HIPK2 antibody (AA 961-1065)
Quick Overview for HIPK2 antibody (AA 961-1065) (ABIN626101)
Target
See all HIPK2 AntibodiesReactivity
Host
Clonality
Conjugate
Application
Clone
-
-
Binding Specificity
- AA 961-1065
-
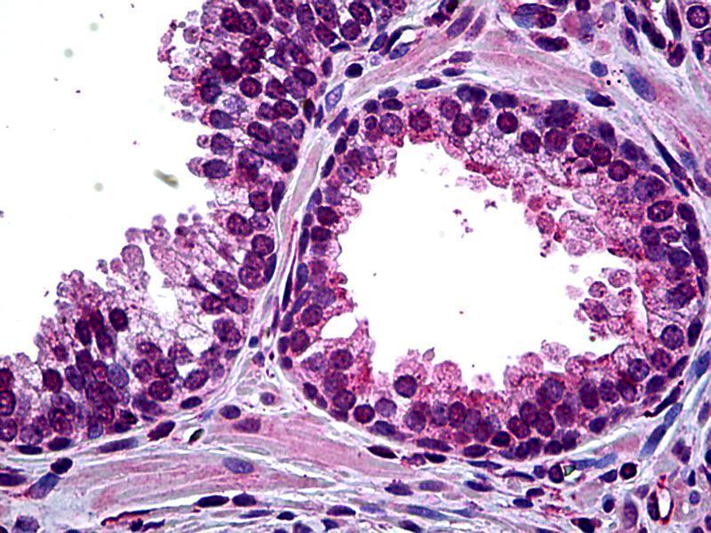
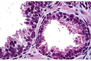
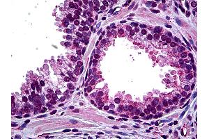
Specificity
- Human HIPK2
-
Purification
- Purified from ascites by Protein A
-
Immunogen
-
HIPK2 (AAG41236, 961 a.a. ~ 1065 a.a) partial recombinant protein with GST tag. MW of the GST tag alone is 26 KDa.
Type of Immunogen: Recombinant protein -
Isotype
- IgG2a kappa
-
-
-
-
Application Notes
-
Approved: ELISA, IHC, IHC-P (5 μg/mL), WB (1:500 - 1:1000)
Usage: Immunohistochemistry: Formalin-fixed paraffin-embedded sections. Sandwich ELISA: Recombinant protein. Western Blot: Cell lysate, Cell lysate. -
Comment
-
Target Species of Antibody: Human
-
Restrictions
- For Research Use only
-
-
-
Format
- Liquid
-
Concentration
- Lot specific
-
Buffer
- PBS, pH 7.4. Sourced in Ascites.
-
Handling Advice
- avoid freeze thaw cycles.
-
Storage
- 4 °C,-20 °C
-
Storage Comment
- Short term 4°C, long term aliquot and store at -20°C, avoid freeze-thaw cycles.
-
-
- HIPK2 (Homeodomain Interacting Protein Kinase 2 (HIPK2))
-
Alternative Name
- HIPK2
-
Background
-
Name/Gene ID: HIPK2
Subfamily: MNB/DYRK
Family: Protein Kinase
Synonyms: HIPK2, HHIPk2, PRO0593, Stank -
Gene ID
- 28996
-
UniProt
- Q9H2X6
-
Pathways
- Cell Division Cycle
Target
-