PBS with 0.02 % sodium azide,50 % glycerol, pH 7.3.
Preservative
Sodium azide
Precaution of Use
This product contains Sodium azide: a POISONOUS AND HAZARDOUS SUBSTANCE which should be handled by trained staff only.
Storage
-20 °C
Storage Comment
Store at -20°C. Avoid freeze / thaw cycles.
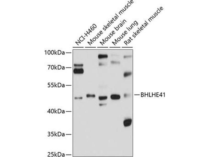
Target
BHLHE41
(Basic Helix-Loop-Helix Family, Member E41 (BHLHE41))
Alternative Name
BHLHE41
Background
This gene encodes a basic helix-loop-helix protein expressed in various tissues. The encoded protein can interact with ARNTL or compete for E-box binding sites in the promoter of PER1 and repress CLOCK/ARNTL's transactivation of PER1. This gene is believed to be involved in the control of circadian rhythm and cell differentiation. Defects in this gene are associated with the short sleep phenotype.,BHLHE41,BHLHB3,DEC2,SHARP1,hDEC2,Epigenetics & Nuclear Signaling,Transcription Factors,Cancer,Signal Transduction,Endocrine & Metabolism,Neuroscience,BHLHE41