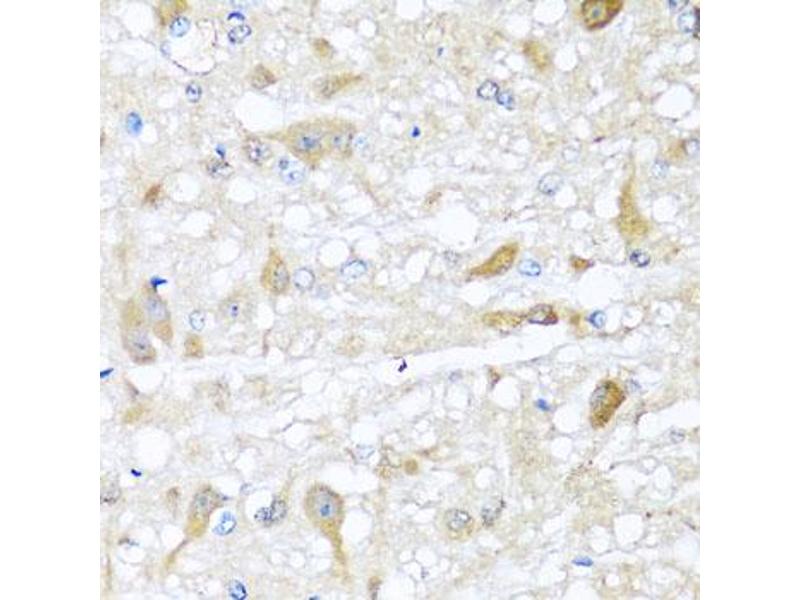
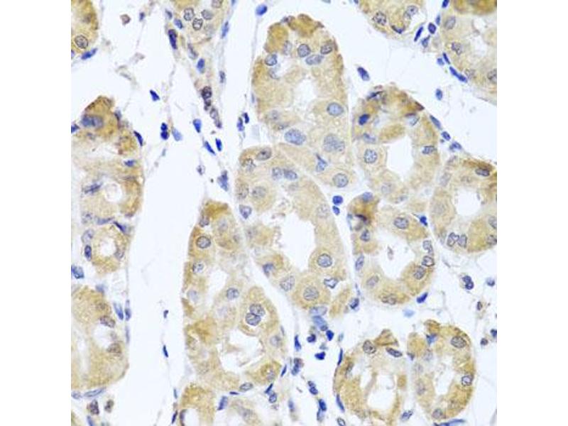
CBR4 antibody
Quick Overview for CBR4 antibody (ABIN5972931)
Target
See all CBR4 AntibodiesReactivity
Host
Clonality
Conjugate
Application
-
-
Purification
- Affinity purified
-
Immunogen
- Recombinant protein of human CBR4.
-
Isotype
- IgG
-
-
-
-
Application Notes
- Optimal working dilution should be determined by the investigator.
-
Restrictions
- For Research Use only
-
-
-
Format
- Liquid
-
Concentration
- Lot specific
-
Buffer
- PBS, pH 7.3, 0.02 % sodium azide, 50 % glycerol.
-
Preservative
- Sodium azide
-
Precaution of Use
- This product contains Sodium azide: a POISONOUS AND HAZARDOUS SUBSTANCE which should be handled by trained staff only.
-
Storage
- -20 °C
-
Storage Comment
- Aliquot and store at -20 °C. Avoid repeated freeze/thaw cycles.
-
-
- CBR4 (Carbonyl Reductase 4 (CBR4))
-
Alternative Name
- CBR4
-
Molecular Weight
-
Calculated MW: 18 kDa/25 kDa
Observed MW: 25 kDa -
Gene ID
- 84869
-
UniProt
- Q8N4T8
Target
-