Phone:
+1 877 302 8632
Fax:
+1 888 205 9894 (Toll-free)
E-Mail:
orders@antibodies-online.com

TMEM205 antibody (AA 137-146)

This Goat Polyclonal antibody specifically detects TMEM205 in ELISA, WB and IHC. It exhibits reactivity toward Human.
Catalog No. ABIN571264
$488.25
Plus shipping costs $50.00
100 μg
Shipping to: United States
Delivery in 1 to 3 Business Days

Quick Overview for TMEM205 antibody (AA 137-146) (ABIN571264)

Target

See all TMEM205 Antibodies
TMEM205 (Transmembrane Protein 205 (TMEM205))

Reactivity

Human

Host

  • 8
  • 1
Goat

Clonality

  • 9
Polyclonal

Conjugate

  • 3
  • 2
  • 2
  • 2
This TMEM205 antibody is un-conjugated

Application

ELISA, Western Blotting (WB), Immunohistochemistry (IHC)

Grade

Verified
  • Binding Specificity

    • 8
    • 1
    AA 137-146

    Purpose

    TMEM205 (aa137-146)

    Sequence

    PDPYRQLREK

    Specificity

    Reported variants represent identical protein: NP_940938.1, NP_212133.1, NP_001138888.1

    Cross-Reactivity

    Dog, Human, Mouse, Rat

    Purification

    Purified from goat serum by ammonium sulphate precipitation followed by antigen affinity chromatography using the immunizing peptide.

    Immunogen

    C-PDPYRQLREK

    Isotype

    IgG
  • Application Notes

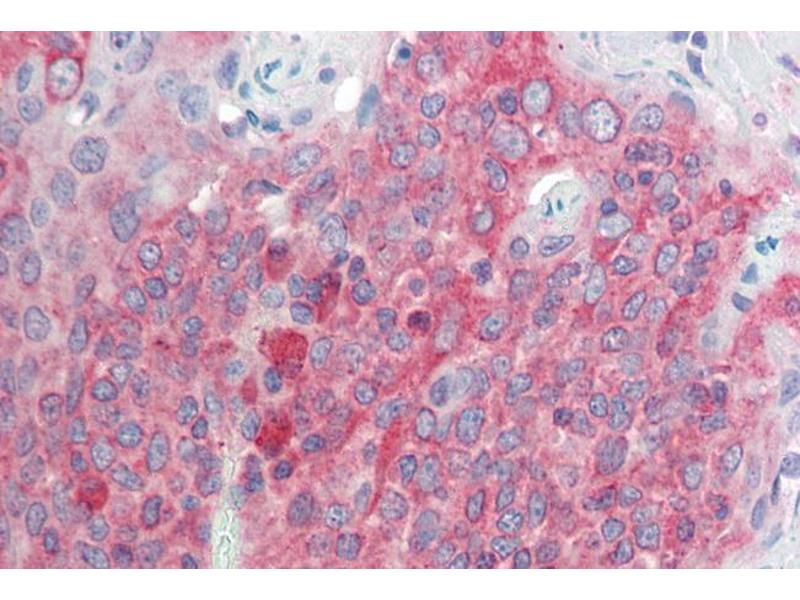
    Immunohistochemistry: Paraffin embedded Human Tonsil. Recommended concentration: 5 μg/mL.

    Western Blot: Approx 22 kDa band observed in Human Pancreas lysates (calculated MW of 21.2 kDa according to NP_212133.1). Recommended concentration: 0.03-0.1 μg/mL. Primary incubation was 1 hour. Preliminary testing was unsuccessful on Rat and Mouse Pancrea

    Peptide ELISA: antibody detection limit dilution 1:16000.

    Restrictions

    For Research Use only
  • Format

    Liquid

    Concentration

    0.5 mg/mL

    Buffer

    Supplied at 0.5 mg/mL in Tris saline, 0.02 % sodium azide, pH 7.3 with 0.5 % bovine serum albumin.

    Preservative

    Sodium azide

    Precaution of Use

    This product contains Sodium azide: a POISONOUS AND HAZARDOUS SUBSTANCE which should be handled by trained staff only.

    Handling Advice

    Minimize freezing and thawing.

    Storage

    -20 °C

    Storage Comment

    Aliquot and store at -20°C, with minimal freeze/thawing. A working aliquot may be refrigerated at 4°C for a few weeks and still remain viable.
  • Target

    TMEM205 (Transmembrane Protein 205 (TMEM205))

    Alternative Name

    TMEM205

    Background

    TMEM205, transmembrane protein 205, MGC110858, MGC3205, UNQ501, MBC3205

    Gene ID

    374882, 235043, 300441

    NCBI Accession

    NP_212133
You are here:
Chat with us!