GALT antibody (AA 1-380)
Quick Overview for GALT antibody (AA 1-380) (ABIN626051)
Target
See all GALT AntibodiesReactivity
Host
Clonality
Conjugate
Application
Clone
-
-
Binding Specificity
- AA 1-380
-
Specificity
- Human GALT
-
Purification
- Purified from ascites by Protein A
-
Immunogen
-
GALT (AAH15045, 1 a.a. ~ 380 a.a) full length recombinant protein with GST tag. MW of the GST tag alone is 26 KDa.
Type of Immunogen: Recombinant protein -
Isotype
- IgG2a kappa
-
-
-
-
Application Notes
-
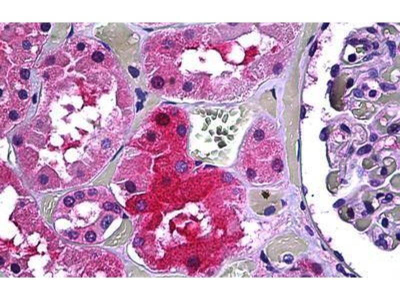
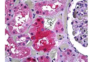
Approved: ELISA, IHC, IHC-P (10 μg/mL), WB
Usage: Immunohistochemistry: Formalin-fixed paraffin-embedded sections. Sandwich ELISA: Recombinant protein. Western Blot using cell lysates, transfected lysate and the recombinant protein used as the immunogen. -
Comment
-
Target Species of Antibody: Human
-
Restrictions
- For Research Use only
-
-
-
Format
- Liquid
-
Concentration
- Lot specific
-
Buffer
- PBS, pH 7.4
-
Handling Advice
- avoid freeze thaw cycles.
-
Storage
- 4 °C,-20 °C
-
Storage Comment
- Short term 4°C, long term aliquot and store at -20°C, avoid freeze-thaw cycles.
-
-
- GALT (Galactose-1-Phosphate Uridylyltransferase (GALT))
-
Alternative Name
- GALT
-
Background
-
Name/Gene ID: GALT
Synonyms: GALT, Gal-1-P uridylyltransferase -
Gene ID
- 2592
-
UniProt
- P07902
Target
-