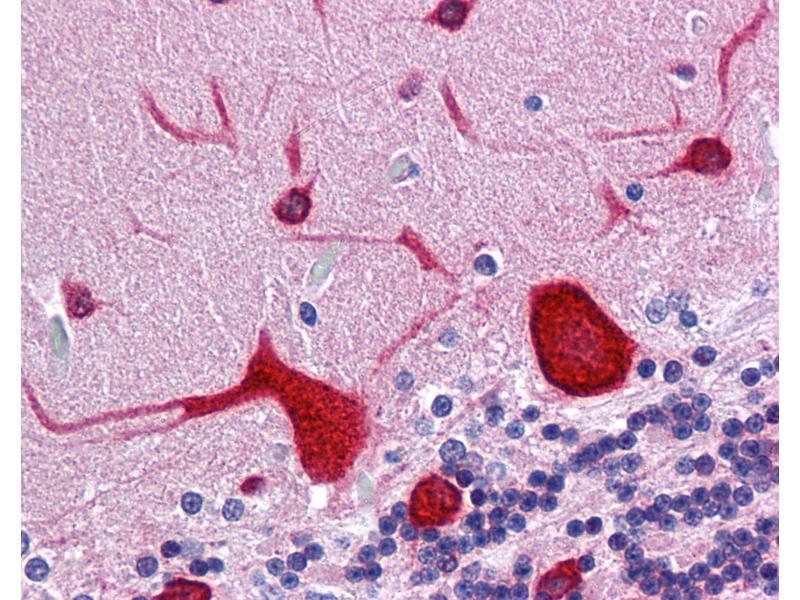
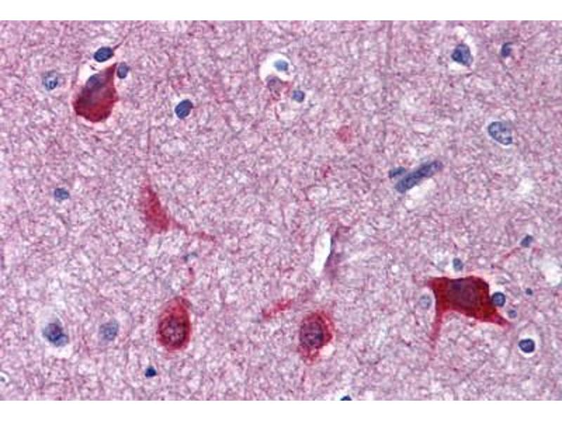
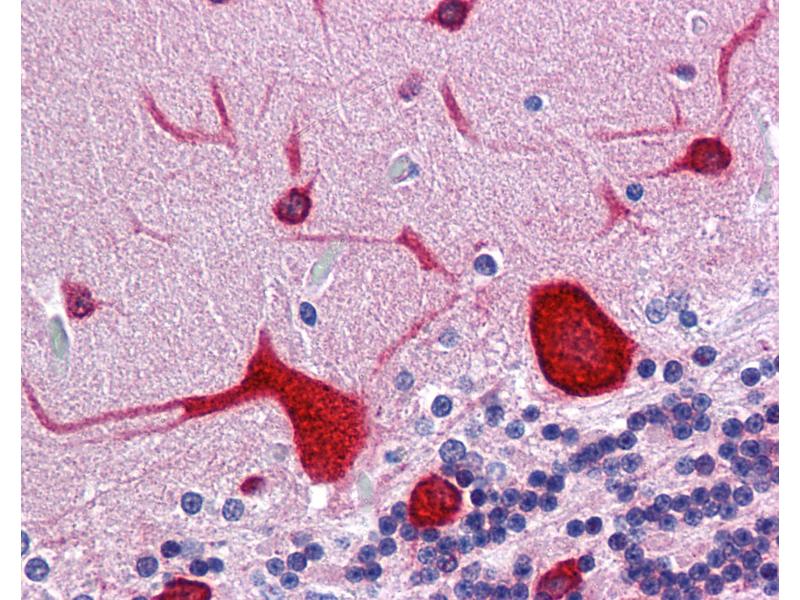
EEF1A2 antibody (AA 238-443)
Quick Overview for EEF1A2 antibody (AA 238-443) (ABIN574139)
Target
See all EEF1A2 AntibodiesReactivity
Host
Clonality
Conjugate
Application
-
-
Binding Specificity
- AA 238-443
-
Specificity
- Human EEF1A2. Predicted cross-reactivity based on amino acid sequence homology: mouse (99 % ), rat (91 %), zebrafish (94 %).
-
Purification
- Immunoaffinity purified
-
Immunogen
-
Recombinant protein fragment containing a sequence corresponding to a region within amino acids 238 and 443 of Human elongation factor 1A2.
Type of Immunogen: Recombinant protein
-
-
-
-
Application Notes
- Approved: IHC, IHC-P (10 μg/mL), WB (1:500 - 1:3000)
-
Comment
-
Target Species of Antibody: Human
-
Restrictions
- For Research Use only
-
-
-
Format
- Liquid
-
Concentration
- Lot specific
-
Buffer
- 0.1 M Tris-glycine, pH 7, 10 % Glycerol, 0.01 % Thimerosal
-
Preservative
- Thimerosal (Merthiolate)
-
Precaution of Use
- This product contains Thimerosal (Merthiolate): a POISONOUS AND HAZARDOUS SUBSTANCE which should be handled by trained staff only.
-
Handling Advice
- Minimize freezing and thawing.
-
Storage
- -20 °C
-
Storage Comment
- Aliquot and store at -20°C. Avoid freeze-thaw cycles.
-
-
- EEF1A2 (Eukaryotic Translation Elongation Factor 1 alpha 2 (EEF1A2))
-
Alternative Name
- EEF1A2
-
Background
-
Name/Gene ID: EEF1A2
Synonyms: EEF1A2, EEF1A-2, EF-1-alpha-2, EEF1AL, EF1A, Statin-like, Statin-S1, Statin, Statin S1, STN, Elongation factor 1-alpha 2, Elongation factor-1 alpha, HS1, STNL -
Gene ID
- 1917
-
UniProt
- Q05639
Target
-