Phone:
+1 877 302 8632
Fax:
+1 888 205 9894 (Toll-free)
E-Mail:
orders@antibodies-online.com

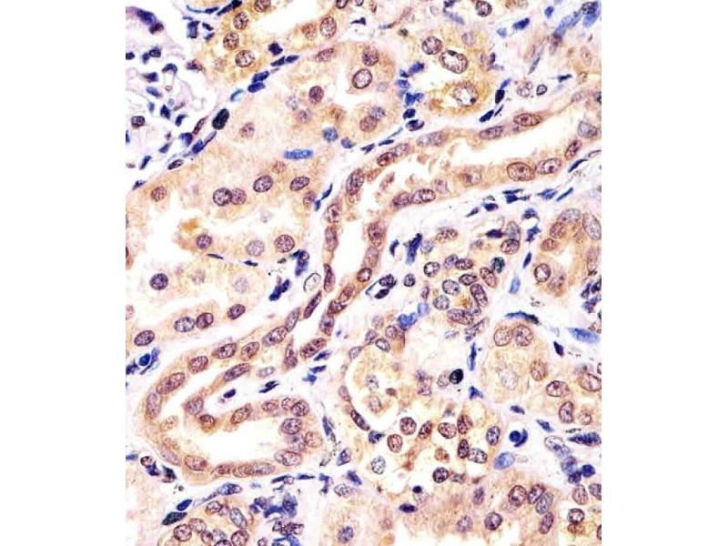
KCTD11 antibody (AA 21-53)

The Rabbit Polyclonal anti-KCTD11 antibody is suitable to detect KCTD11 in samples from Human and Mouse. It has been validated for WB and IHC (p).
Catalog No. ABIN6242571
$451.00
Plus shipping costs $50.00
Shipping to: United States
Delivery in 10 to 12 Business Days

Quick Overview for KCTD11 antibody (AA 21-53) (ABIN6242571)

Target

See all KCTD11 Antibodies
KCTD11 (Potassium Channel Tetramerisation Domain Containing 11 (KCTD11))

Reactivity

  • 23
  • 19
  • 17
  • 2
  • 2
  • 2
  • 2
  • 2
  • 1
  • 1
  • 1
Human, Mouse

Host

  • 22
  • 1
Rabbit

Clonality

  • 23
Polyclonal

Conjugate

  • 9
  • 1
  • 1
  • 1
  • 1
  • 1
  • 1
  • 1
  • 1
  • 1
  • 1
  • 1
  • 1
  • 1
  • 1
This KCTD11 antibody is un-conjugated

Application

  • 23
  • 13
  • 3
  • 2
  • 1
Western Blotting (WB), Immunohistochemistry (Paraffin-embedded Sections) (IHC (p))

Clone

RB54391
You are here:
Chat with us!