×
For best experience we recommend to activate Javascript in your browser.
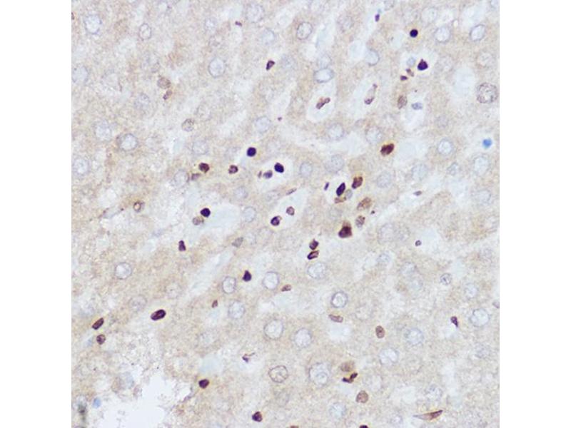
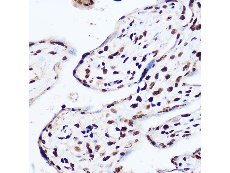
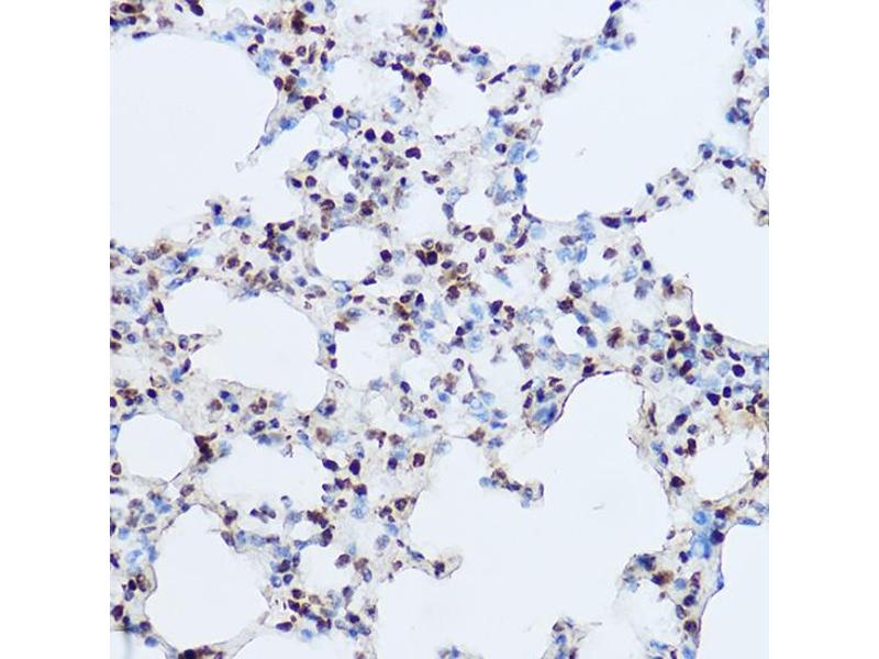
OGT antibody (AA 857-1036)
The Rabbit Polyclonal anti-OGT antibody (ABIN3022708) specifically detects OGT in WB, IHC and IF.
The antibody is reactive with Human samples.
Catalog No. ABIN3022708
$383.00
Plus shipping costs $50.00
20 μL ABIN6219152
100 μL ABIN3022708
500 μL ABIN3022709
1000 μL ABIN3022707
20 μL ABIN6219152
100 μL ABIN3022708
500 μL ABIN3022709
1000 μL ABIN3022707
Delivery in 7 to 10 Business Days
Quick Overview for OGT antibody (AA 857-1036) (ABIN3022708)
Target
See all OGT Antibodies
OGT
(O-Linked N-Acetylglucosamine (GlcNAc) Transferase (UDP-N-Acetylglucosamine:polypeptide-N-Acetylglucosaminyl Transferase) (OGT))
Reactivity
All reactivities for OGT antibodies
Human
Host
All hosts for OGT antibodies
Rabbit
Clonality
All clonalities for OGT antibodies
Polyclonal
Conjugate
All conjugates for OGT antibodies
This OGT antibody is un-conjugated
Application
All applications for OGT antibodies
Western Blotting (WB), Immunohistochemistry (IHC), Immunofluorescence (IF)
Product Details anti-OGT Antibody
(hide)
Binding Specificity
All epitopes for OGT antibodies
AA 857-1036
Sequence
RVPNSVLWLL RFPAVGEPNI QQYAQNMGLP QNRIIFSPVA PKEEHVRRGQ LADVCLDTPL CNGHTTGMDV LWAGTPMVTM PGETLASRVA ASQLTCLGCL ELIAKNRQEY EDIAVKLGTD LEYLKKVRGK VWKQRISSPL FNTKQYTMEL ERLYLQMWEH YAAGNKPDHM IKPVEVTESA
Cross-Reactivity
Human, Mouse, Rat
Characteristics
Polyclonal Antibodies
Immunogen
Recombinant fusion protein containing a sequence corresponding to amino acids 857-1036 of human OGT (NP_858059.1).
Isotype
IgG
Alternatives
(show)
Application Details
(hide)
Application Notes
WB,1:500 - 1:2000,IHC,1:50 - 1:200,IF,1:50 - 1:200
Restrictions
For Research Use only
Handling
(hide)
Buffer
PBS with 0.02 % sodium azide,50 % glycerol, pH 7.3.
Preservative
Sodium azide
Precaution of Use
This product contains Sodium azide: a POISONOUS AND HAZARDOUS SUBSTANCE which should be handled by trained staff only.
Storage
-20 °C
Storage Comment
Store at -20°C. Avoid freeze / thaw cycles.
Target Details for OGT
(hide)
Target
OGT
(O-Linked N-Acetylglucosamine (GlcNAc) Transferase (UDP-N-Acetylglucosamine:polypeptide-N-Acetylglucosaminyl Transferase) (OGT))
Alternative Name
OGT
Background
This gene encodes a glycosyltransferase that catalyzes the addition of a single N-acetylglucosamine in O-glycosidic linkage to serine or threonine residues. Since both phosphorylation and glycosylation compete for similar serine or threonine residues, the two processes may compete for sites, or they may alter the substrate specificity of nearby sites by steric or electrostatic effects. The protein contains multiple tetratricopeptide repeats that are required for optimal recognition of substrates. Alternatively spliced transcript variants encoding distinct isoforms have been found for this gene.,OGT,HINCUT-1,HRNT1,O-GLCNAC,MRX106,OGT1,Signal Transduction,Neuroscience,Neurodegenerative Diseases,Amyloid Plaque and Neurofibrillary Tangle Formation in Alzheimer's Disease,OGT
Molecular Weight
74 kDa/103 kDa/115 kDa/116 kDa
Gene ID
8473
UniProt
O15294
Pathways
Regulation of Carbohydrate Metabolic Process
Recently viewed
(hide)
You are here:
Homepage
anti-OGT antibody (AA 857-1036) (ABIN3022708)
Chat with us , powered by LiveChat