Phone:
+1 877 302 8632
Fax:
+1 888 205 9894 (Toll-free)
E-Mail:
orders@antibodies-online.com

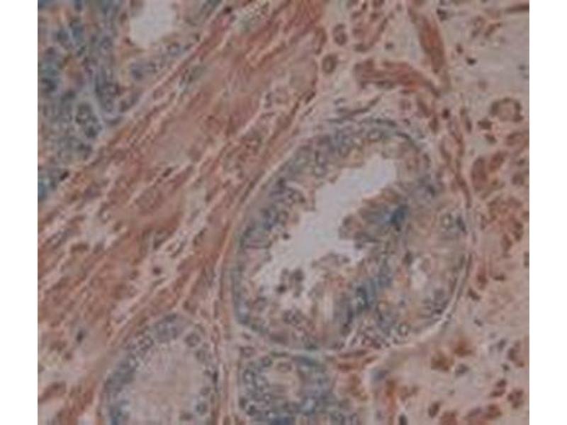
Procollagen Type I Propeptide antibody (N-Term)

This Mouse Monoclonal antibody specifically detects Procollagen Type I Propeptide in IF/ICC, IHC, WB and IP. It exhibits reactivity toward Human.
Catalog No. ABIN6002583
$565.06
Plus shipping costs $50.00
Shipping to: United States
Delivery in 10 to 20 Business Days

Quick Overview for Procollagen Type I Propeptide antibody (N-Term) (ABIN6002583)

Target

See all Procollagen Type I Propeptide Antibodies
Procollagen Type I Propeptide

Reactivity

  • 5
  • 2
  • 1
Human

Host

  • 7
  • 1
Mouse

Clonality

  • 7
  • 1
Monoclonal

Conjugate

  • 5
  • 2
  • 1
This Procollagen Type I Propeptide antibody is un-conjugated

Application

  • 7
  • 7
  • 7
  • 4
  • 1
Immunofluorescence (fixed cells) (IF/ICC), Immunohistochemistry (IHC), Western Blotting (WB), Immunoprecipitation (IP)
  • Binding Specificity

    • 6
    • 2
    N-Term

    Purification

    Protein A + Protein G affinity chromatography
  • Application Notes

    Optimal working dilution should be determined by the investigator.

    Restrictions

    For Research Use only
  • Format

    Liquid

    Concentration

    1 mg/mL

    Buffer

    0.01M PBS,  pH 7.4, containing 0.05 % Proclin-300, 50 % glycerol.

    Preservative

    ProClin

    Precaution of Use

    This product contains ProClin: a POISONOUS AND HAZARDOUS SUBSTANCE which should be handled by trained staff only.

    Storage

    4 °C,-20 °C

    Storage Comment

    Store at 4 °C for frequent use. Aliquot and store at -20 °C for one year. Avoid repeated freeze/thaw cycles.
  • Target

    Procollagen Type I Propeptide

    Alternative Name

    Procollagen I Propeptide

    UniProt

    P02452
You are here:
Chat with us!