TPPP3 antibody
Quick Overview for TPPP3 antibody (ABIN7076047)
Target
See all TPPP3 AntibodiesReactivity
Host
Clonality
Conjugate
Application
-
-
Cross-Reactivity
- Human
-
Purification
- Affinity purification
-
Immunogen
- Recombinant protein corresponding to Mouse TPPP3
-
-
-
-
Application Notes
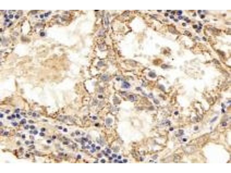
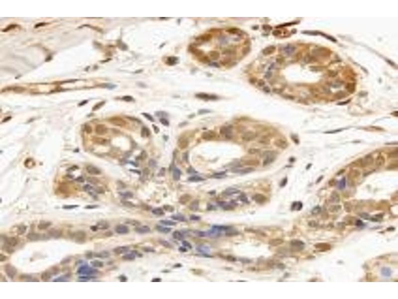
- WB (H) 1:1000-1:2000, IHC/IF (H) 1:1500-1:3000
-
Restrictions
- For Research Use only
-
-
-
Format
- Liquid
-
Buffer
- PBS, pH 7.4, 0.02 % sodium azide
-
Preservative
- Sodium azide
-
Precaution of Use
- This product contains Sodium azide: a POISONOUS AND HAZARDOUS SUBSTANCE which should be handled by trained staff only.
-
Storage
- -20 °C
-
-
- TPPP3 (Tubulin Polymerization-Promoting Protein Family Member 3 (TPPP3))
-
Alternative Name
- TPPP3
-
Background
- TPPP3 (tubulin polymerization promoting protein 3), also named as TPPP/p20, is a new member of the TPPP family which binds tubulin and induces tubulin polymerization and microtubule bundling.TPPP3 has been shown to play an important role in cell proliferation and may be implicated in tumorigenesis and metastasis . TPPP3 was also identified as specific marker for the connective tissues that envelope tendons due to its distinct expression in the developing tendon sheath . This antibody detects the 19-20 kDa TPPP3 in HeLa and PC-3 cells. The non-specific bands between 40 and 60 kDa were also occasionally observed.
-
Molecular Weight
- 19 kDa
-
Gene ID
- 67971
-
NCBI Accession
- NP_080757
-
UniProt
- Q9CRB6
Target
-