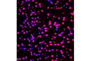
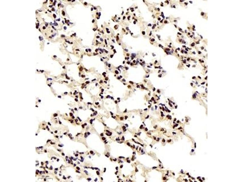
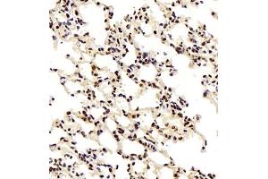
SMAD6 antibody
Quick Overview for SMAD6 antibody (ABIN7075629)
Target
See all SMAD6 AntibodiesReactivity
Host
Clonality
Conjugate
Application
-
-
Cross-Reactivity
- Human, Rat
-
Purification
- Affinity purification
-
Immunogen
- Recombinant protein corresponding to Mouse SMAD6
-
-
-
-
Application Notes
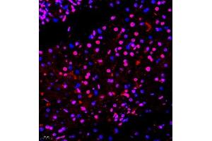
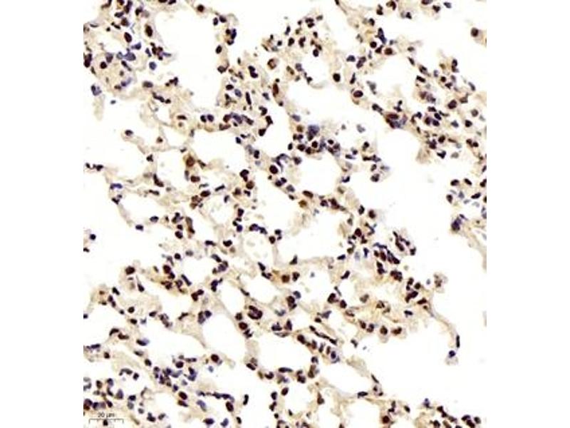
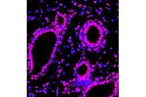
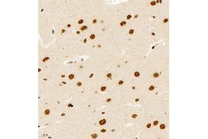
- IHC/IF (H,M,R) 1:500-1:1500/1:250-1:1500
-
Restrictions
- For Research Use only
-
-
-
Format
- Liquid
-
Buffer
- PBS, pH 7.4, 0.02 % sodium azide
-
Preservative
- Sodium azide
-
Precaution of Use
- This product contains Sodium azide: a POISONOUS AND HAZARDOUS SUBSTANCE which should be handled by trained staff only.
-
Storage
- -20 °C
-
-
- SMAD6 (SMAD, Mothers Against DPP Homolog 6 (SMAD6))
-
Alternative Name
- SMAD6
-
Background
- SMAD family member 6, also known as SMAD6, belongs to the SMAD family of proteins, which belong to the TGFβ superfamily of modulators. Like many other TGFβ family members SMAD6 is involved in cell signalling. It acts as a regulator of TGFβ family (such as bone morphogenetic proteins) activity by competing with SMAD4 and preventing the transcription of SMAD4's gene products. There are two known isoforms of this protein.
-
Gene ID
- 17130
-
NCBI Accession
- NP_032568
-
UniProt
- O35182
-
Pathways
- Chromatin Binding
Target
-