Phone:
+1 877 302 8632
Fax:
+1 888 205 9894 (Toll-free)
E-Mail:
orders@antibodies-online.com

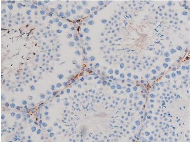
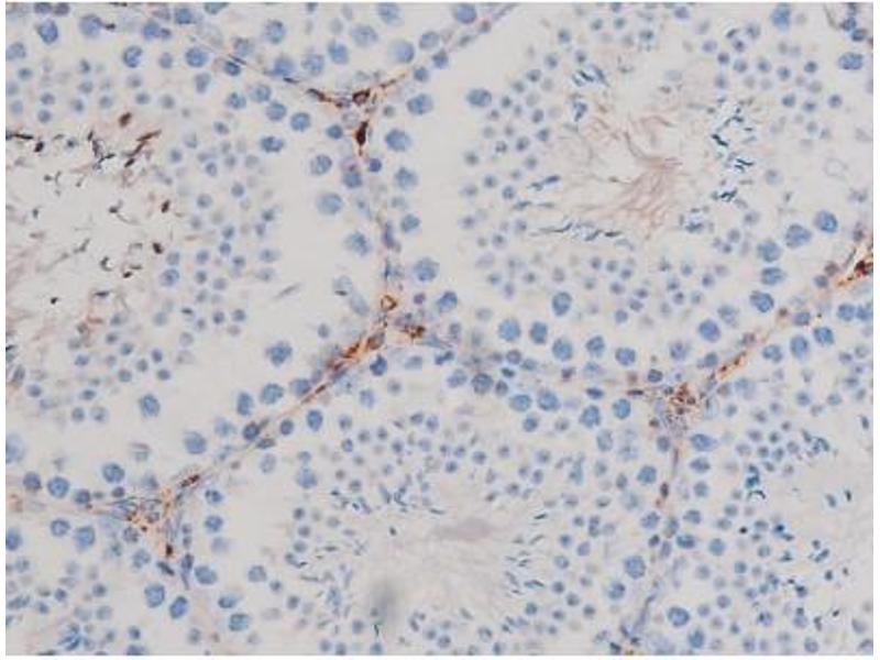
CDC25B antibody (pSer323)

The Rabbit Polyclonal anti-CDC25B antibody (ABIN6256270) specifically detects CDC25B in WB, ELISA, IHC, IF and ICC. The antibody is reactive with Human, Mouse and Rat samples.
Catalog No. ABIN6256270
$494.77
Plus shipping costs $50.00
Shipping to: United States
Delivery in 11 to 13 Business Days

Quick Overview for CDC25B antibody (pSer323) (ABIN6256270)

Target

See all CDC25B Antibodies
CDC25B (Cell Division Cycle 25 Homolog B (S. Pombe) (CDC25B))

Reactivity

  • 156
  • 121
  • 55
  • 7
  • 7
  • 4
  • 4
  • 3
  • 3
  • 2
Human, Mouse, Rat

Host

  • 210
  • 2
Rabbit

Clonality

  • 190
  • 22
Polyclonal

Conjugate

  • 80
  • 16
  • 11
  • 10
  • 5
  • 5
  • 5
  • 5
  • 5
  • 5
  • 5
  • 5
  • 5
  • 5
  • 5
  • 5
  • 5
  • 5
  • 5
  • 5
  • 5
  • 4
  • 4
  • 1
  • 1
This CDC25B antibody is un-conjugated

Application

  • 180
  • 74
  • 52
  • 52
  • 42
  • 29
  • 16
  • 13
  • 12
  • 6
  • 4
  • 3
  • 2
Western Blotting (WB), ELISA, Immunohistochemistry (IHC), Immunofluorescence (IF), Immunocytochemistry (ICC)
  • Binding Specificity

    • 28
    • 26
    • 23
    • 15
    • 15
    • 9
    • 9
    • 8
    • 8
    • 7
    • 6
    • 4
    • 3
    • 3
    • 2
    • 2
    • 2
    • 2
    • 1
    • 1
    • 1
    • 1
    • 1
    • 1
    • 1
    • 1
    • 1
    • 1
    • 1
    • 1
    • 1
    • 1
    • 1
    • 1
    • 1
    pSer323

    Specificity

    Phospho-CDC25B (Ser323) Antibody detects endogenous levels of CDC25B only when phosphorylated at Serine 323.

    Predicted Reactivity

    Pig,Zebrafish,Bovine,Horse,Sheep,Dog,Xenopus

    Purification

    The antibody is from purified rabbit serum by affinity purification via sequential chromatography on phospho- and non-phospho-peptide affinity columns.

    Immunogen

    A synthesized peptide derived from human CDC25B around the phosphorylation site of Ser323.

    Isotype

    IgG
  • Application Notes

    WB 1:500-1:2000, IHC 1:50-1:200, IF/ICC 1:100-1:500, ELISA(peptide) 1:20000-1:40000

    Restrictions

    For Research Use only
  • Format

    Liquid

    Concentration

    1 mg/mL

    Buffer

    Rabbit IgG in phosphate buffered saline , pH 7.4, 150 mM NaCl, 0.02 % sodium azide and 50 % glycerol.

    Preservative

    Sodium azide

    Precaution of Use

    This product contains Sodium azide: a POISONOUS AND HAZARDOUS SUBSTANCE which should be handled by trained staff only.

    Storage

    -20 °C

    Storage Comment

    Store at -20 °C. Stable for 12 months from date of receipt.

    Expiry Date

    12 months
  • Target

    CDC25B (Cell Division Cycle 25 Homolog B (S. Pombe) (CDC25B))

    Alternative Name

    CDC25B

    Background

    Description: Tyrosine protein phosphatase which functions as a dosage-dependent inducer of mitotic progression. Required for G2/M phases of the cell cycle progression and abscission during cytokinesis in a ECT2-dependent manner. Directly dephosphorylates CDK1 and stimulates its kinase activity. The three isoforms seem to have a different level of activity.

    Gene: CDC25B

    Molecular Weight

    62kDa

    Gene ID

    994

    UniProt

    P30305

    Pathways

    Cell Division Cycle, M Phase, Autophagy
You are here:
Chat with us!