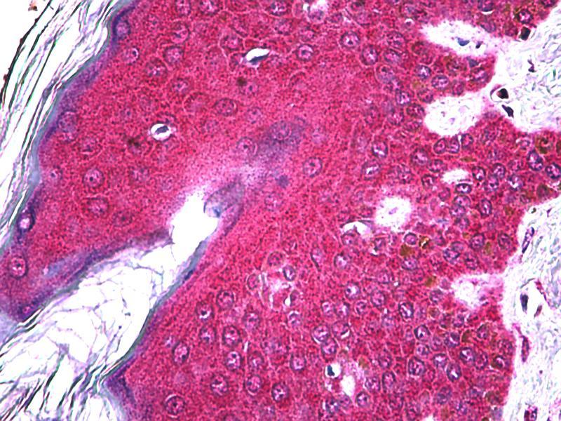
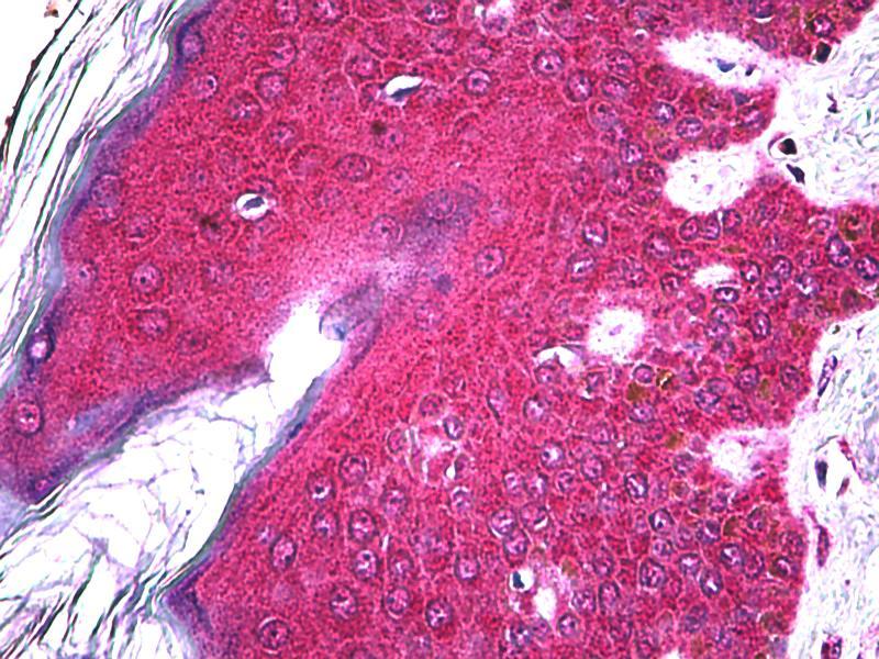
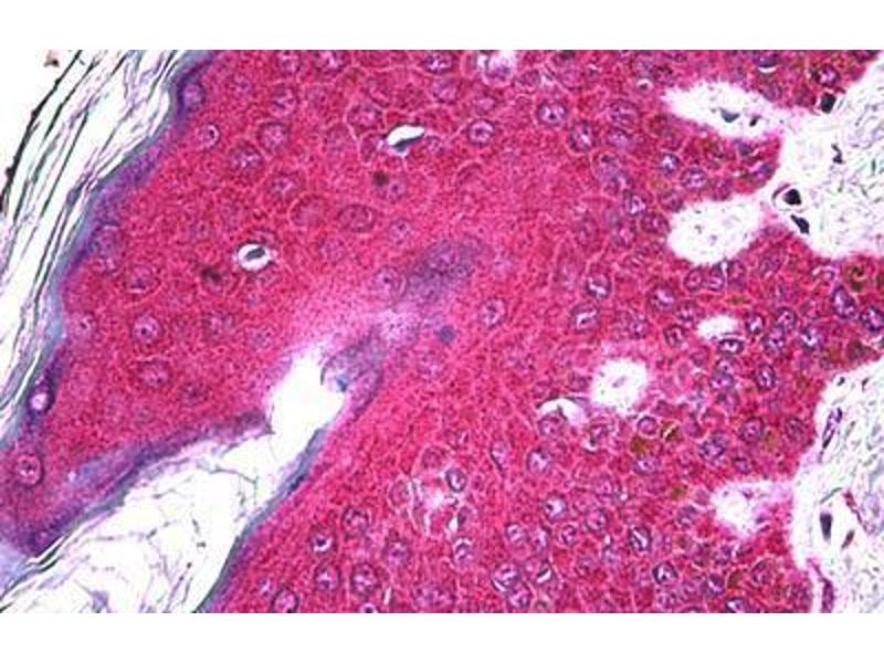
FGFR2 antibody (AA 621-724)
Quick Overview for FGFR2 antibody (AA 621-724) (ABIN626049)
Target
See all FGFR2 AntibodiesReactivity
Host
Clonality
Conjugate
Application
Clone
-
-
Binding Specificity
- AA 621-724
-
Specificity
- Human FGFR2
-
Purification
- Purified from ascites by Protein A
-
Immunogen
-
FGFR2 (AAH39243, 621 a.a. ~ 724 a.a) partial recombinant protein with GST tag. MW of the GST tag alone is 26 KDa.
Type of Immunogen: Recombinant protein -
Isotype
- IgG2b kappa
-
-
-
-
Application Notes
-
Approved: ELISA, IHC, IHC-P (5 μg/mL), WB
Usage: Immunohistochemistry: Formalin-fixed paraffin-embedded sections. Sandwich ELISA: Recombinant protein. Western Blot performed with the recombinant protein used as the immunogen. -
Comment
-
Target Species of Antibody: Human
-
Restrictions
- For Research Use only
-
-
-
Format
- Liquid
-
Concentration
- Lot specific
-
Buffer
- PBS, pH 7.4
-
Handling Advice
- avoid freeze thaw cycles.
-
Storage
- 4 °C,-20 °C
-
Storage Comment
- Short term 4°C, long term aliquot and store at -20°C, avoid freeze-thaw cycles.
-
-
- FGFR2 (Fibroblast Growth Factor Receptor 2 (FGFR2))
-
Alternative Name
- FGF Receptor / FGFR2
-
Background
-
Name/Gene ID: FGFR2
Subfamily: FGF Receptor
Family: Protein Kinase
Synonyms: FGFR2, BEK, BBDS, Bacteria-expressed kinase, CD332 antigen, CFD1, Craniofacial dysostosis 1, CEK3, Fgf bek, FGF receptor, Hydroxyaryl-protein kinase, Jackson-Weiss syndrome, JWS, FGF Receptor 2, KSAM, KGFR, Soluble FGFR4 variant 4, BFR-1, TK14, TK25, CD332, ECT1, K-SAM -
Gene ID
- 2263
-
UniProt
- P21802
-
Pathways
- RTK Signaling, Fc-epsilon Receptor Signaling Pathway, EGFR Signaling Pathway, Neurotrophin Signaling Pathway, Regulation of Muscle Cell Differentiation, Skeletal Muscle Fiber Development, Growth Factor Binding
Target
-