Phone:
+1 877 302 8632
Fax:
+1 888 205 9894 (Toll-free)
E-Mail:
orders@antibodies-online.com

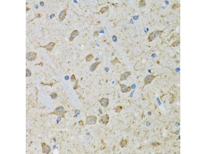
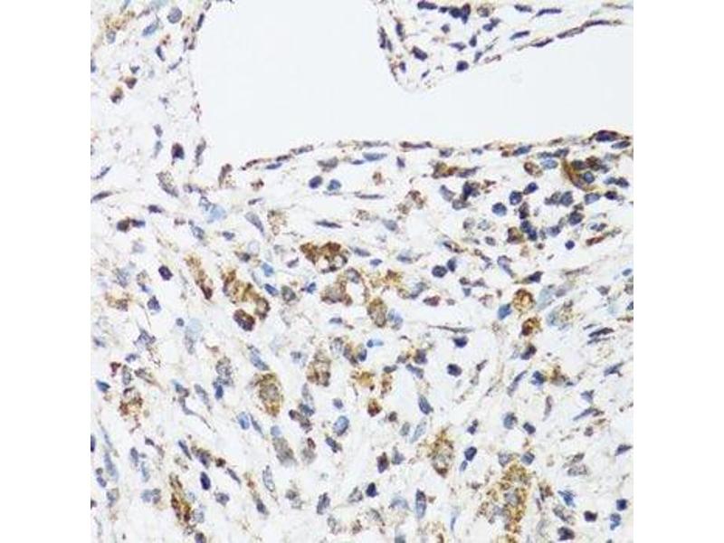
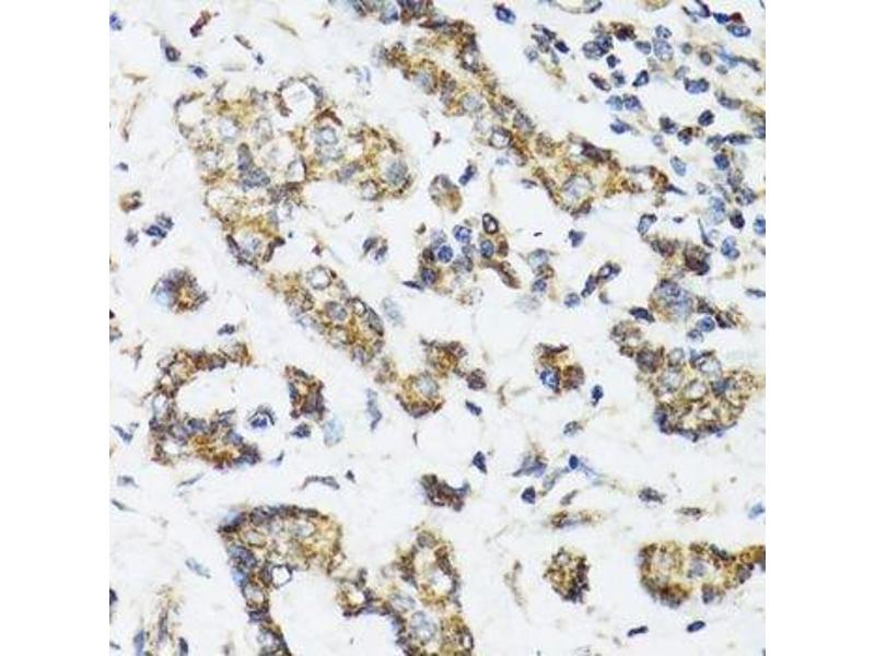
DHRS2 antibody (AA 1-300)

This Rabbit Polyclonal antibody specifically detects DHRS2 in WB and IF. It exhibits reactivity toward Human.
Catalog No. ABIN6139594
$383.00
Plus shipping costs $50.00
Shipping to: United States
Delivery in 7 to 10 Business Days

Quick Overview for DHRS2 antibody (AA 1-300) (ABIN6139594)

Target

See all DHRS2 Antibodies
DHRS2 (Dehydrogenase/reductase (SDR Family) Member 2 (DHRS2))

Reactivity

  • 42
  • 21
  • 18
  • 3
  • 3
  • 2
  • 2
  • 1
  • 1
Human

Host

  • 41
  • 1
Rabbit

Clonality

  • 41
  • 1
Polyclonal

Conjugate

  • 17
  • 2
  • 2
  • 2
  • 1
  • 1
  • 1
  • 1
  • 1
  • 1
  • 1
  • 1
  • 1
  • 1
  • 1
  • 1
  • 1
  • 1
  • 1
  • 1
  • 1
  • 1
  • 1
This DHRS2 antibody is un-conjugated

Application

  • 35
  • 14
  • 13
  • 13
  • 11
  • 5
  • 3
  • 1
Western Blotting (WB), Immunofluorescence (IF)
  • Binding Specificity

    • 15
    • 8
    • 2
    • 2
    • 1
    • 1
    • 1
    • 1
    • 1
    • 1
    • 1
    • 1
    • 1
    AA 1-300

    Sequence

    MLSAVARGYQ GWFHPCARLS VRMSSTGIDR KGVLANRVAV VTGSTSGIGF AIARRLARDG AHVVISSRKQ QNVDRAMAKL QGEGLSVAGI VCHVGKAEDR EQLVAKALEH CGGVDFLVCS AGVNPLVGST LGTSEQIWDK ILSVNVKSPA LLLSQLLPYM ENRRGAVILV SSIAAYNPVV ALGVYNVSKT ALLGLTRTLA LELAPKDIRV NCVVPGIIKT DFSKVVRIGF MGMSLSGRTS RNIISCRGLG SQRTVQESCP SCALQMPATS TGRTLRWQAT PLGSERSGGG CVAVVPGPGA

    Cross-Reactivity

    Human, Mouse, Rat

    Characteristics

    Polyclonal Antibodies

    Purification

    Affinity purification

    Immunogen

    Recombinant fusion protein containing a sequence corresponding to amino acids 1-300 of human DHRS2 (NP_878912.1).

    Isotype

    IgG
  • Application Notes

    WB,1:500 - 1:2000,IF,1:10 - 1:100

    Comment

    HIGH QUALITY

    Restrictions

    For Research Use only
  • Format

    Liquid

    Buffer

    PBS with 0.02 % sodium azide,50 % glycerol, pH 7.3.

    Preservative

    Sodium azide

    Precaution of Use

    This product contains Sodium azide: a POISONOUS AND HAZARDOUS SUBSTANCE which should be handled by trained staff only.

    Storage

    -20 °C

    Storage Comment

    Store at -20°C. Avoid freeze / thaw cycles.
  • Target

    DHRS2 (Dehydrogenase/reductase (SDR Family) Member 2 (DHRS2))

    Alternative Name

    DHRS2

    Background

    This gene encodes a member of the short-chain dehydrogenases/reductases (SDR) family, which has over 46,000 members. Members of this family are enzymes that metabolize many different compounds, such as steroid hormones, prostaglandins, retinoids, lipids and xenobiotics. Alternative promoter use and alternative splicing results in multiple transcript variants.,DHRS2,HEP27,SDR25C1,Cancer,Signal Transduction,Cell Biology & Developmental Biology,Growth factor,Endocrine & Metabolism,Drug metabolism,DHRS2

    Molecular Weight

    29 kDa/31 kDa

    Gene ID

    10202

    UniProt

    Q13268

    Pathways

    C21-Steroid Hormone Metabolic Process
You are here:
Chat with us!