ALG11 antibody (C-Term)
Quick Overview for ALG11 antibody (C-Term) (ABIN634990)
Target
See all ALG11 AntibodiesReactivity
Host
Clonality
Conjugate
Application
-
-
Binding Specificity
- C-Term
-
Specificity
- ALG11 antibody was raised against the C terminal of ALG11
-
Purification
- Affinity purified
-
Immunogen
- ALG11 antibody was raised using the C terminal of ALG11 corresponding to a region with amino acids LHTMWNEHFGIGVVECMAAGTIILAHNSGGPKLDIVIPHEGDITGFLAES
-
-
-
-
Application Notes
-
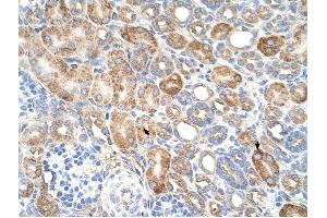
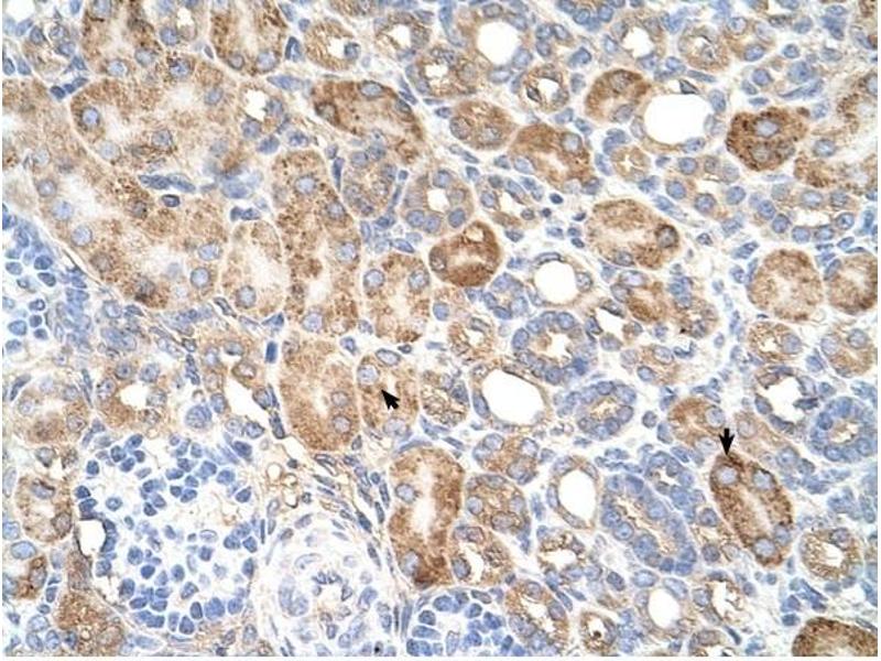
WB: 1 µg/mL, IHC: 4-8 µg/mL
Optimal conditions should be determined by the investigator. -
Comment
-
ALG11 Blocking Peptide, (ABIN940416), is also available for use as a blocking control in assays to test for specificity of this ALG11 antibody
-
Restrictions
- For Research Use only
-
-
-
Format
- Lyophilized
-
Reconstitution
- Lyophilized powder. Add distilled water for a 1 mg/mL concentration of ALG11 antibody in PBS
-
Concentration
- Lot specific
-
Buffer
- PBS
-
Handling Advice
-
Avoid repeated freeze/thaw cycles.
Dilute only prior to immediate use. -
Storage
- 4 °C/-20 °C
-
Storage Comment
- Store at 2-8 °C for short periods. For longer periods of storage, store at -20 °C.
-
-
- ALG11 (Asparagine-Linked Glycosylation 11, alpha-1,2-Mannosyltransferase Homolog (Yeast) (ALG11))
-
Alternative Name
- ALG11
-
Background
- ALG11 is a GDP-Man:Man3GlcNAc2-PP-dolichol-alpha1,2-mannosyltransferase which is localized to the cytosolic side of the endoplasmic reticulum (ER) and catalyzes the transfer of the fourth and fifth mannose residue from GDP-mannose (GDP-Man) to Man3GlcNAc2-PP-dolichol and Man4GlcNAc2-PP-dolichol resulting in the production of Man5GlcNAc2-PP-dolichol. Mutations in this gene are associated with congenital disorder of glycosylation type Ip (CDGIP).
-
Molecular Weight
- 56 kDa (MW of target protein)
-
Pathways
- SARS-CoV-2 Protein Interactome
Target
-