USP33 antibody (AA 327-427)
Quick Overview for USP33 antibody (AA 327-427) (ABIN626093)
Target
See all USP33 AntibodiesReactivity
Host
Clonality
Conjugate
Application
Clone
-
-
Binding Specificity
- AA 327-427
-
Specificity
- Human USP33
-
Purification
- Purified from ascites by Protein A
-
Immunogen
-
USP33 (NP_055832, 327 a.a. ~ 427 a.a) partial recombinant protein with GST tag. MW of the GST tag alone is 26 KDa.
Type of Immunogen: Recombinant protein -
Isotype
- IgG1 kappa
-
-
-
-
Application Notes
-
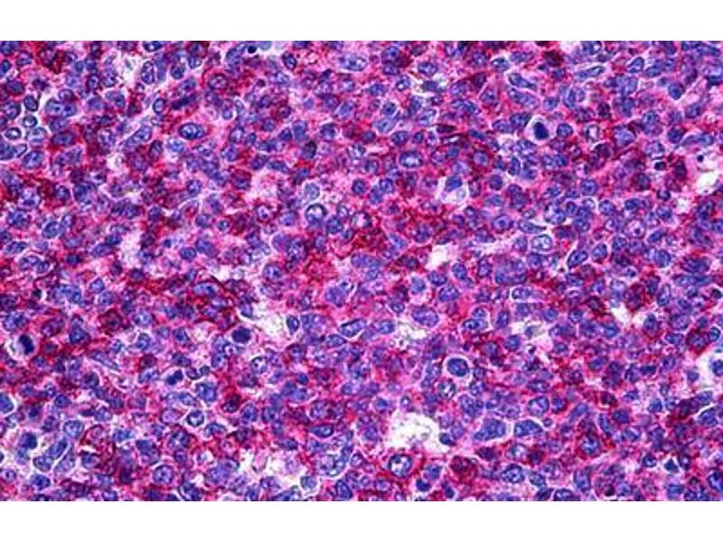
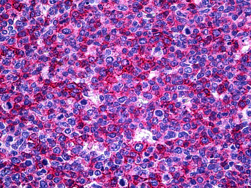
Approved: ELISA, IF (20 μg/mL), IHC, IHC-P (5 μg/mL), IP, WB (1:500 - 1:1000)
Usage: Immunohistochemistry: Formalin-fixed paraffin-embedded sections. Sandwich ELISA: Recombinant protein. Western Blot: Transfected lysate, Recombinant protein. -
Comment
-
Target Species of Antibody: Human
-
Restrictions
- For Research Use only
-
-
-
Format
- Liquid
-
Concentration
- Lot specific
-
Buffer
- PBS, pH 7.4. Sourced in Ascites.
-
Handling Advice
- avoid freeze thaw cycles.
-
Storage
- 4 °C,-20 °C
-
Storage Comment
- Short term 4°C, long term aliquot and store at -20°C, avoid freeze-thaw cycles.
-
-
- USP33 (Ubiquitin Specific Peptidase 33 (USP33))
-
Alternative Name
- USP33 / VDU1
-
Background
-
Name/Gene ID: USP33
Subfamily: Cysteine C19
Family: Protease
Synonyms: USP33, Deubiquitinating enzyme 33, KIAA1097, HVDU1, VDU1, Ubiquitin thioesterase 33, Ubiquitin thiolesterase 33, Ubiquitin specific protease 33 -
Gene ID
- 23032
-
NCBI Accession
- NP_055832
-
UniProt
- Q8TEY7
-
Pathways
- Regulation of G-Protein Coupled Receptor Protein Signaling
Target
-