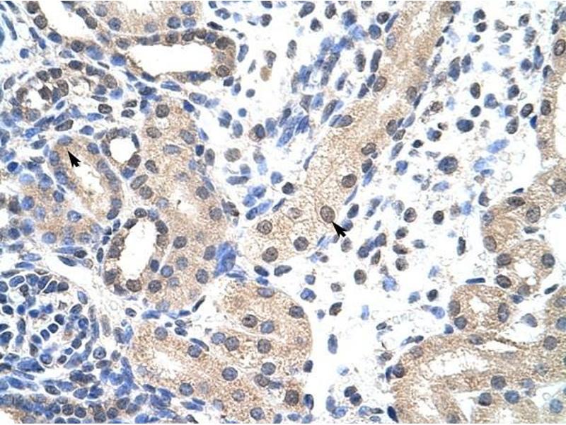
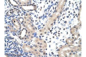
SNRPD1 antibody (N-Term)
Quick Overview for SNRPD1 antibody (N-Term) (ABIN633274)
Target
See all SNRPD1 AntibodiesReactivity
Host
Clonality
Conjugate
Application
-
-
Binding Specificity
- N-Term
-
Specificity
- SNRPD1 antibody was raised against the N terminal of SNRPD1
-
Purification
- Affinity purified
-
Immunogen
- SNRPD1 antibody was raised using the N terminal of SNRPD1 corresponding to a region with amino acids NGTQVHGTITGVDVSMNTHLKAVKMTLKNREPVQLETLSIRGNNIRYFIL
-
-
-
-
Application Notes
-
WB: 0.25 µg/mL, IHC: 4-8 µg/mL
Optimal conditions should be determined by the investigator. -
Comment
-
SNRPD1 Blocking Peptide, (ABIN5616326), is also available for use as a blocking control in assays to test for specificity of this SNRPD1 antibody
-
Restrictions
- For Research Use only
-
-
-
Format
- Lyophilized
-
Reconstitution
- Lyophilized powder. Add distilled water for a 1 mg/mL concentration of SNRPD1 antibody in PBS
-
Concentration
- Lot specific
-
Buffer
- PBS
-
Handling Advice
-
Avoid repeated freeze/thaw cycles.
Dilute only prior to immediate use. -
Storage
- 4 °C/-20 °C
-
Storage Comment
- Store at 2-8 °C for short periods. For longer periods of storage, store at -20 °C.
-
-
- SNRPD1 (Small Nuclear Ribonucleoprotein D1 Polypeptide 16kDa (SNRPD1))
-
Alternative Name
- SNRPD1
-
Background
- SNRPD1 is a small nuclear ribonucleoprotein that belongs to the SNRNP core protein family. The protein may act as a charged protein scaffold to promote SNRNP assembly or strengthen SNRNP-SNRNP interactions through nonspecific electrostatic contacts with RNA.
-
Molecular Weight
- 13 kDa (MW of target protein)
-
Pathways
- Ribonucleoprotein Complex Subunit Organization
Target
-