
Gene ID
- 407
-
NCBI Accession
- NP_004303
-
Pathways
- Phototransduction, Thromboxane A2 Receptor Signaling
Target
-