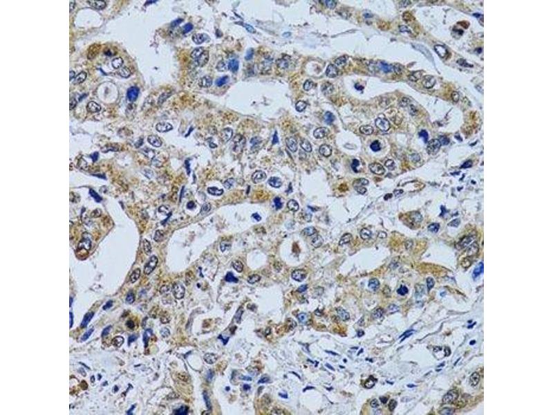
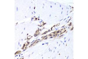
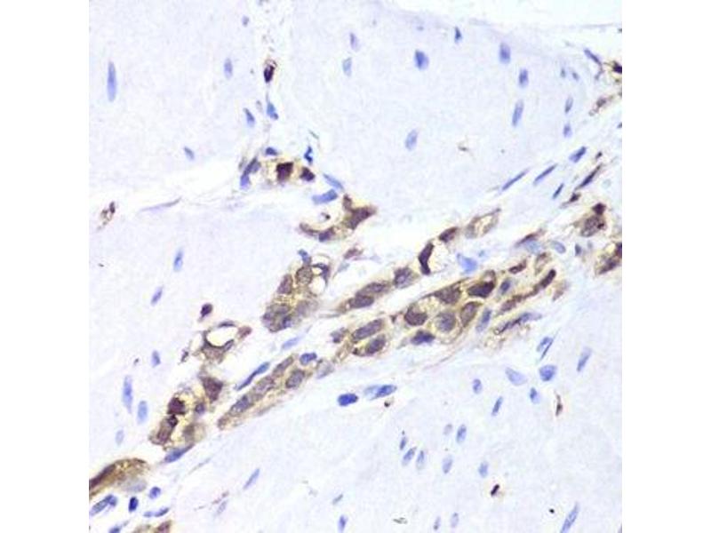
TPPP3 antibody (AA 1-176)
Quick Overview for TPPP3 antibody (AA 1-176) (ABIN6149449)
Target
See all TPPP3 AntibodiesReactivity
Host
Clonality
Conjugate
Application
-
-
Binding Specificity
- AA 1-176
-
Sequence
- MAASTDMAGL EESFRKFAIH GDPKASGQEM NGKNWAKLCK DCKVADGKSV TGTDVDIVFS KVKGKSARVI NYEEFKKALE ELATKRFKGK SKEEAFDAIC QLVAGKEPAN VGVTKAKTGG AVDRLTDTSR YTGSHKERFD ESGKGKGIAG RQDILDDSGY VSAYKNAGTY DAKVKK
-
Cross-Reactivity
- Human, Mouse, Rat
-
Characteristics
- Polyclonal Antibodies
-
Immunogen
- Recombinant fusion protein containing a sequence corresponding to amino acids 1-176 of human TPPP3 (NP_057224.2).
-
Isotype
- IgG
-
-
-
-
Application Notes
- WB,1:500 - 1:2000
-
Comment
-
HIGH QUALITY
-
Restrictions
- For Research Use only
-
-
-
Format
- Liquid
-
Buffer
- PBS with 0.02 % sodium azide,50 % glycerol, pH 7.3.
-
Preservative
- Sodium azide
-
Precaution of Use
- This product contains Sodium azide: a POISONOUS AND HAZARDOUS SUBSTANCE which should be handled by trained staff only.
-
Storage
- -20 °C
-
Storage Comment
- Store at -20°C. Avoid freeze / thaw cycles.
-
-
- TPPP3 (Tubulin Polymerization-Promoting Protein Family Member 3 (TPPP3))
-
Alternative Name
- TPPP3
-
Background
- Regulator of microtubule dynamic that has microtubule bundling activity. Required for embryo implantation, possibly by regulating beta-catenin (By similarity. Also required for decidualization via regulation of beta-catenin.,TPPP3,CGI-38,TPPP/p20,p20,p25gamma,Signal Transduction,Cell Biology & Developmental Biology,Cell Cycle,Cytoskeleton,Microtubules,TPPP3
-
Molecular Weight
- 18 kDa
-
Gene ID
- 51673
-
UniProt
- Q9BW30
Target
-