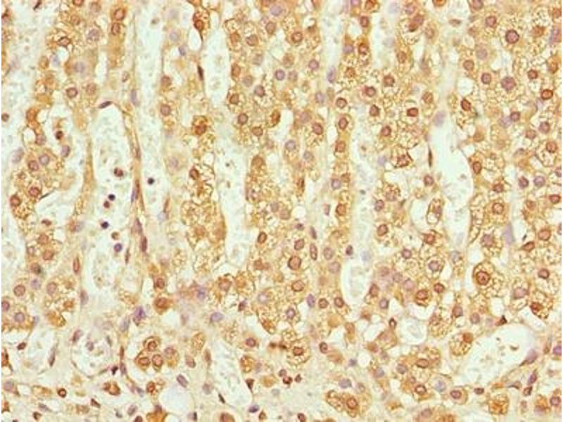
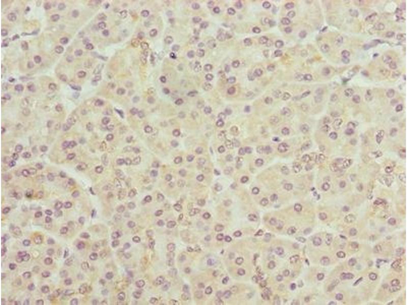
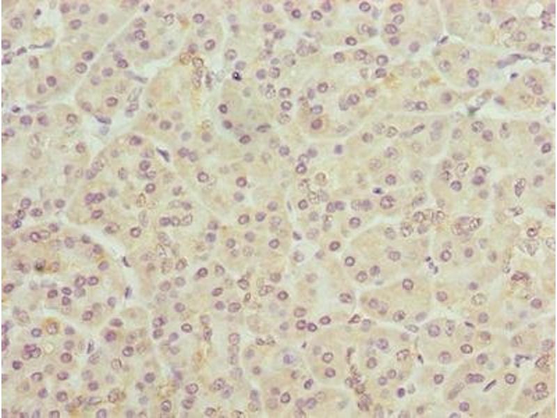
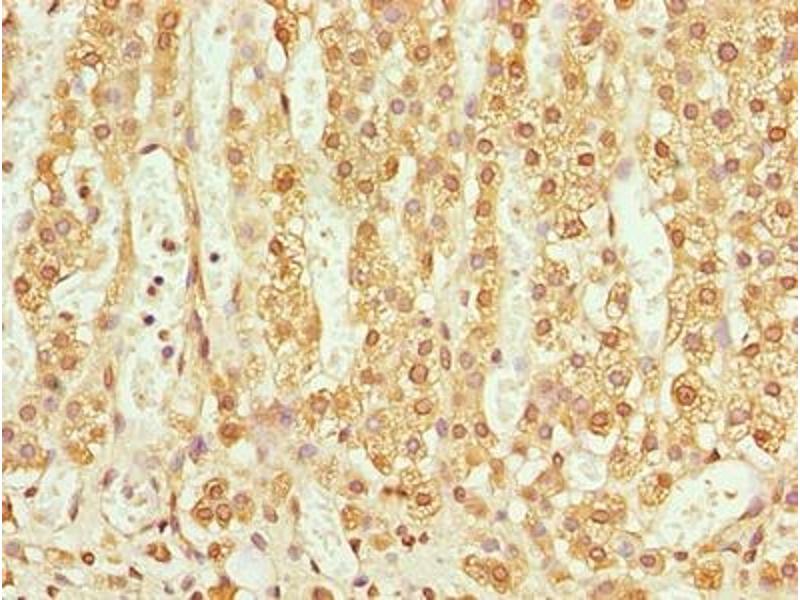
TMEM205 antibody (AA 104-153)
Quick Overview for TMEM205 antibody (AA 104-153) (ABIN7173131)
Target
See all TMEM205 AntibodiesReactivity
Host
Clonality
Conjugate
Application
-
-
Binding Specificity
- AA 104-153
-
Purpose
- TMEM205 Antibody
-
Purification
- Protein G purified
-
Purity
- >95 %
-
Immunogen
- Recombinant Human Transmembrane protein 205 protein (104-153AA)
-
Isotype
- IgG
-
-
-
-
Application Notes
- Optimal working dilution should be determined by the investigator.
-
Restrictions
- For Research Use only
-
-
-
Format
- Liquid
-
Buffer
-
Preservative: 0.03 % Proclin 300
Constituents: 50 % Glycerol, 0.01M PBS, PH 7.4 -
Preservative
- ProClin
-
Precaution of Use
- This product contains ProClin: a POISONOUS AND HAZARDOUS SUBSTANCE which should be handled by trained staff only.
-
Storage
- -20 °C,-80 °C
-
Storage Comment
- Upon receipt, store at -20°C or -80°C. Avoid repeated freeze.
-
-
- TMEM205 (Transmembrane Protein 205 (TMEM205))
-
Alternative Name
- TMEM205
-
Background
-
Background: In cancer cells, plays a role in resistance to the chemotherapeutic agent cisplatin.
Aliases: MBC3205 antibody, MGC110858 antibody, MGC3205 antibody, TM205_HUMAN antibody, Tmem205 antibody, Transmembrane protein 205 antibody, UNQ501 antibody, UNQ501/PRO1018 antibody
-
UniProt
- Q6UW68
Target
-