Phone:
+1 877 302 8632
Fax:
+1 888 205 9894 (Toll-free)
E-Mail:
orders@antibodies-online.com

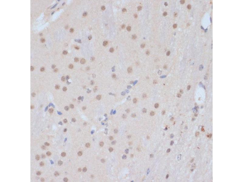
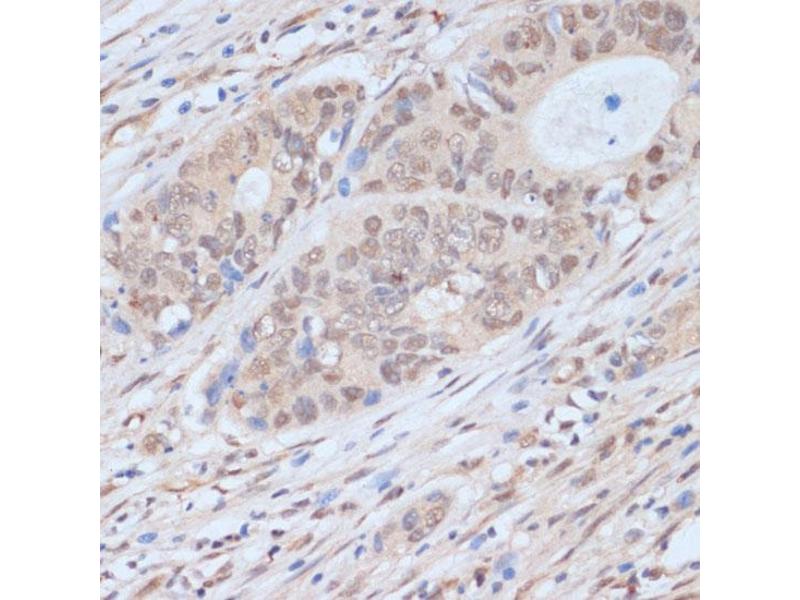
CDK9 antibody (AA 153-372)

The Rabbit Polyclonal anti-CDK9 antibody is suitable to detect CDK9 in samples from Human. It has been validated for WB, IHC and IF.
Catalog No. ABIN6138331
$383.00
Plus shipping costs $50.00
Shipping to: United States
Delivery in 7 to 10 Business Days

Quick Overview for CDK9 antibody (AA 153-372) (ABIN6138331)

Target

See all CDK9 Antibodies
CDK9 (Cyclin-Dependent Kinase 9 (CDK9))

Reactivity

  • 104
  • 49
  • 23
  • 7
  • 6
  • 6
  • 5
  • 3
  • 1
  • 1
  • 1
Human

Host

  • 100
  • 4
  • 2
Rabbit

Clonality

  • 79
  • 27
Polyclonal

Conjugate

  • 47
  • 6
  • 4
  • 4
  • 4
  • 4
  • 4
  • 4
  • 4
  • 2
  • 2
  • 2
  • 2
  • 2
  • 2
  • 2
  • 2
  • 2
  • 1
  • 1
  • 1
  • 1
  • 1
  • 1
  • 1
This CDK9 antibody is un-conjugated

Application

  • 81
  • 28
  • 25
  • 22
  • 21
  • 21
  • 18
  • 16
  • 16
  • 12
  • 8
  • 1
  • 1
  • 1
Western Blotting (WB), Immunohistochemistry (IHC), Immunofluorescence (IF)
  • Binding Specificity

    • 26
    • 10
    • 10
    • 6
    • 6
    • 2
    • 2
    • 1
    • 1
    • 1
    • 1
    • 1
    • 1
    • 1
    • 1
    • 1
    • 1
    • 1
    • 1
    AA 153-372

    Sequence

    ANVLITRDGV LKLADFGLAR AFSLAKNSQP NRYTNRVVTL WYRPPELLLG ERDYGPPIDL WGAGCIMAEM WTRSPIMQGN TEQHQLALIS QLCGSITPEV WPNVDNYELY EKLELVKGQK RKVKDRLKAY VRDPYALDLI DKLLVLDPAQ RIDSDDALNH DFFWSDPMPS DLKGMLSTHL TSMFEYLAPP RRKGSQITQQ STNQSRNPAT TNQTEFERVF

    Cross-Reactivity

    Human, Mouse, Rat

    Characteristics

    Polyclonal Antibodies

    Purification

    Affinity purification

    Immunogen

    Recombinant fusion protein containing a sequence corresponding to amino acids 153-372 of human CDK9 (NP_001252.1).

    Isotype

    IgG
  • Application Notes

    WB,1:500 - 1:1000,IHC,1:50 - 1:200,IF,1:50 - 1:200

    Restrictions

    For Research Use only
  • Format

    Liquid

    Buffer

    PBS with 0.02 % sodium azide,50 % glycerol, pH 7.3.

    Preservative

    Sodium azide

    Precaution of Use

    This product contains Sodium azide: a POISONOUS AND HAZARDOUS SUBSTANCE which should be handled by trained staff only.

    Storage

    -20 °C

    Storage Comment

    Store at -20°C. Avoid freeze / thaw cycles.
  • Target

    CDK9 (Cyclin-Dependent Kinase 9 (CDK9))

    Alternative Name

    CDK9

    Background

    The protein encoded by this gene is a member of the cyclin-dependent protein kinase (CDK) family. CDK family members are highly similar to the gene products of S. cerevisiae cdc28, and S. pombe cdc2, and known as important cell cycle regulators. This kinase was found to be a component of the multiprotein complex TAK/P-TEFb, which is an elongation factor for RNA polymerase II-directed transcription and functions by phosphorylating the C-terminal domain of the largest subunit of RNA polymerase II. This protein forms a complex with and is regulated by its regulatory subunit cyclin T or cyclin K. HIV-1 Tat protein was found to interact with this protein and cyclin T, which suggested a possible involvement of this protein in AIDS.,CDK9,C-2k,CDC2L4,CTK1,PITALRE,TAK,Epigenetics & Nuclear Signaling,Signal Transduction,Kinase,Serine/threonine kinases,Cell Biology & Developmental Biology,Cell Cycle,Immunology & Inflammation,CDK9

    Molecular Weight

    42 kDa/53 kDa

    Gene ID

    1025

    UniProt

    P50750

    Pathways

    Cell Division Cycle
You are here:
Chat with us!