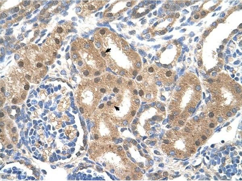
SLC39A6 antibody
Quick Overview for SLC39A6 antibody (ABIN630293)
Target
See all SLC39A6 AntibodiesReactivity
Host
Clonality
Conjugate
Application
-
-
Purification
- Purified
-
Immunogen
- SLC39 A6 antibody was raised using a synthetic peptide corresponding to a region with amino acids RSCLIHTSEKKAEIPPKTYSLQIAWVGGFIAISIISFLSLLGVILVPLMN
-
-
-
-
Application Notes
-
WB: 1.25 µg/mL, IHC: 4-8 µg/mL
Optimal conditions should be determined by the investigator. -
Comment
-
SLC39A6 Blocking Peptide, (ABIN5616250), is also available for use as a blocking control in assays to test for specificity of this SLC39A6 antibody
-
Restrictions
- For Research Use only
-
-
-
Format
- Lyophilized
-
Reconstitution
- Lyophilized powder. Add distilled water for a 1 mg/mL concentration of SLC30 6 antibody in PBS
-
Concentration
- Lot specific
-
Buffer
- PBS
-
Handling Advice
- Avoid repeated freeze/thaw cycles.
-
Storage
- 4 °C/-20 °C
-
Storage Comment
- Store at 2-8 °C for short periods. For longer periods of storage, store at -20 °C.
-
-
- SLC39A6 (Solute Carrier Family 39 (Zinc Transporter), Member 6 (SLC39A6))
-
Alternative Name
- SLC39A6
-
Background
- Zinc is an essential cofactor for hundreds of enzymes. It is involved in protein, nucleic acid, carbohydrate, and lipid metabolism, as well as in the control of gene transcription, growth, development, and differentiation. SLC39A6 belongs to a subfamily of proteins that show structural characteristics of zinc transporters.
-
Molecular Weight
- 48 kDa (MW of target protein)
-
Pathways
- Transition Metal Ion Homeostasis
Target
-