Phone:
+1 877 302 8632
Fax:
+1 888 205 9894 (Toll-free)
E-Mail:
orders@antibodies-online.com

Dihydrofolate Reductase antibody (N-Term)

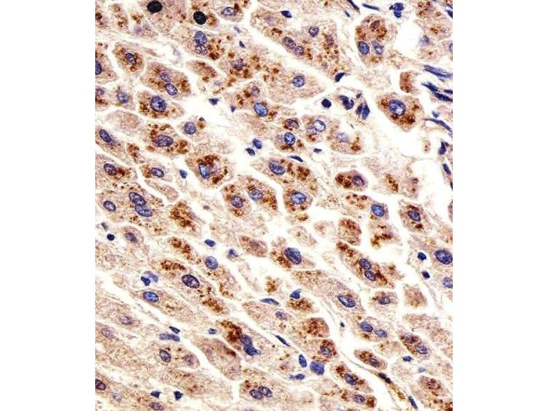
The Rabbit Polyclonal anti-Dihydrofolate Reductase antibody (Clone RB49346) (ABIN6242878) specifically detects Dihydrofolate Reductase in WB and IHC (p). The antibody is reactive with Human, Mouse and Rat samples.
Catalog No. ABIN6242878
$451.00
Plus shipping costs $50.00
Shipping to: United States
Delivery in 10 to 12 Business Days

Quick Overview for Dihydrofolate Reductase antibody (N-Term) (ABIN6242878)

Target

See all Dihydrofolate Reductase (DHFR) Antibodies
Dihydrofolate Reductase (DHFR)

Reactivity

  • 63
  • 33
  • 29
  • 1
  • 1
Human, Mouse, Rat

Host

  • 57
  • 9
  • 1
Rabbit

Clonality

  • 43
  • 24
Polyclonal

Conjugate

  • 35
  • 4
  • 3
  • 2
  • 2
  • 2
  • 2
  • 2
  • 2
  • 2
  • 1
  • 1
  • 1
  • 1
  • 1
  • 1
  • 1
  • 1
  • 1
  • 1
  • 1
This Dihydrofolate Reductase antibody is un-conjugated

Application

  • 43
  • 27
  • 15
  • 15
  • 11
  • 11
  • 8
  • 6
  • 3
  • 2
Western Blotting (WB), Immunohistochemistry (Paraffin-embedded Sections) (IHC (p))

Clone

RB49346
  • Binding Specificity

    • 7
    • 6
    • 3
    • 3
    • 2
    • 1
    • 1
    AA 16-30, N-Term

    Predicted Reactivity

    B, Pig

    Purification

    This antibody is purified through a protein A column, followed by peptide affinity purification.

    Immunogen

    This DHFR antibody is generated from a rabbit immunized with a KLH conjugated synthetic peptide between 16-30 amino acids from the N-terminal region of human DHFR.

    Isotype

    Ig Fraction
  • Application Notes

    WB: 1:1000. IHC-P: 1:25. IHC-P: 1:25

    Restrictions

    For Research Use only
  • Format

    Liquid

    Buffer

    Purified polyclonal antibody supplied in PBS with 0.09 % (W/V) sodium azide.

    Preservative

    Sodium azide

    Precaution of Use

    This product contains Sodium azide: a POISONOUS AND HAZARDOUS SUBSTANCE which should be handled by trained staff only.

    Storage

    4 °C,-20 °C

    Expiry Date

    6 months
  • Target

    Dihydrofolate Reductase (DHFR)

    Alternative Name

    DHFR

    Background

    Key enzyme in folate metabolism. Contributes to the de novo mitochondrial thymidylate biosynthesis pathway. Catalyzes an essential reaction for de novo glycine and purine synthesis, and for DNA precursor synthesis. Binds its own mRNA and that of DHFRL1.

    Molecular Weight

    21453

    UniProt

    P00374

    Pathways

    Mitotic G1-G1/S Phases
You are here:
Chat with us!