Phone:
+1 877 302 8632
Fax:
+1 888 205 9894 (Toll-free)
E-Mail:
orders@antibodies-online.com

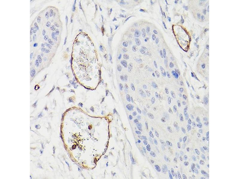
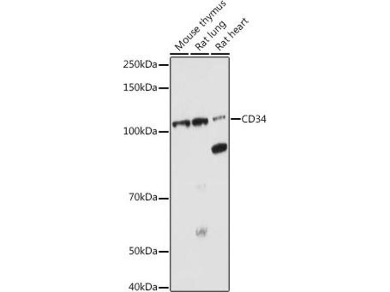
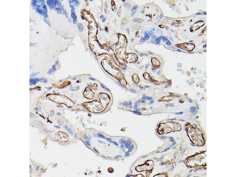
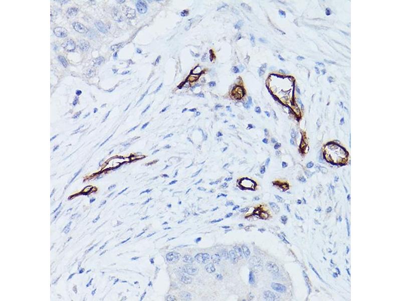
CD34 antibody (C-Term)

The Rabbit Polyclonal anti-CD34 antibody (ABIN6138169) specifically detects CD34 in WB, IHC and IF. The antibody is reactive with Human samples.
Catalog No. ABIN6138169
$383.00
Plus shipping costs $50.00
Shipping to: United States
Delivery in 7 to 10 Business Days

Quick Overview for CD34 antibody (C-Term) (ABIN6138169)

Target

See all CD34 Antibodies
CD34

Reactivity

  • 361
  • 141
  • 132
  • 33
  • 29
  • 19
  • 19
  • 19
  • 18
  • 17
  • 10
  • 7
  • 6
  • 1
  • 1
Human

Host

  • 206
  • 176
  • 24
  • 4
  • 3
Rabbit

Clonality

  • 279
  • 130
  • 3
Polyclonal

Conjugate

  • 153
  • 34
  • 30
  • 25
  • 18
  • 8
  • 8
  • 8
  • 7
  • 7
  • 7
  • 7
  • 7
  • 5
  • 4
  • 4
  • 4
  • 4
  • 4
  • 4
  • 4
  • 4
  • 4
  • 4
  • 4
  • 4
  • 3
  • 3
  • 3
  • 3
  • 3
  • 3
  • 3
  • 2
  • 2
  • 2
  • 2
  • 2
  • 1
  • 1
  • 1
  • 1
  • 1
  • 1
  • 1
  • 1
  • 1
  • 1
  • 1
This CD34 antibody is un-conjugated

Application

  • 280
  • 212
  • 106
  • 103
  • 55
  • 54
  • 43
  • 39
  • 37
  • 30
  • 28
  • 25
  • 21
  • 13
  • 7
  • 6
  • 4
  • 3
  • 3
  • 2
  • 1
  • 1
  • 1
Western Blotting (WB), Immunohistochemistry (IHC), Immunofluorescence (IF)
  • Binding Specificity

    • 16
    • 16
    • 16
    • 16
    • 10
    • 7
    • 6
    • 5
    • 4
    • 4
    • 3
    • 2
    • 2
    • 2
    • 2
    • 2
    • 2
    • 1
    • 1
    • 1
    • 1
    • 1
    • 1
    • 1
    • 1
    • 1
    • 1
    • 1
    • 1
    • 1
    • 1
    • 1
    • 1
    • 1
    C-Term

    Sequence

    LLAVLGITGY FLMNRRSWSP TGERLGEDPY YTENGGGQGY SSGPGTSPEA QGKASVNRGA QENGTGQATS RNGHSARQHV VADTEL

    Cross-Reactivity

    Human, Mouse, Rat

    Characteristics

    Polyclonal Antibodies

    Purification

    Affinity purification

    Immunogen

    A synthetic peptide corresponding to a sequence within amino acids 300 to the C-terminus of human CD34 (NP_001020280.1).

    Isotype

    IgG
  • Application Notes

    WB,1:500 - 1:2000,IHC,1:50 - 1:200,IF,1:50 - 1:200

    Restrictions

    For Research Use only
  • Format

    Liquid

    Buffer

    PBS with 0.02 % sodium azide,50 % glycerol, pH 7.3.

    Preservative

    Sodium azide

    Precaution of Use

    This product contains Sodium azide: a POISONOUS AND HAZARDOUS SUBSTANCE which should be handled by trained staff only.

    Storage

    -20 °C

    Storage Comment

    Store at -20°C. Avoid freeze / thaw cycles.
  • Target

    CD34

    Alternative Name

    CD34

    Background

    The protein encoded by this gene may play a role in the attachment of stem cells to the bone marrow extracellular matrix or to stromal cells. This single-pass membrane protein is highly glycosylated and phosphorylated by protein kinase C. Two transcript variants encoding different isoforms have been found for this gene.,CD34,CD34 Molecule,GIG3,MORT1,Cancer,Tumor biomarkers,Cell Biology & Developmental Biology,Immunology & Inflammation,CD markers,Neuroscience,Cell Type Marker,Stem Cells,Endothelial Progenitors,Hematopoietic Progenitors,Mesenchymal Stem Cells,Cardiovascular,Heart,Cardiogenesis,Neuron marker,CD34

    Molecular Weight

    35 kDa/40 kDa

    Gene ID

    947

    UniProt

    P28906
You are here:
Chat with us!