Phone:
+1 877 302 8632
Fax:
+1 888 205 9894 (Toll-free)
E-Mail:
orders@antibodies-online.com

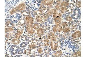
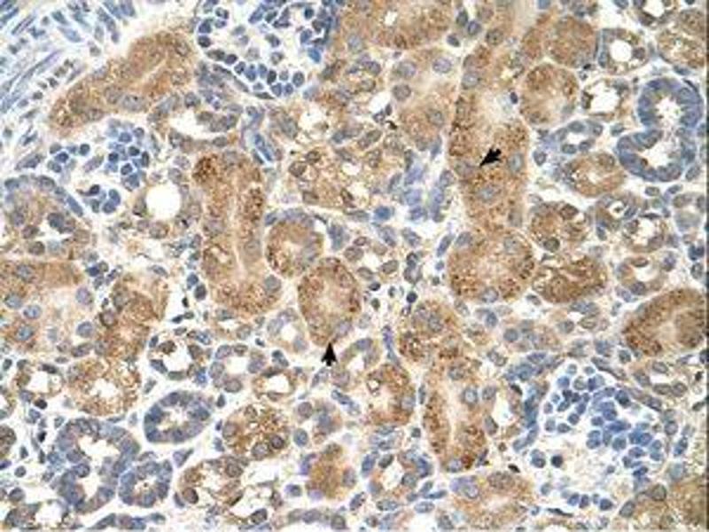
GPAA1 antibody (C-Term)

This Rabbit Polyclonal antibody specifically detects GPAA1 in WB, IHC and IHC (p). It exhibits reactivity toward Human, Cow, Guinea Pig, Horse, Rabbit and Monkey.
Catalog No. ABIN6738244
$690.07
Plus shipping costs $50.00
100 μL
Shipping to: United States
Delivery in 11 to 15 Business Days

Quick Overview for GPAA1 antibody (C-Term) (ABIN6738244)

Target

See all GPAA1 Antibodies
GPAA1 (GPI Anchor Attachment Protein 1 (GPAA1))

Reactivity

  • 18
  • 3
  • 3
  • 1
  • 1
  • 1
  • 1
  • 1
Human, Cow, Guinea Pig, Horse, Rabbit, Monkey

Host

  • 18
  • 1
Rabbit

Clonality

  • 19
Polyclonal

Conjugate

  • 13
  • 2
  • 1
  • 1
  • 1
  • 1
This GPAA1 antibody is un-conjugated

Application

  • 18
  • 14
  • 11
  • 10
  • 5
  • 1
  • 1
Western Blotting (WB), Immunohistochemistry (IHC), Immunohistochemistry (Paraffin-embedded Sections) (IHC (p))
  • Binding Specificity

    • 8
    • 4
    • 3
    • 1
    • 1
    • 1
    • 1
    C-Term

    Specificity

    Human GPAA1

    Predicted Reactivity

    Percent identity by BLAST analysis: Human, Bovine, Horse, Guinea pig (100%) Mouse, Rat, Dog, Pig (92%) Rabbit (85%).

    Purification

    Immunoaffinity purified

    Immunogen

    Synthetic peptide from C-Terminus of human GPAA1 (O43292, NP_003792). Percent identity by BLAST analysis: Human, Chimpanzee, Gorilla, Gibbon, Monkey, Marmoset, Panda, Bovine, Horse, Guinea pig (100%), Galago, Mouse, Rat, Dog, Pig (92%), Rabbit (85%).

    Type of Immunogen: Synthetic peptide

    Isotype

    IgG
  • Application Notes

    Approved: IHC, IHC-P, WB

    Usage: ELISA titer using peptide based assay: 1:62500. Western Blot: Suggested dilution at 0.5 μg/mL in 5 % skim milk / PBS buffer, and HRP conjugated anti-Rabbit IgG should be diluted in 1:50000 - 100000 as second antibody.

    Comment

    Target Species of Antibody: Human

    Restrictions

    For Research Use only
  • Format

    Lyophilized

    Reconstitution

    Distilled Water.

    Concentration

    Lot specific

    Buffer

    Lyophilized from PBS with 2 % sucrose

    Handling Advice

    Avoid repeat freeze-thaw cycles.

    Storage

    4 °C,-20 °C

    Storage Comment

    Long term: -20°C, the use of 50% glycerol is recommended if storing aliquots in -20°C for long term use (up to 1 year)
    Short term (less than 1 week): 4°C. Avoid freeze-thaw cycles.
  • Target

    GPAA1 (GPI Anchor Attachment Protein 1 (GPAA1))

    Alternative Name

    GPAA1

    Background

    Name/Gene ID: GPAA1

    Synonyms: GPAA1, GAA1 protein homolog, GPI transamidase subunit, GAA1, HGAA1

    Gene ID

    8733

    NCBI Accession

    NP_003792

    UniProt

    O43292

    Pathways

    Inositol Metabolic Process, Maintenance of Protein Location, SARS-CoV-2 Protein Interactome
You are here:
Chat with us!