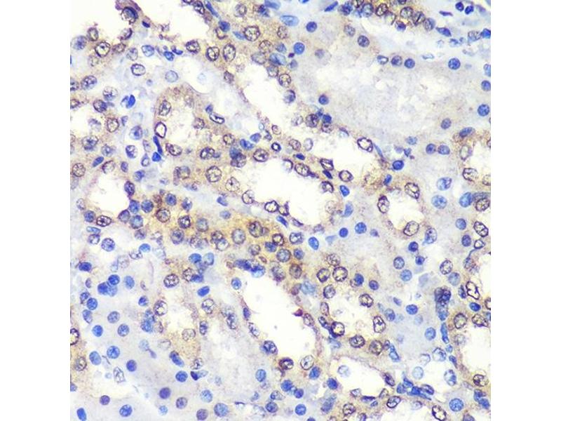
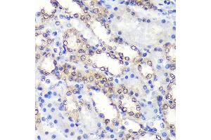
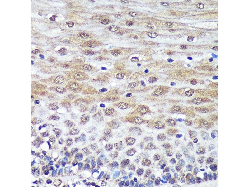
Associated component of the proteasome that specifically recognizes acetylated histones and promotes ATP- and ubiquitin-independent degradation of core histones during spermatogenesis and DNA damage response. Recognizes and binds acetylated histones via its bromodomain-like (BRDL region and activates the proteasome by opening the gated channel for substrate entry. Binds to the core proteasome via its C-terminus, which occupies the same binding sites as the proteasomal ATPases, opening the closed structure of the proteasome via an active gating mechanism. Component of the spermatoproteasome, a form of the proteasome specifically found in testis: binds to acetylated histones and promotes degradation of histones, thereby participating actively to the exchange of histones during spermatogenesis. Also involved in DNA damage response in somatic cells, by promoting degradation of histones following DNA double-strand breaks.,PSME4,PA200,Cell Biology & Developmental Biology,Ubiquitin,PSME4