SMAD6 antibody (AA 285-385)
Quick Overview for SMAD6 antibody (AA 285-385) (ABIN574292)
Target
See all SMAD6 AntibodiesReactivity
Host
Clonality
Conjugate
Application
Clone
-
-
Binding Specificity
- AA 285-385
-
Purification
- Purified from ascites by Protein A
-
Immunogen
-
SMAD6 (NP_005576, 285 a.a. ~ 385 a.a) partial recombinant protein with GST tag. MW of the GST tag alone is 26 KDa.
Type of Immunogen: Recombinant protein -
Isotype
- IgG2b kappa
-
-
-
-
Application Notes
-
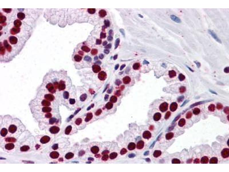
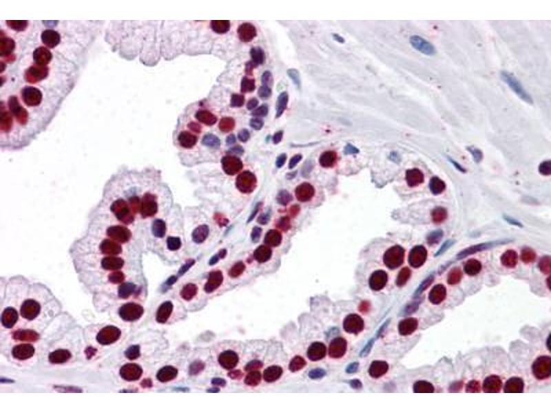
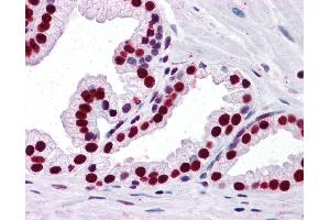
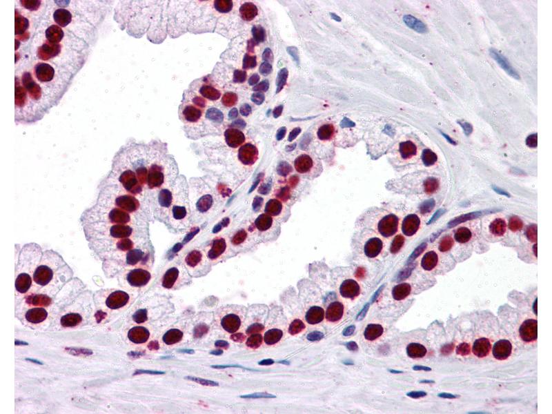
Approved: ELISA, IHC, IHC-P (5 μg/mL), WB
Usage: Antibody has been tested in Western blot using the recombinant protein immunogen as the sample. -
Comment
-
Target Species of Antibody: Human
-
Restrictions
- For Research Use only
-
-
-
Format
- Liquid
-
Concentration
- Lot specific
-
Buffer
- PBS, pH 7.4.
-
Handling Advice
- Aliquot to Avoid freeze/thaw cycles.
-
Storage
- -20 °C
-
Storage Comment
- Store at -20°C. Aliquot to avoid freeze/thaw cycles.
-
-
- SMAD6 (SMAD, Mothers Against DPP Homolog 6 (SMAD6))
-
Alternative Name
- SMAD6
-
Background
-
Name/Gene ID: SMAD6
Synonyms: SMAD6, AOVD2, HSMAD6, HsT17432, SMAD 6, MADH7, Mothers against DPP homolog 6, SMAD family member 6, MAD homolog 6, MADH6 -
Gene ID
- 4091
-
NCBI Accession
- NP_005576
-
UniProt
- O43541
-
Pathways
- Chromatin Binding
Target
-