Phone:
+1 877 302 8632
Fax:
+1 888 205 9894 (Toll-free)
E-Mail:
orders@antibodies-online.com

APOC3 antibody (C-Term)

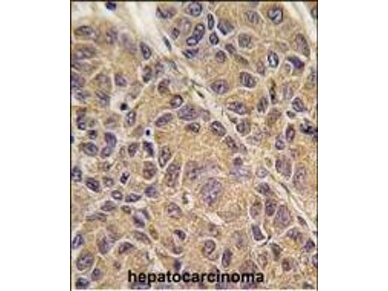
The Rabbit Polyclonal anti-APOC3 antibody (Clone RB15169) (ABIN6242164) specifically detects APOC3 in WB and IHC (p). The antibody is reactive with Human samples.
Catalog No. ABIN6242164
$451.00
Plus shipping costs $50.00
Shipping to: United States
Delivery in 10 to 12 Business Days

Quick Overview for APOC3 antibody (C-Term) (ABIN6242164)

Target

See all APOC3 Antibodies
APOC3 (Apolipoprotein C-III (APOC3))

Reactivity

  • 57
  • 34
  • 29
Human

Host

  • 66
  • 12
  • 6
Rabbit

Clonality

  • 67
  • 17
Polyclonal

Conjugate

  • 33
  • 10
  • 7
  • 5
  • 2
  • 2
  • 2
  • 2
  • 2
  • 2
  • 2
  • 2
  • 1
  • 1
  • 1
  • 1
  • 1
  • 1
  • 1
  • 1
  • 1
  • 1
  • 1
  • 1
  • 1
  • 1
This APOC3 antibody is un-conjugated

Application

  • 60
  • 30
  • 30
  • 14
  • 14
  • 12
  • 8
  • 7
  • 5
  • 5
  • 4
  • 3
  • 2
  • 2
  • 1
Western Blotting (WB), Immunohistochemistry (Paraffin-embedded Sections) (IHC (p))

Clone

RB15169
  • Binding Specificity

    • 15
    • 10
    • 6
    • 4
    • 2
    • 1
    • 1
    • 1
    • 1
    AA 70-99, C-Term

    Purification

    This antibody is prepared by Saturated Ammonium Sulfate (SAS) precipitation followed by dialysis against PBS.

    Immunogen

    This APOC3 antibody is generated from rabbits immunized with a KLH conjugated synthetic peptide between 70~99 amino acids from the C-term region of human APOC3.

    Isotype

    Ig Fraction
  • Application Notes

    WB: 1:2000. IHC-P: 1:10~50

    Restrictions

    For Research Use only
  • Format

    Liquid

    Buffer

    Purified polyclonal antibody supplied in PBS with 0.09 % (W/V) sodium azide.

    Preservative

    Sodium azide

    Precaution of Use

    This product contains Sodium azide: a POISONOUS AND HAZARDOUS SUBSTANCE which should be handled by trained staff only.

    Storage

    4 °C,-20 °C

    Expiry Date

    6 months
  • Target

    APOC3 (Apolipoprotein C-III (APOC3))

    Alternative Name

    APOC3

    Background

    Apolipoprotein C-III is a very low density lipoprotein (VLDL) protein. APOC3 inhibits lipoprotein lipase and hepatic lipase, it is thought to delay catabolism of triglyceride-rich particles. The APOA1, APOC3 and APOA4 genes are closely linked in both rat and human genomes. The A-I and A-IV genes are transcribed from the same strand, while the A-1 and C-III genes are convergently transcribed. An increase in apoC-III levels induces the development of hypertriglyceridemia.

    Molecular Weight

    10852

    NCBI Accession

    NP_000031

    UniProt

    P02656

    Pathways

    Carbohydrate Homeostasis, Lipid Metabolism
You are here:
Chat with us!