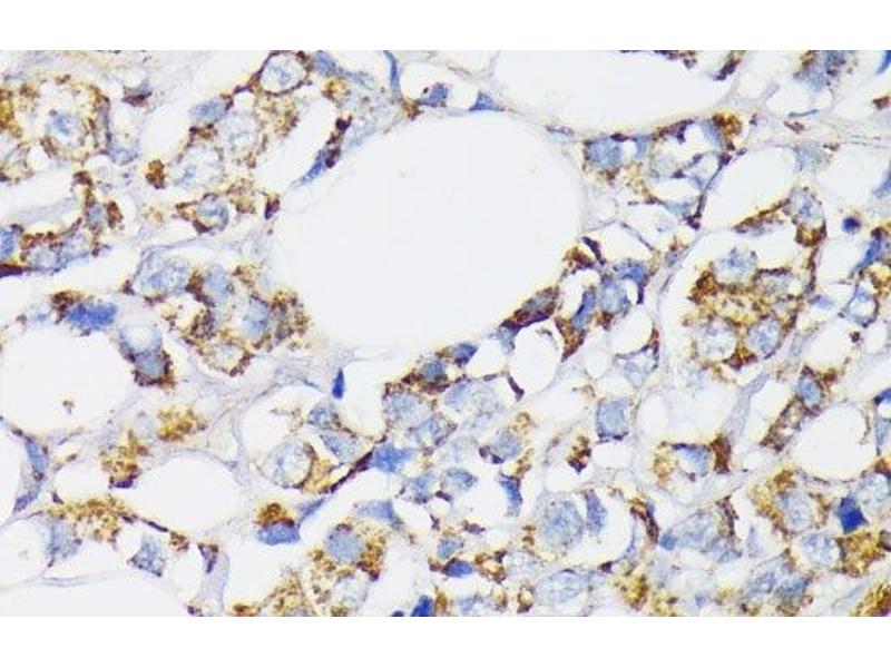
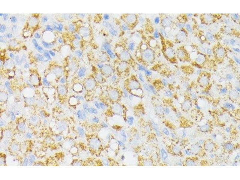
USP33 antibody
Quick Overview for USP33 antibody (ABIN7258976)
Target
See all USP33 AntibodiesReactivity
Host
Clonality
Conjugate
Application
-
-
Characteristics
- Polyclonal Antibody
-
Purification
- Affinity purification
-
Immunogen
- Recombinant fusion protein of human USP33 (NP_963920.1).
-
Isotype
- IgG
-
-
-
-
Application Notes
- WB 1:500-1:2000 IHC 1:50-1:200 IF 1:50-1:100
-
Restrictions
- For Research Use only
-
-
-
Format
- Liquid
-
Concentration
- 1 mg/mL
-
Buffer
- PBS with 0.02 % sodium azide, 50 % glycerol, pH 7.3
-
Preservative
- Sodium azide
-
Precaution of Use
- This product contains Sodium azide: a POISONOUS AND HAZARDOUS SUBSTANCE which should be handled by trained staff only.
-
Storage
- -20 °C
-
Storage Comment
- Store at -20°C. Avoid freeze / thaw cycles.
-
-
- USP33 (Ubiquitin Specific Peptidase 33 (USP33))
-
Alternative Name
- USP33
-
Background
- This gene encodes a deubiquinating enzyme important in a variety of processes, including Slit-dependent cell migration and beta-2 adrenergic receptor signaling. The protein is negatively regulated through ubiquitination by von Hippel-Lindau tumor protein (VHL). Alternative splicing results in multiple transcript variants and protein isoforms.
-
Molecular Weight
-
Observed_MW: 107 kDa
Calculated_MW: 93 kDa/103 kDa/106 kDa
-
Gene ID
- 23032
-
UniProt
- Q8TEY7
-
Pathways
- Regulation of G-Protein Coupled Receptor Protein Signaling
Target
-