Phone:
+1 877 302 8632
Fax:
+1 888 205 9894 (Toll-free)
E-Mail:
orders@antibodies-online.com

Golgin A2 (GOLGA2) (AA 796-913) antibody

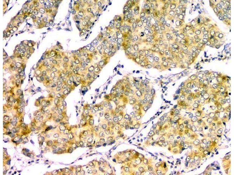
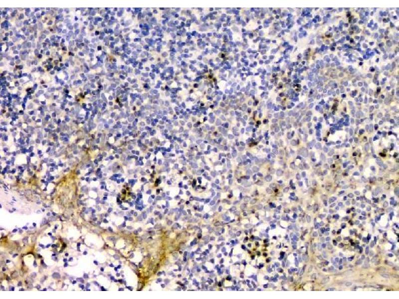
The Mouse Monoclonal anti-Golgin A2 antibody (Clone 6D4) (ABIN6719433) specifically detects Golgin A2 in WB, IHC, IF, ICC and FACS. The antibody is reactive with Human, Mouse and Rat samples.
Catalog No. ABIN6719433
$370.00
Plus shipping costs $50.00
100 μg
Shipping to: United States
Delivery in 4 to 7 Business Days

Quick Overview for Golgin A2 (GOLGA2) (AA 796-913) antibody (ABIN6719433)

Target

See all Golgin A2 (GOLGA2) Antibodies
Golgin A2 (GOLGA2)

Reactivity

  • 63
  • 43
  • 43
  • 13
  • 10
  • 10
  • 1
Human, Mouse, Rat

Host

  • 55
  • 9
Mouse

Clonality

  • 43
  • 21
Monoclonal

Conjugate

  • 32
  • 3
  • 2
  • 2
  • 2
  • 2
  • 2
  • 2
  • 2
  • 1
  • 1
  • 1
  • 1
  • 1
  • 1
  • 1
  • 1
  • 1
  • 1
  • 1
  • 1
  • 1
  • 1
  • 1
Un-conjugated

Application

  • 40
  • 27
  • 24
  • 18
  • 16
  • 13
  • 13
  • 13
  • 7
  • 6
  • 4
  • 1
Western Blotting (WB), Immunohistochemistry (IHC), Immunofluorescence (IF), Immunocytochemistry (ICC), Flow Cytometry (FACS)

Clone

6D4
  • Binding Specificity

    • 15
    • 3
    • 3
    • 2
    • 2
    • 2
    • 2
    • 1
    • 1
    • 1
    • 1
    • 1
    • 1
    • 1
    • 1
    AA 796-913

    Purpose

    Anti-GM130 GOLGA2 Antibody (monoclonal, 6D4)

    Cross-Reactivity (Details)

    No cross-reactivity with other proteins.

    Characteristics

    Anti- GOLGA2 Antibody (monoclonal, 6D4) (ABIN6719433). Tested in Flow Cytometry, IF, IHC, ICC, WB applications. This antibody reacts with Human, Mouse, Rat. This is a premium antibody that guarantees superior quality, high affinity, and strong signals with minimal background in Western blot applications.

    Purification

    Immunogen affinity purified.

    Immunogen

    E. coli-derived human GM130 recombinant protein (Position: E796-E913).

    Isotype

    IgG1
  • Application Notes

    Western blot, 0.1-0.5 μg/mL
    Immunohistochemistry (Paraffin-embedded Section), 0.5-1 μg/mL
    Immunocytochemistry/Immunofluorescence, 2 μg/mL
    Flow Cytometry (Fixed), 1-3 μg/1x106 cells

    Comment

    Tested Species: In-house tested species with positive results. By Heat: Boiling the paraffin sections in 10mM citrate buffer, pH6.0, for 20mins is required for the staining of formalin/paraffin sections. Other applications have not been tested. Optimal dilutions should be determined by end users.

    Restrictions

    For Research Use only
  • Format

    Lyophilized

    Reconstitution

    Add 0.2 mL of distilled water will yield a concentration of 500 μg/mL.

    Concentration

    500 μg/mL

    Buffer

    Each vial contains 4 mg Trehalose, 0.9 mg NaCl, 0.2 mg Na2HPO4, 0.05 mg Sodium azide.

    Preservative

    Sodium azide

    Precaution of Use

    This product contains Sodium azide: a POISONOUS AND HAZARDOUS SUBSTANCE which should be handled by trained staff only.

    Storage

    4 °C,-20 °C

    Storage Comment

    Store at -20°C for one year from date of receipt. After reconstitution, at 4°C for one month.
    It can also be aliquotted and stored frozen at -20°C for six months. Avoid repeated freeze-thaw cycles.
  • Target

    Golgin A2 (GOLGA2)

    Alternative Name

    GOLGA2

    Background

    Synonyms: Golgin subfamily A member 2, 130 kDa cis-Golgi matrix protein, GM130, GM130 autoantigen, Golgin-95, GOLGA2

    Tissue Specificity: Ubiquitously expressed with highest levels in spleen, thymus and immature brain.

    Background: Golgin subfamily A member 2 is a protein that in humans is encoded by the GOLGA2 gene. The Golgi apparatus, which participates in glycosylation and transport of proteins and lipids in the secretory pathway, consists of a series of stacked cisternae (flattened membrane sacs). Interactions between the Golgi and microtubules are thought to be important for the reorganization of the Golgi after it fragments during mitosis. This gene encodes one of the golgins, a family of proteins localized to the Golgi. This encoded protein has been postulated to play roles in the stacking of Golgi cisternae and in vesicular transport. Several alternatively spliced transcript variants of this gene have been described, but the full-length nature of these variants has not been determined.

    Molecular Weight

    130 kDa

    Gene ID

    2801

    UniProt

    Q08379

    Pathways

    SARS-CoV-2 Protein Interactome
You are here:
Chat with us!