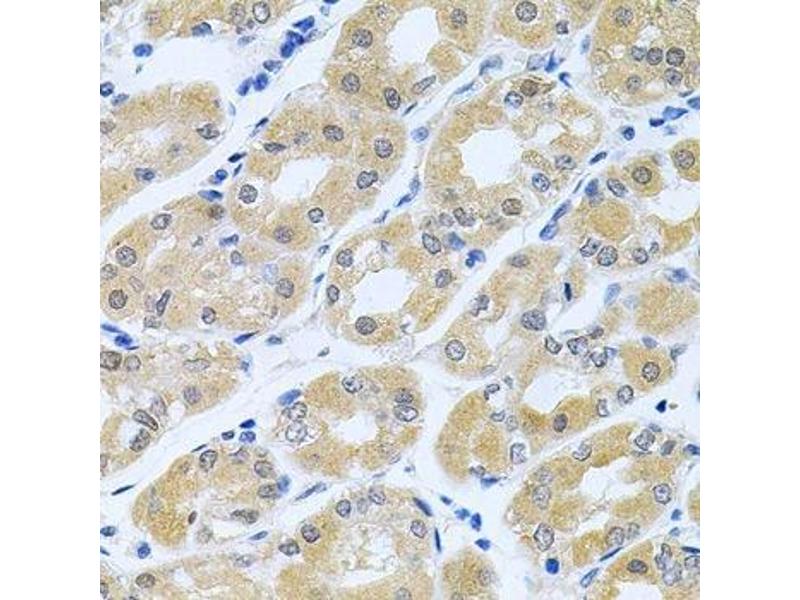
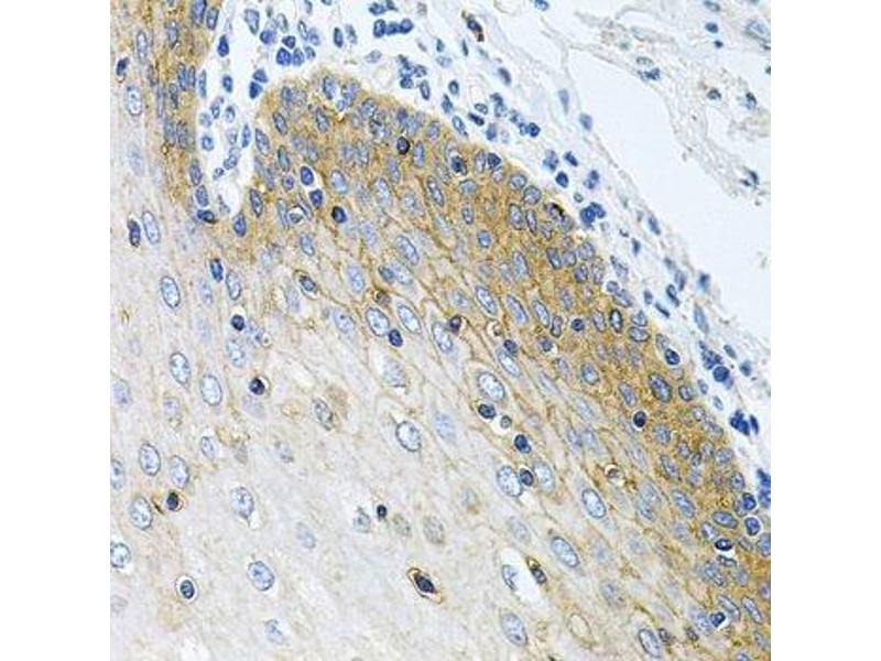
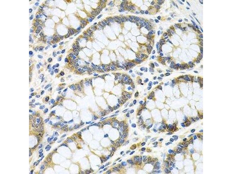
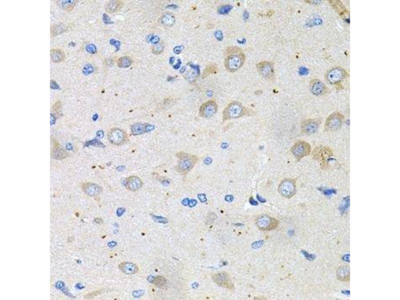
GNE antibody (AA 1-150)
Quick Overview for GNE antibody (AA 1-150) (ABIN6141232)
Target
See all GNE AntibodiesReactivity
Host
Clonality
Conjugate
Application
-
-
Binding Specificity
- AA 1-150
-
Sequence
- METYGYLQRE SCFQGPHELY FKNLSKRNKQ IMEKNGNNRK LRVCVATCNR ADYSKLAPIM FGIKTEPEFF ELDVVVLGSH LIDDYGNTYR MIEQDDFDIN TRLHTIVRGE DEAAMVESVG LALVKLPDVL NRLKPDIMIV HGDRFDALAL
-
Cross-Reactivity
- Human, Mouse, Rat
-
Characteristics
- Polyclonal Antibodies
-
Purification
- Affinity purification
-
Immunogen
- Recombinant fusion protein containing a sequence corresponding to amino acids 1-150 of human GNE (NP_001121699.1).
-
Isotype
- IgG
-
-
-
-
Application Notes
- WB,1:500 - 1:2000,IHC,1:50 - 1:100
-
Comment
-
HIGH QUALITY
-
Restrictions
- For Research Use only
-
-
-
Format
- Liquid
-
Buffer
- PBS with 0.02 % sodium azide,50 % glycerol, pH 7.3.
-
Preservative
- Sodium azide
-
Precaution of Use
- This product contains Sodium azide: a POISONOUS AND HAZARDOUS SUBSTANCE which should be handled by trained staff only.
-
Storage
- -20 °C
-
Storage Comment
- Store at -20°C. Avoid freeze / thaw cycles.
-
-
- GNE (Glucosamine (UDP-N-Acetyl)-2-Epimerase/N-Acetylmannosamine Kinase (GNE))
-
Alternative Name
- GNE
-
Background
- The protein encoded by this gene is a bifunctional enzyme that initiates and regulates the biosynthesis of N-acetylneuraminic acid (NeuAc), a precursor of sialic acids. It is a rate-limiting enzyme in the sialic acid biosynthetic pathway. Sialic acid modification of cell surface molecules is crucial for their function in many biologic processes, including cell adhesion and signal transduction. Differential sialylation of cell surface molecules is also implicated in the tumorigenicity and metastatic behavior of malignant cells. Mutations in this gene are associated with sialuria, autosomal recessive inclusion body myopathy, and Nonaka myopathy. Alternative splicing of this gene results in transcript variants encoding different isoforms.,GNE,DMRV,GLCNE,IBM2,NM,Uae1,Signal Transduction,Kinase,Cell Biology & Developmental Biology,Cardiovascular,Blood,GNE
-
Molecular Weight
- 66 kDa/71 kDa/78 kDa/79 kDa/83 kDa
-
Gene ID
- 10020
-
UniProt
- Q9Y223
Target
-