Phone:
+1 877 302 8632
Fax:
+1 888 205 9894 (Toll-free)
E-Mail:
orders@antibodies-online.com

Hepcidin antibody (N-Term)

The Goat Polyclonal anti-Hepcidin antibody (ABIN570711) specifically detects Hepcidin in IHC and ELISA. The antibody is reactive with Human samples.
Catalog No. ABIN570711
$488.25
Plus shipping costs $50.00
100 μg
Shipping to: United States
Delivery in 1 to 3 Business Days

Quick Overview for Hepcidin antibody (N-Term) (ABIN570711)

Target

See all Hepcidin (HAMP) Antibodies
Hepcidin (HAMP) (Hepcidin Antimicrobial Peptide (HAMP))

Reactivity

  • 59
  • 18
  • 14
  • 3
  • 2
  • 2
  • 1
Human

Host

  • 63
  • 11
  • 5
Goat

Clonality

  • 55
  • 24
Polyclonal

Conjugate

  • 50
  • 9
  • 5
  • 2
  • 2
  • 2
  • 2
  • 2
  • 2
  • 1
  • 1
  • 1
This Hepcidin antibody is un-conjugated

Application

  • 58
  • 28
  • 26
  • 16
  • 15
  • 7
  • 5
  • 2
  • 2
  • 2
  • 2
  • 2
  • 2
  • 2
  • 1
  • 1
  • 1
Immunohistochemistry (IHC), ELISA

Grade

Verified
  • Binding Specificity

    • 8
    • 7
    • 5
    • 4
    • 3
    • 3
    • 2
    • 2
    • 1
    • 1
    • 1
    • 1
    • 1
    • 1
    • 1
    • 1
    • 1
    • 1
    N-Term

    Purpose

    HAMP

    Sequence

    TSGSVFPQQT GQLAE

    Cross-Reactivity

    Human

    Purification

    Purified from goat serum by ammonium sulphate precipitation followed by antigen affinity chromatography using the immunizing peptide.

    Immunogen

    Peptide with sequence TSGSVFPQQTGQLAE-C, from the N Terminus (near) of the protein sequence according to NP_066998.1.

    Isotype

    IgG
  • Application Notes

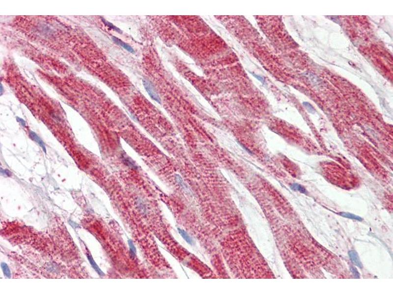
    Immunohistochemistry: Paraffin embedded Human Heart. Recommended concentration: 3.75 μg/mL.

    Western Blot: Preliminary experiments gave an approx 28 kDa band in Human Liver lysates after 0.1 μg/mL antibody staining. Please note that currently we cannot find an explanation in the literature for the band we observe given the calculated size of 9.41k

    Peptide ELISA: antibody detection limit dilution 1:16000.

    Restrictions

    For Research Use only
  • Format

    Liquid

    Concentration

    0.5 mg/mL

    Buffer

    Supplied at 0.5 mg/mL in Tris saline, 0.02 % sodium azide, pH 7.3 with 0.5 % bovine serum albumin.

    Preservative

    Sodium azide

    Precaution of Use

    This product contains Sodium azide: a POISONOUS AND HAZARDOUS SUBSTANCE which should be handled by trained staff only.

    Handling Advice

    Minimize freezing and thawing.

    Storage

    -20 °C

    Storage Comment

    Aliquot and store at -20°C, with minimal freeze/thawing. A working aliquot may be refrigerated at 4°C for a few weeks and still remain viable.
  • Target

    Hepcidin (HAMP) (Hepcidin Antimicrobial Peptide (HAMP))

    Alternative Name

    HAMP

    Background

    HAMP, hepcidin antimicrobial peptide, HEPC, HEPCIDIN, HFE2B, LEAP-1, LEAP1, PLTR, liver-expressed antimicrobial peptide, putative liver tumor regressor

    Gene ID

    57817

    NCBI Accession

    NP_066998

    Pathways

    Hormone Activity, Transition Metal Ion Homeostasis
You are here:
Chat with us!