EIF4H antibody (Middle Region)
Quick Overview for EIF4H antibody (Middle Region) (ABIN629926)
Target
See all EIF4H AntibodiesReactivity
Host
Clonality
Conjugate
Application
-
-
Binding Specificity
- Middle Region
-
Specificity
- WBSCR1 antibody was raised against the middle region of Wbscr1
-
Purification
- Purified
-
Immunogen
- WBSCR1 antibody was raised using the middle region of Wbscr1 corresponding to a region with amino acids DSRDDFNSGFRDDFLGGRGGSRPGDRRTGPPMGSRFRDGPPLRGSNMDFR
-
-
-
-
Application Notes
-
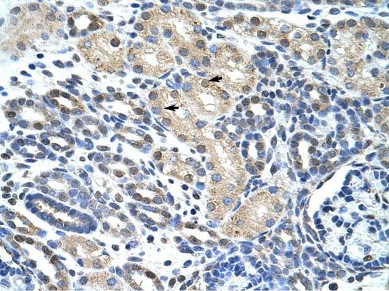
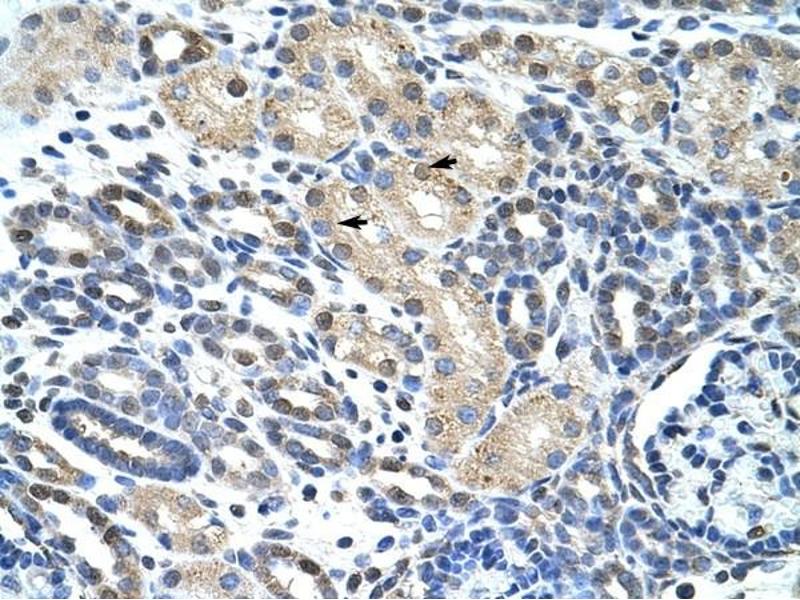
WB: 2.5 µg/mL, IHC: 4-8 µg/mL
Optimal conditions should be determined by the investigator. -
Comment
-
WBSCR1 Blocking Peptide, (ABIN937564), is also available for use as a blocking control in assays to test for specificity of this WBSCR1 antibody
-
Restrictions
- For Research Use only
-
-
-
Format
- Lyophilized
-
Reconstitution
- Lyophilized powder. Add distilled water for a 1 mg/mL concentration of WBSCR1 antibody in PBS
-
Concentration
- Lot specific
-
Buffer
- PBS
-
Handling Advice
-
Avoid repeated freeze/thaw cycles.
Dilute only prior to immediate use. -
Storage
- 4 °C/-20 °C
-
Storage Comment
- Store at 2-8 °C for short periods. For longer periods of storage, store at -20 °C.
-
-
- EIF4H (Eukaryotic Translation Initiation Factor 4H (EIF4H))
-
Alternative Name
- WBSCR1
-
Background
- WBSCR1 is one of the translation initiation factors, which functions to stimulate the initiation of protein synthesis at the level of mRNA utilization.
-
Molecular Weight
- 27 kDa (MW of target protein)
-
Pathways
- SARS-CoV-2 Protein Interactome
Target
-