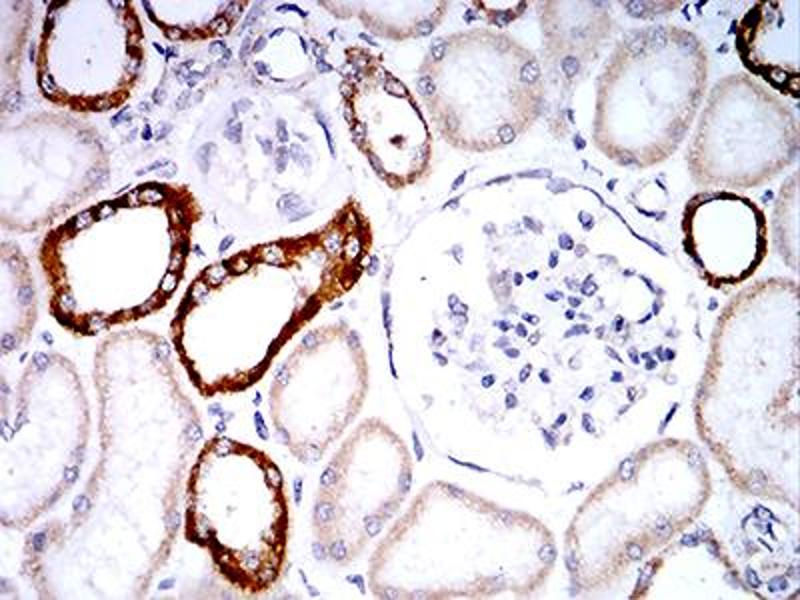
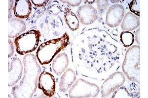
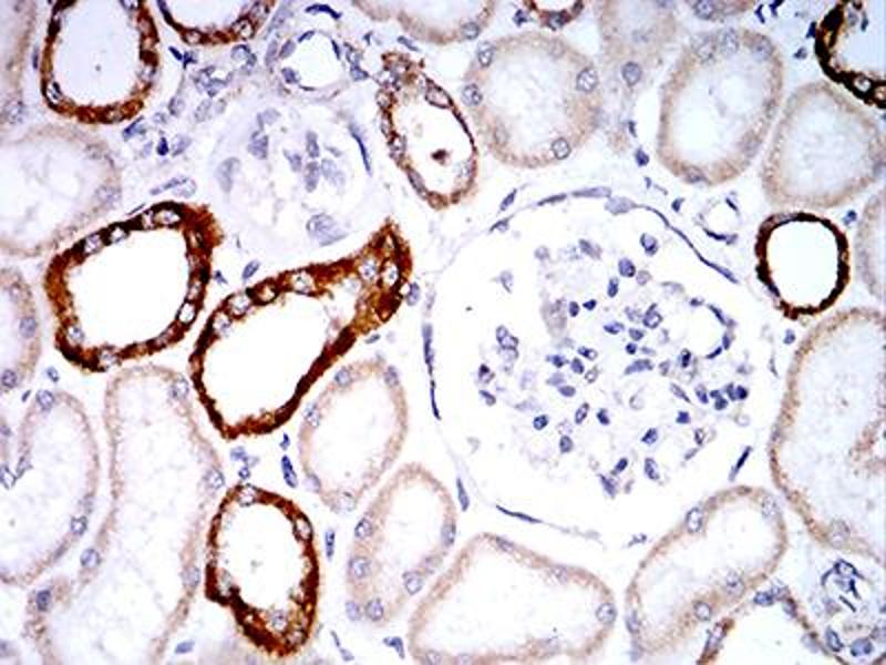
Phospholipase D2 antibody (AA 834-933)
Quick Overview for Phospholipase D2 antibody (AA 834-933) (ABIN5881791)
Target
See all Phospholipase D2 (PLD2) AntibodiesReactivity
Host
Clonality
Conjugate
Application
-
-
Binding Specificity
- AA 834-933
-
Characteristics
- Isotype: Mouse IgG1
-
Immunogen
- Purified recombinant fragment of human PLD2 (AA: 834-933) expressed in E. Coli.
-
Isotype
- IgG1
-
-
-
-
Restrictions
- For Research Use only
-
-
-
Format
- Liquid
-
Buffer
- Purified antibody in PBS with 0.05 % sodium azide.
-
Preservative
- Sodium azide
-
Precaution of Use
- This product contains Sodium azide: a POISONOUS AND HAZARDOUS SUBSTANCE which should be handled by trained staff only.
-
Storage
- -20 °C
-
Storage Comment
- Aliquot and store at -20 °C. Avoid repeated freeze/thaw cycles.
-
-
- Phospholipase D2 (PLD2)
-
Alternative Name
- PLD2
-
Molecular Weight
- 106 kDa
-
Gene ID
- 5338
-
UniProt
- O14939
-
Pathways
- RTK Signaling, Regulation of Leukocyte Mediated Immunity, Positive Regulation of Immune Effector Process, Regulation of G-Protein Coupled Receptor Protein Signaling
Target
-