SNRPD1 antibody (AA 1-100)
Quick Overview for SNRPD1 antibody (AA 1-100) (ABIN7270363)
Target
See all SNRPD1 AntibodiesReactivity
Host
Clonality
Conjugate
Application
-
-
Binding Specificity
- AA 1-100
-
Purpose
- SNRPD1 Rabbit pAb
-
Sequence
- MKLVRFLMKL SHETVTIELK NGTQVHGTIT GVDVSMNTHL KAVKMTLKNR EPVQLETLSI RGNNIRYFIL PDSLPLDTLL VDVEPKVKSK KREAVAGRGR
-
Cross-Reactivity
- Human, Mouse, Rat
-
Characteristics
- Polyclonal Antibodies
-
Purification
- Affinity purification
-
Immunogen
- A synthetic peptide corresponding to a sequence within amino acids 1-100 of human SNRPD1 (NP_008869.1).
-
Isotype
- IgG
-
-
-
-
Application Notes
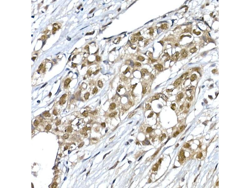
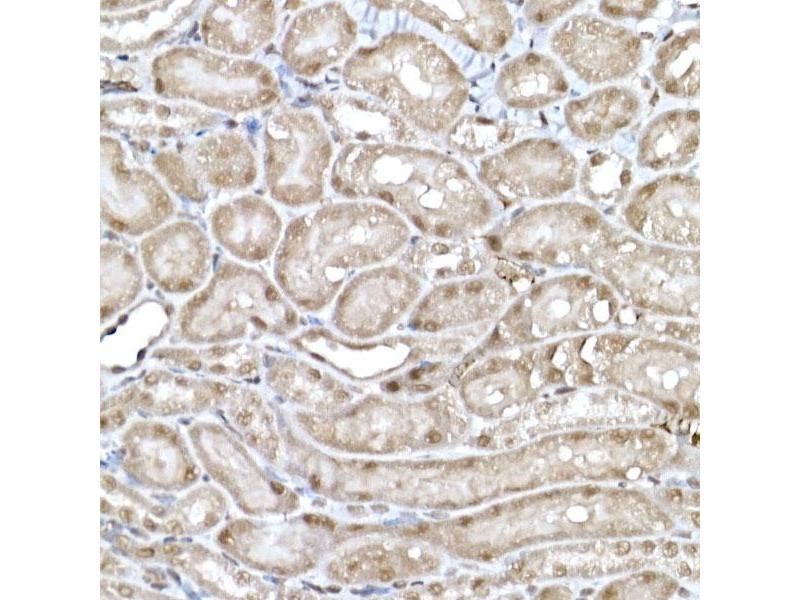
- WB,1:500 - 1:2000,IHC,1:50 - 1:200
-
Restrictions
- For Research Use only
-
-
-
Format
- Liquid
-
Buffer
- PBS with 0.02 % sodium azide,50 % glycerol, pH 7.3.
-
Preservative
- Sodium azide
-
Precaution of Use
- This product contains Sodium azide: a POISONOUS AND HAZARDOUS SUBSTANCE which should be handled by trained staff only.
-
Storage
- -20 °C
-
Storage Comment
- Store at -20°C. Avoid freeze / thaw cycles.
-
-
- SNRPD1 (Small Nuclear Ribonucleoprotein D1 Polypeptide 16kDa (SNRPD1))
-
Alternative Name
- SNRPD1
-
Background
- This gene encodes a small nuclear ribonucleoprotein that belongs to the SNRNP core protein family. The protein may act as a charged protein scaffold to promote SNRNP assembly or strengthen SNRNP-SNRNP interactions through nonspecific electrostatic contacts with RNA. Two transcript variants encoding different isoforms have been found for this gene.,SNRPD1,HsT2456,SMD1,SNRPD,Sm-D1,Epigenetics & Nuclear Signaling,RNA Binding,Immunology & Inflammation,SNRPD1
-
Molecular Weight
- 13kDa
-
Gene ID
- 6632
-
UniProt
- P62314
-
Pathways
- Ribonucleoprotein Complex Subunit Organization
Target
-