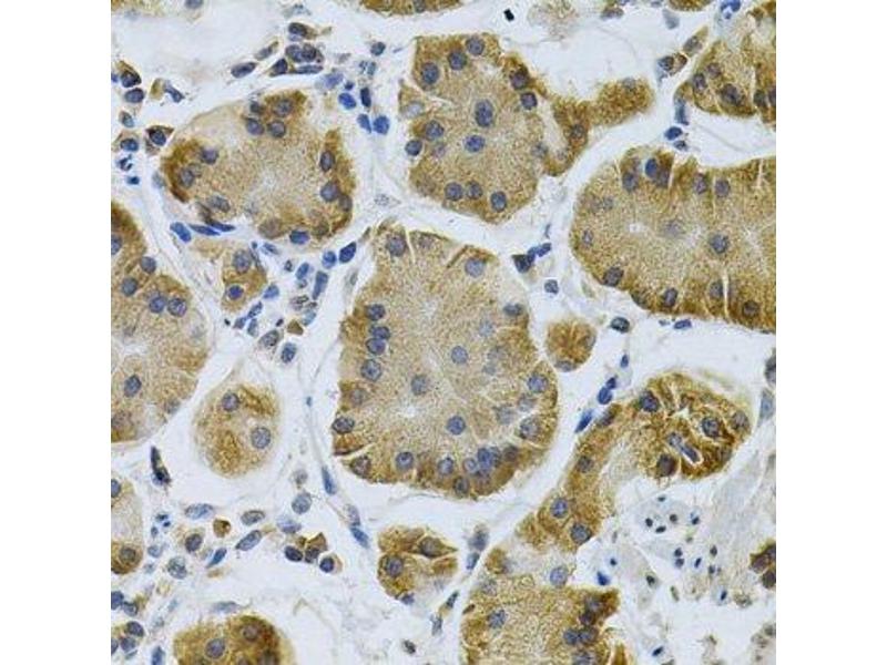
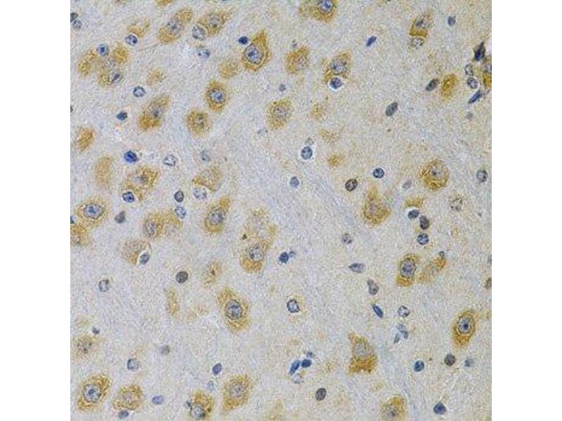
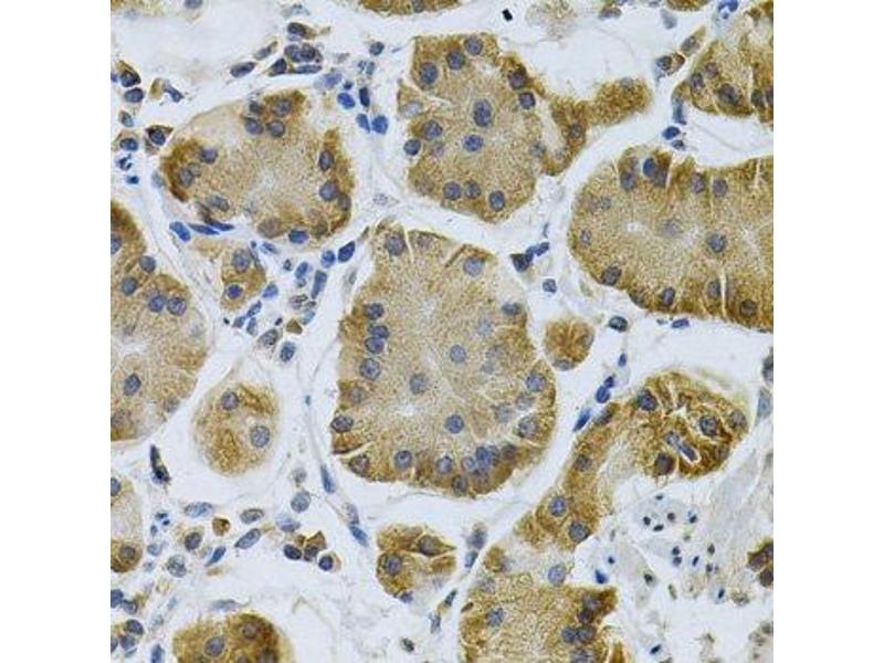
IGFBP4 antibody (AA 22-258)
Quick Overview for IGFBP4 antibody (AA 22-258) (ABIN6142255)
Target
See all IGFBP4 AntibodiesReactivity
Host
Clonality
Conjugate
Application
-
-
Binding Specificity
- AA 22-258
-
Sequence
- DEAIHCPPCS EEKLARCRPP VGCEELVREP GCGCCATCAL GLGMPCGVYT PRCGSGLRCY PPRGVEKPLH TLMHGQGVCM ELAEIEAIQE SLQPSDKDEG DHPNNSFSPC SAHDRRCLQK HFAKIRDRST SGGKMKVNGA PREDARPVPQ GSCQSELHRA LERLAASQSR THEDLYIIPI PNCDRNGNFH PKQCHPALDG QRGKCWCVDR KTGVKLPGGL EPKGELDCHQ LADSFRE
-
Cross-Reactivity
- Human, Mouse, Rat
-
Characteristics
- Polyclonal Antibodies
-
Purification
- Affinity purification
-
Immunogen
- Recombinant fusion protein containing a sequence corresponding to amino acids 22-258 of human IGFBP4 (NP_001543.2).
-
Isotype
- IgG
-
-
-
-
Application Notes
- WB,1:500 - 1:2000,IHC,1:50 - 1:100,IF,1:50 - 1:200
-
Comment
-
HIGH QUALITY
-
Restrictions
- For Research Use only
-
-
-
Format
- Liquid
-
Buffer
- PBS with 0.02 % sodium azide,50 % glycerol, pH 7.3.
-
Preservative
- Sodium azide
-
Precaution of Use
- This product contains Sodium azide: a POISONOUS AND HAZARDOUS SUBSTANCE which should be handled by trained staff only.
-
Storage
- -20 °C
-
Storage Comment
- Store at -20°C. Avoid freeze / thaw cycles.
-
-
- IGFBP4 (Insulin-Like Growth Factor Binding Protein 4 (IGFBP4))
-
Alternative Name
- IGFBP4
-
Background
- This gene is a member of the insulin-like growth factor binding protein (IGFBP) family and encodes a protein with an IGFBP domain and a thyroglobulin type-I domain. The protein binds both insulin-like growth factors (IGFs) I and II and circulates in the plasma in both glycosylated and non-glycosylated forms. Binding of this protein prolongs the half-life of the IGFs and alters their interaction with cell surface receptors.,IGFBP4,BP-4,HT29-IGFBP,IBP4,IGFBP-4,Signal Transduction,Cell Biology & Developmental Biology,Cytoskeleton,Extracellular Matrix,Bone,Growth factor,Cardiovascular,Angiogenesis,IGFBP4
-
Molecular Weight
- 17 kDa/27 kDa
-
Gene ID
- 3487
-
UniProt
- P22692
-
Pathways
- WNT Signaling, Myometrial Relaxation and Contraction, Regulation of Carbohydrate Metabolic Process
Target
-