Phone:
+1 877 302 8632
Fax:
+1 888 205 9894 (Toll-free)
E-Mail:
orders@antibodies-online.com

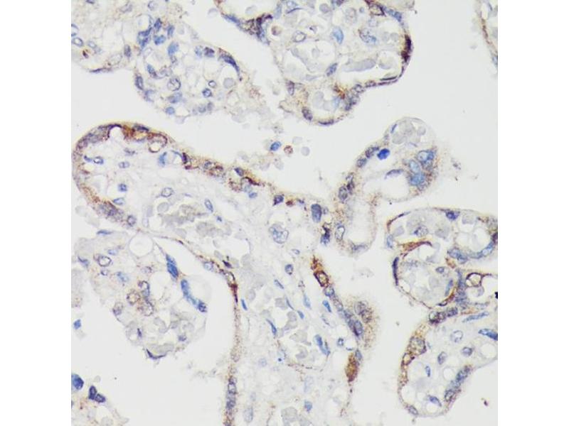
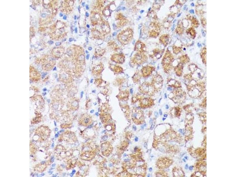
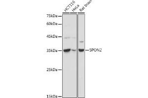
SPON2 antibody (AA 27-150)

The Rabbit Polyclonal anti-SPON2 antibody is suitable to detect SPON2 in samples from Human. It has been validated for WB and IHC.
Catalog No. ABIN6148370
$383.00
Plus shipping costs $50.00
Shipping to: United States
Delivery in 7 to 10 Business Days

Quick Overview for SPON2 antibody (AA 27-150) (ABIN6148370)

Target

See all SPON2 Antibodies
SPON2 (Spondin 2 (SPON2))

Reactivity

  • 43
  • 16
  • 15
  • 4
  • 4
  • 4
  • 3
  • 2
  • 2
  • 2
  • 1
  • 1
Human

Host

  • 44
  • 4
  • 2
Rabbit

Clonality

  • 47
  • 3
Polyclonal

Conjugate

  • 30
  • 1
  • 1
  • 1
  • 1
  • 1
  • 1
  • 1
  • 1
  • 1
  • 1
  • 1
  • 1
  • 1
  • 1
  • 1
  • 1
  • 1
  • 1
  • 1
  • 1
This SPON2 antibody is un-conjugated

Application

  • 27
  • 14
  • 13
  • 13
  • 13
  • 7
  • 7
  • 4
  • 3
  • 2
  • 1
  • 1
Western Blotting (WB), Immunohistochemistry (IHC)
  • Binding Specificity

    • 15
    • 5
    • 3
    • 2
    • 2
    • 2
    • 1
    • 1
    • 1
    • 1
    • 1
    • 1
    • 1
    • 1
    AA 27-150

    Sequence

    QPLGGESICS ARAPAKYSIT FTGKWSQTAF PKQYPLFRPP AQWSSLLGAA HSSDYSMWRK NQYVSNGLRD FAERGEAWAL MKEIEAAGEA LQSVHAVFSA PAVPSGTGQT SAELEVQRRH SLVS

    Cross-Reactivity

    Human, Mouse, Rat

    Characteristics

    Polyclonal Antibodies

    Immunogen

    Recombinant fusion protein containing a sequence corresponding to amino acids 27-150 of human SPON2 (NP_036577.1).

    Isotype

    IgG
  • Application Notes

    WB,1:500 - 1:2000,IHC,1:50 - 1:200

    Restrictions

    For Research Use only
  • Format

    Liquid

    Buffer

    PBS with 0.02 % sodium azide,50 % glycerol, pH 7.3.

    Preservative

    Sodium azide

    Precaution of Use

    This product contains Sodium azide: a POISONOUS AND HAZARDOUS SUBSTANCE which should be handled by trained staff only.

    Storage

    -20 °C

    Storage Comment

    Store at -20°C. Avoid freeze / thaw cycles.
  • Target

    SPON2 (Spondin 2 (SPON2))

    Alternative Name

    SPON2

    Background

    Cell adhesion protein that promotes adhesion and outgrowth of hippocampal embryonic neurons. Binds directly to bacteria and their components and functions as an opsonin for macrophage phagocytosis of bacteria. Essential in the initiation of the innate immune response and represents a unique pattern-recognition molecule in the ECM for microbial pathogens (By similarity. Binds bacterial lipopolysaccharide (LPS.,SPON2,DIL-1,DIL1,M-SPONDIN,MINDIN,spondin-2,Signal Transduction,Cell Biology & Developmental Biology,Cell Adhesion,Cytoskeleton,Extracellular Matrix,Immunology & Inflammation,Cell Intrinsic Innate Immunity Signaling Pathway,Neuroscience,SPON2

    Molecular Weight

    35 kDa

    Gene ID

    10417

    UniProt

    Q9BUD6
You are here:
Chat with us!