ADH4 antibody
Quick Overview for ADH4 antibody (ABIN629764)
Target
See all ADH4 AntibodiesReactivity
Host
Clonality
Conjugate
Application
-
-
Purification
- Purified
-
Immunogen
- ADH4 antibody was raised using a synthetic peptide corresponding to a region with amino acids NSEKFVKAKALGATDCLNPRDLHKPIQEVIIELTKGGVDFALDCAGGSET
-
-
-
-
Application Notes
-
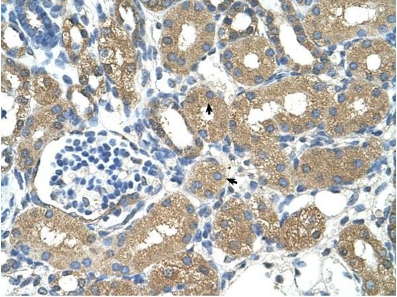
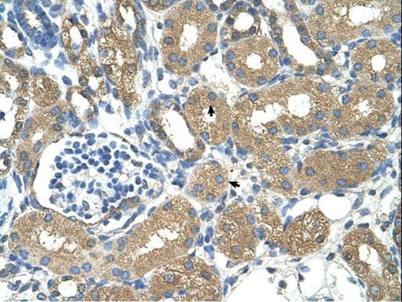
WB: 1.25 µg/mL, IHC: 4-8 µg/mL
Optimal conditions should be determined by the investigator. -
Comment
-
ADH4 Blocking Peptide, (ABIN5611950), is also available for use as a blocking control in assays to test for specificity of this ADH4 antibody
-
Restrictions
- For Research Use only
-
-
-
Format
- Lyophilized
-
Reconstitution
- Lyophilized powder. Add distilled water for a 1 mg/mL concentration of ADH4 antibody in PBS
-
Concentration
- Lot specific
-
Buffer
- PBS
-
Handling Advice
- Avoid repeated freeze/thaw cycles.
-
Storage
- 4 °C/-20 °C
-
Storage Comment
- Store at 2-8 °C for short periods. For longer periods of storage, store at -20 °C.
-
-
- ADH4 (Alcohol Dehydrogenase 4 (Class II), pi Polypeptide (ADH4))
-
Alternative Name
- ADH4
-
Background
- ADH4, class II alcohol dehydrogenase 4 pi subunit, which is a member of the alcohol dehydrogenase family. Members of this enzyme family metabolize a wide variety of substrates, including ethanol, retinol, other aliphatic alcohols, hydroxysteroids, and lipid peroxidation products. Class II alcohol dehydrogenase is a homodimer composed of 2 pi subunits. It exhibits a high activity for oxidation of long-chain aliphatic alcohols and aromatic alcohols and is less sensitive to pyrazole.
-
Molecular Weight
- 42 kDa (MW of target protein)
-
Pathways
- Transition Metal Ion Homeostasis
Target
-