RHBDD3 antibody (Internal Region)
Quick Overview for RHBDD3 antibody (Internal Region) (ABIN605144)
Target
Reactivity
Host
Clonality
Conjugate
Application
-
-
Binding Specificity
- Internal Region
-
Purification
- Immunoaffinity purified
-
Isotype
- IgG
-
-
-
-
Application Notes
-
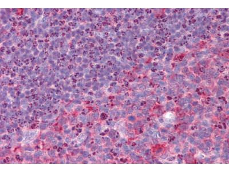
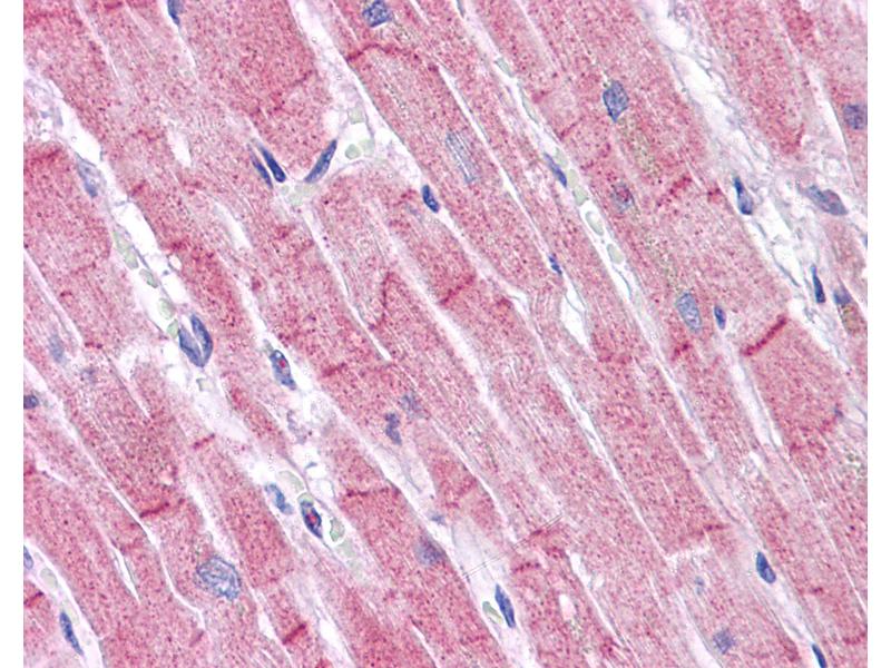
Approved: ELISA, IHC, IHC-P (5 μg/mL), WB (1 - 2 μg/mL)
Usage: RHBDD3 antibody can be used for detection of RHBDD3 by Western blot at 1-2 μg/mL. -
Comment
-
Target Species of Antibody: Human
-
Restrictions
- For Research Use only
-
-
-
Format
- Liquid
-
Concentration
- Lot specific
-
Buffer
- PBS, 0.02 % sodium azide
-
Preservative
- Sodium azide
-
Precaution of Use
- This product contains Sodium azide: a POISONOUS AND HAZARDOUS SUBSTANCE which should be handled by trained staff only.
-
Handling Advice
- avoid freeze thaw cycles. Store undiluted.
-
Storage
- 4 °C,-20 °C
-
Storage Comment
- Store at 4°C for 3 months and -20°C, stable for up to 1 year. Avoid repeated freeze-thaw cycles.
-
Expiry Date
- 12 months
-
-
- RHBDD3 (Rhomboid Domain Containing 3 (RHBDD3))
-
Alternative Name
- RHBDD3
-
Background
-
Name/Gene ID: RHBDD3
Synonyms: RHBDD3, HS984G1A, PTAG, Rhomboid domain containing 3, Pituitary tumor apoptosis, C22orf3 -
Gene ID
- 25807
-
UniProt
- Q9Y3P4
Target
-