Phone:
+1 877 302 8632
Fax:
+1 888 205 9894 (Toll-free)
E-Mail:
orders@antibodies-online.com

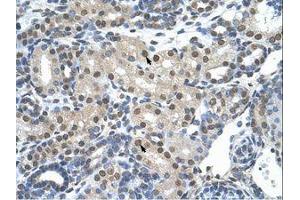
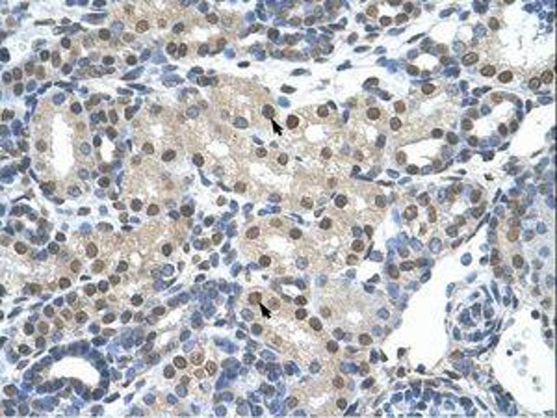
SNRNP70 antibody (AA 91-140)

The Rabbit Polyclonal anti-SNRNP70 antibody (ABIN6736251) specifically detects SNRNP70 in WB, IHC and IHC (p). The antibody is reactive with Human, Rat, Mouse, Dog, Zebrafish (Danio rerio), Cow, Guinea Pig, Rabbit, Horse, Bat, Hamster, Monkey, Pig and Xenopus laevis samples.
Catalog No. ABIN6736251
$690.07
Plus shipping costs $50.00
100 μL
Shipping to: United States
Delivery in 11 to 15 Business Days

Quick Overview for SNRNP70 antibody (AA 91-140) (ABIN6736251)

Target

See all SNRNP70 Antibodies
SNRNP70 (Small Nuclear Ribonucleoprotein 70kDa (U1) (SNRNP70))

Reactivity

Human, Rat, Mouse, Dog, Zebrafish (Danio rerio), Cow, Guinea Pig, Rabbit, Horse, Bat, Hamster, Monkey, Pig, Xenopus laevis

Host

  • 19
Rabbit

Clonality

  • 19
Polyclonal

Conjugate

  • 14
  • 1
  • 1
  • 1
  • 1
  • 1
This SNRNP70 antibody is un-conjugated

Application

  • 18
  • 10
  • 8
  • 2
  • 2
  • 1
  • 1
Western Blotting (WB), Immunohistochemistry (IHC), Immunohistochemistry (Paraffin-embedded Sections) (IHC (p))
  • Binding Specificity

    • 7
    • 2
    • 1
    • 1
    • 1
    • 1
    • 1
    • 1
    • 1
    • 1
    • 1
    AA 91-140

    Specificity

    Human SNRNP70 / SNRP70

    Predicted Reactivity

    Percent identity by BLAST analysis: Human, Mouse, Rat, Dog, Bovine, Xenopus, Zebrafish (100%) Drosophila, Mosquito, Beetle, Tick, Trichoplax (92%) Eye worm, Sea anemone, Nematode (85%) Toxoplasma (84%) Blood fluke (83%).

    Purification

    Immunoaffinity purified

    Immunogen

    Synthetic peptide located between aa91-140 of human SNRNP70 (P08621, NP_003080). Percent identity by BLAST analysis: Human, Chimpanzee, Gorilla, Gibbon, Monkey, Galago, Marmoset, Mouse, Rat, Hamster, Elephant, Dog, Bovine, Bat, Rabbit, Horse, Pig, Opossum, Guinea pig, Zebra finch, Platypus, Lizard, Xenopus, Stickleback, Zebrafish, Sea squirt (100%), Drosophila, Beetle (92%).

    Type of Immunogen: Synthetic peptide

    Isotype

    IgG
  • Application Notes

    Approved: IHC, IHC-P, WB (0.2 - 1 μg/mL)

    Comment

    Target Species of Antibody: Human

    Restrictions

    For Research Use only
  • Format

    Lyophilized

    Reconstitution

    Distilled water

    Concentration

    Lot specific

    Buffer

    Lyophilized from PBS with 2 % sucrose

    Handling Advice

    Avoid repeat freeze-thaw cycles.

    Storage

    4 °C,-20 °C

    Storage Comment

    Long term: -20°C, the use of 50% glycerol is recommended if storing aliquots in -20°C for long term use (up to 1 year)
    Short term (less than 1 week): 4°C. Avoid freeze-thaw cycles.
  • Target

    SNRNP70 (Small Nuclear Ribonucleoprotein 70kDa (U1) (SNRNP70))

    Alternative Name

    SNRP70 / SNRNP70

    Background

    Name/Gene ID: SNRNP70

    Synonyms: SNRNP70, SNRP70, Snp1, U170K, U1AP1, U1 snRNP 70 kDa, U1-70K, U1RNP, RPU1, RNPU1Z, U1AP

    Gene ID

    6625

    NCBI Accession

    NP_003080

    UniProt

    P08621
You are here:
Chat with us!