Phone:
+1 877 302 8632
Fax:
+1 888 205 9894 (Toll-free)
E-Mail:
orders@antibodies-online.com

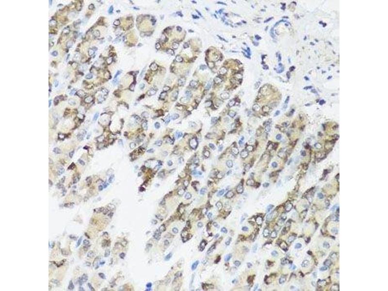
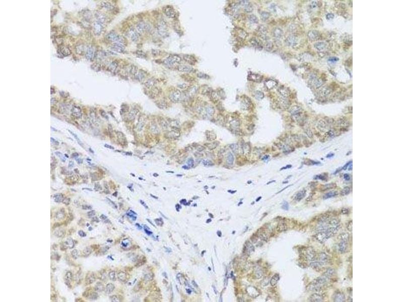
TIMM10B antibody (AA 1-103)

The Rabbit Polyclonal anti-TIMM10B antibody is suitable to detect TIMM10B in samples from Human. It has been validated for WB and IHC.
Catalog No. ABIN6149158
$383.00
Plus shipping costs $50.00
Shipping to: United States
Delivery in 7 to 10 Business Days

Quick Overview for TIMM10B antibody (AA 1-103) (ABIN6149158)

Target

See all TIMM10B (FXC1) Antibodies
TIMM10B (FXC1) (Fracture Callus 1 Homolog (FXC1))

Reactivity

  • 18
  • 3
  • 2
Human

Host

  • 14
  • 4
Rabbit

Clonality

  • 16
  • 2
Polyclonal

Conjugate

  • 12
  • 2
  • 2
  • 2
This TIMM10B antibody is un-conjugated

Application

  • 13
  • 9
  • 6
  • 1
  • 1
Western Blotting (WB), Immunohistochemistry (IHC)
  • Binding Specificity

    • 13
    • 1
    • 1
    • 1
    • 1
    AA 1-103

    Sequence

    MERQQQQQQQ LRNLRDFLLV YNRMTELCFQ RCVPSLHHRA LDAEEEACLH SCAGKLIHSN HRLMAAYVQL MPALVQRRIA DYEAASAVPG VAAEQPGVSP SGS

    Cross-Reactivity

    Human, Mouse

    Characteristics

    Polyclonal Antibodies

    Immunogen

    Recombinant fusion protein containing a sequence corresponding to amino acids 1-103 of human TIMM10B (NP_036324.1).

    Isotype

    IgG
  • Application Notes

    WB,1:500 - 1:2000,IHC,1:50 - 1:100

    Comment

    HIGH QUALITY

    Restrictions

    For Research Use only
  • Format

    Liquid

    Buffer

    PBS with 0.02 % sodium azide,50 % glycerol, pH 7.3.

    Preservative

    Sodium azide

    Precaution of Use

    This product contains Sodium azide: a POISONOUS AND HAZARDOUS SUBSTANCE which should be handled by trained staff only.

    Storage

    -20 °C

    Storage Comment

    Store at -20°C. Avoid freeze / thaw cycles.
  • Target

    TIMM10B (FXC1) (Fracture Callus 1 Homolog (FXC1))

    Alternative Name

    TIMM10B

    Background

    FXC1, or TIMM10B, belongs to a family of evolutionarily conserved proteins that are organized in heterooligomeric complexes in the mitochondrial intermembrane space. These proteins mediate the import and insertion of hydrophobic membrane proteins into the mitochondrial inner membrane.[supplied by OMIM, Apr 2004],TIMM10B,FXC1,TIM10B,Tim9b,Signal Transduction,Endocrine & Metabolism,Mitochondrial metabolism,TIMM10B

    Molecular Weight

    11 kDa

    Gene ID

    26515

    UniProt

    Q9Y5J6

    Pathways

    SARS-CoV-2 Protein Interactome
You are here:
Chat with us!